Discover my self made gallery.




Categories
Click the Buttons to discover the Categories
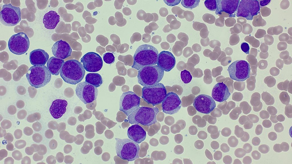
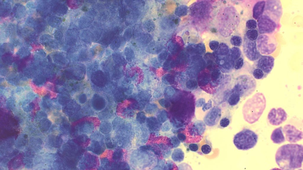
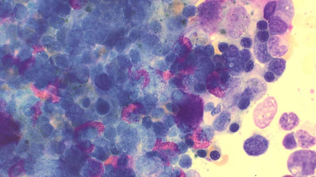
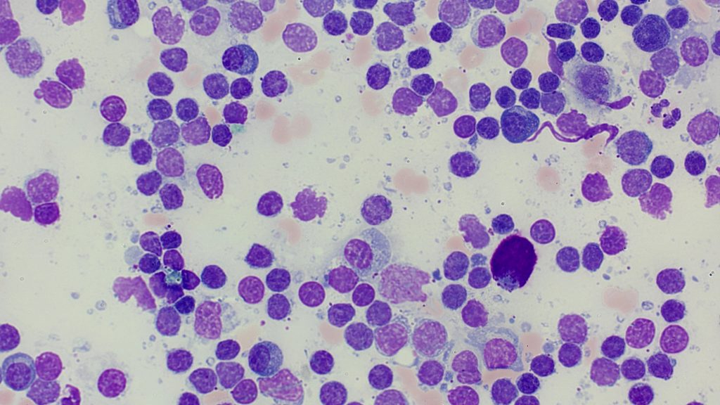
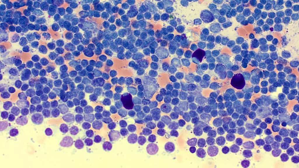
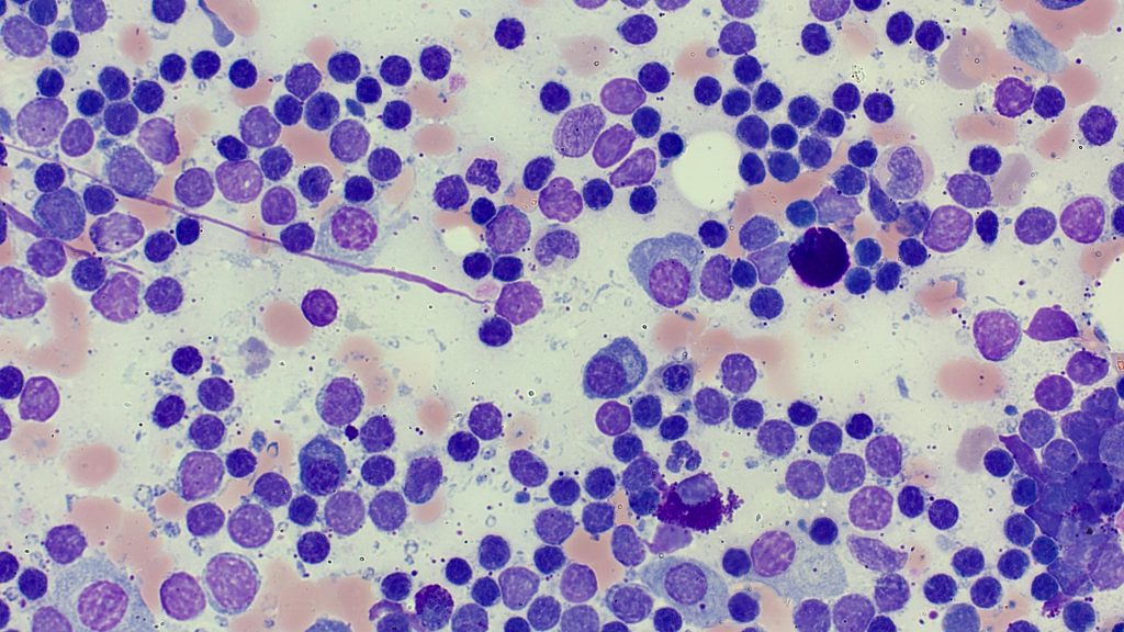
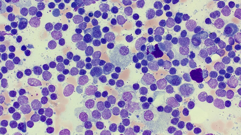
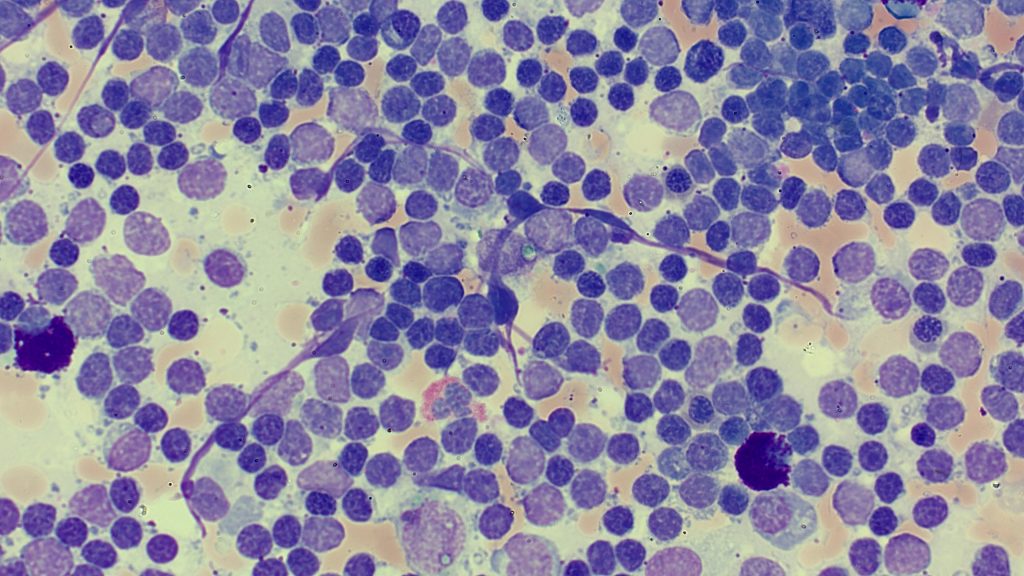
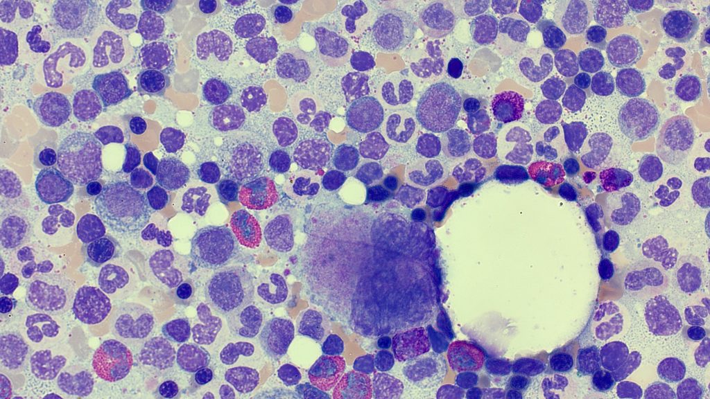
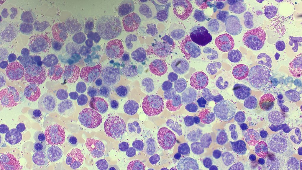
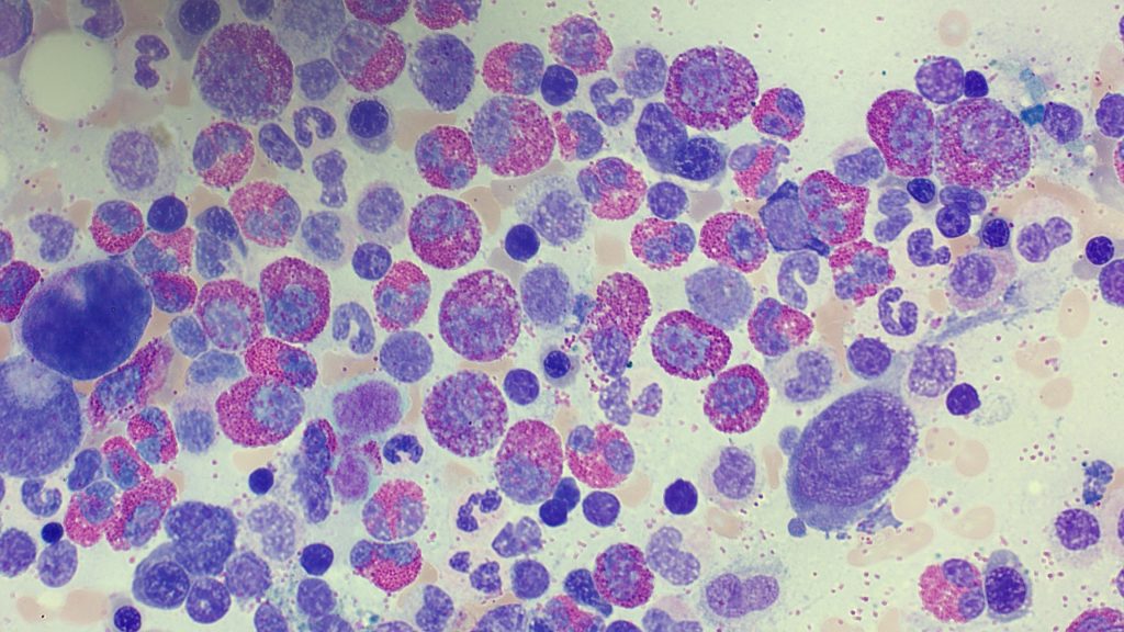
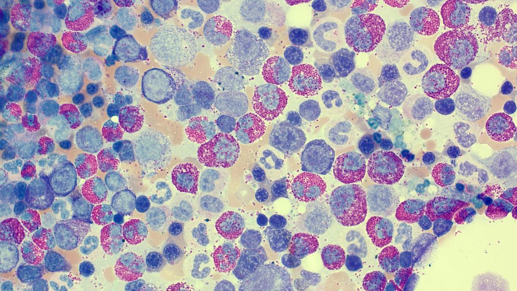
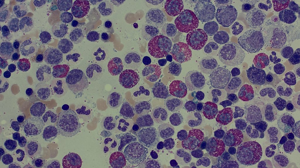
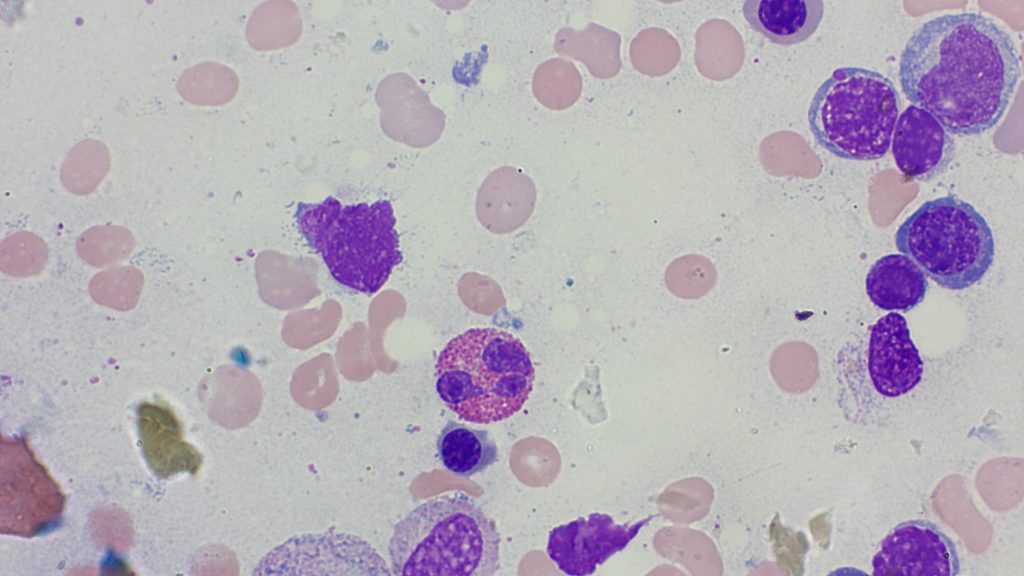
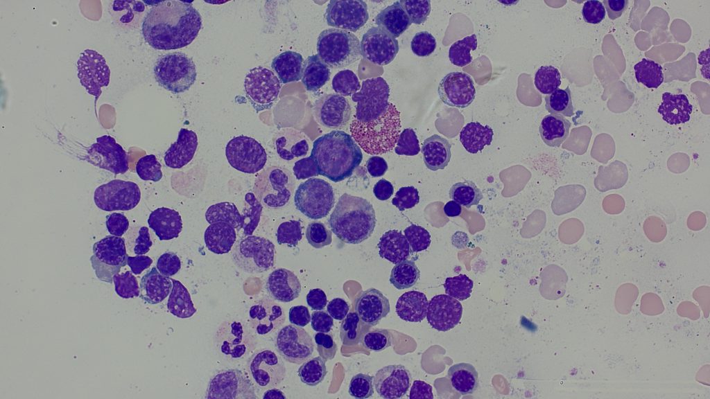
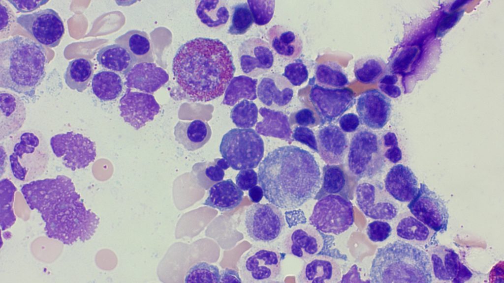
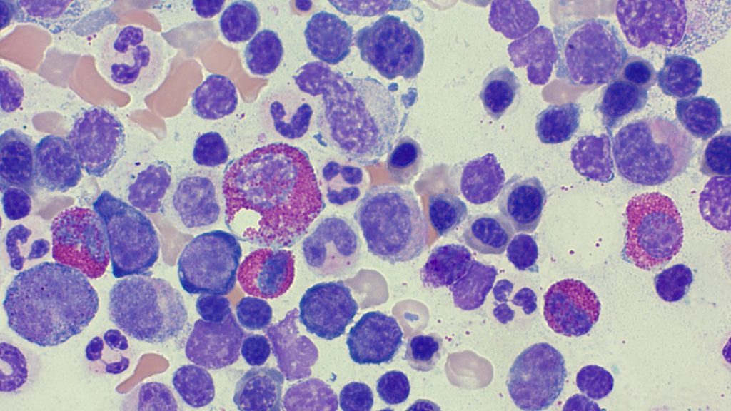
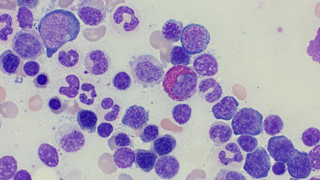
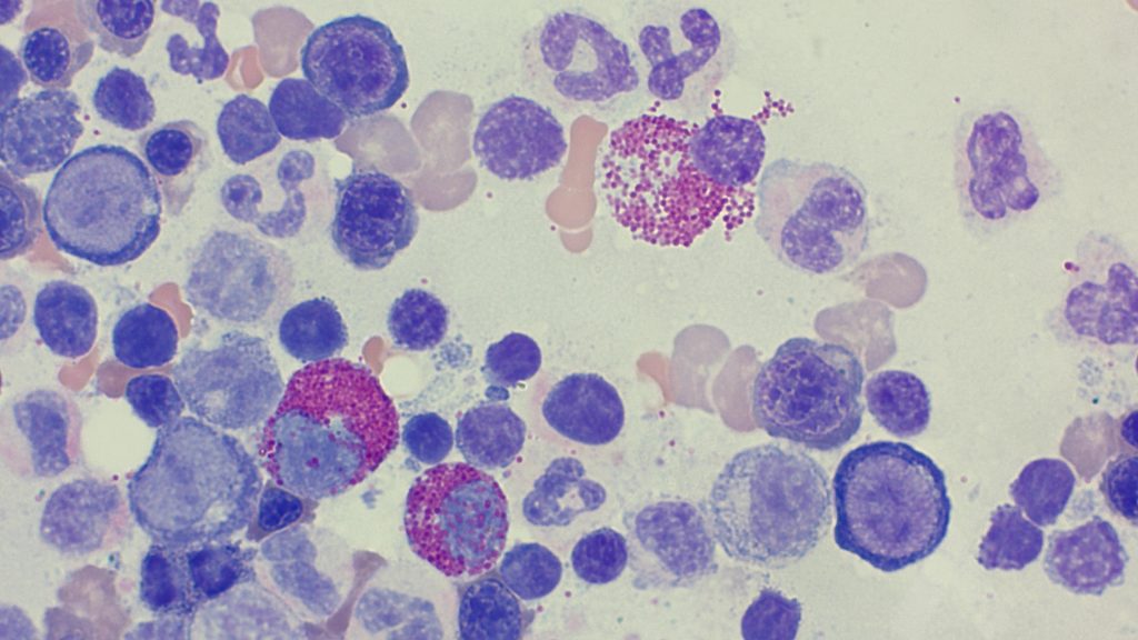
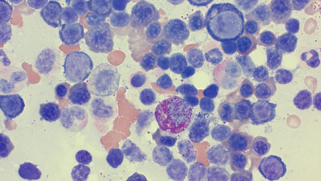
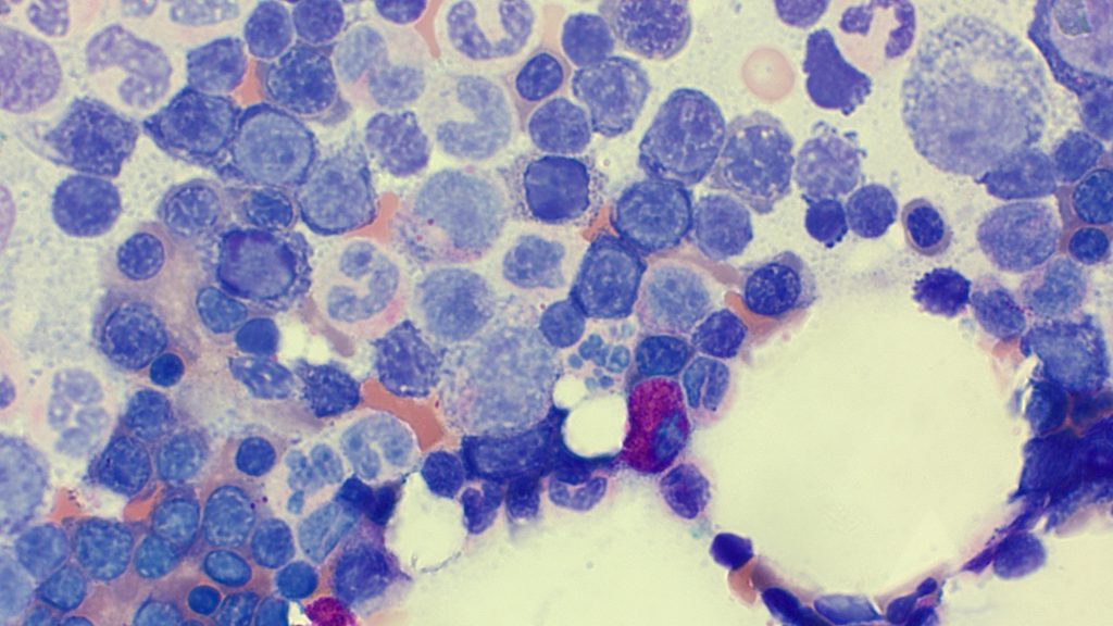
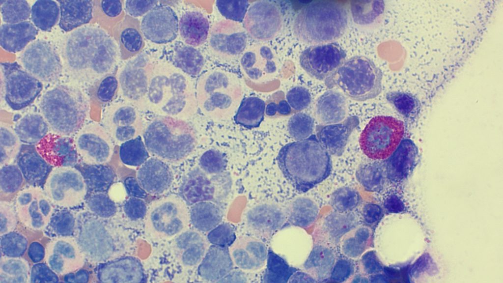
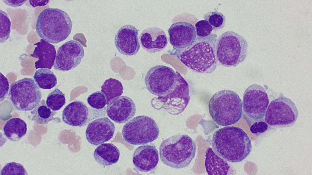
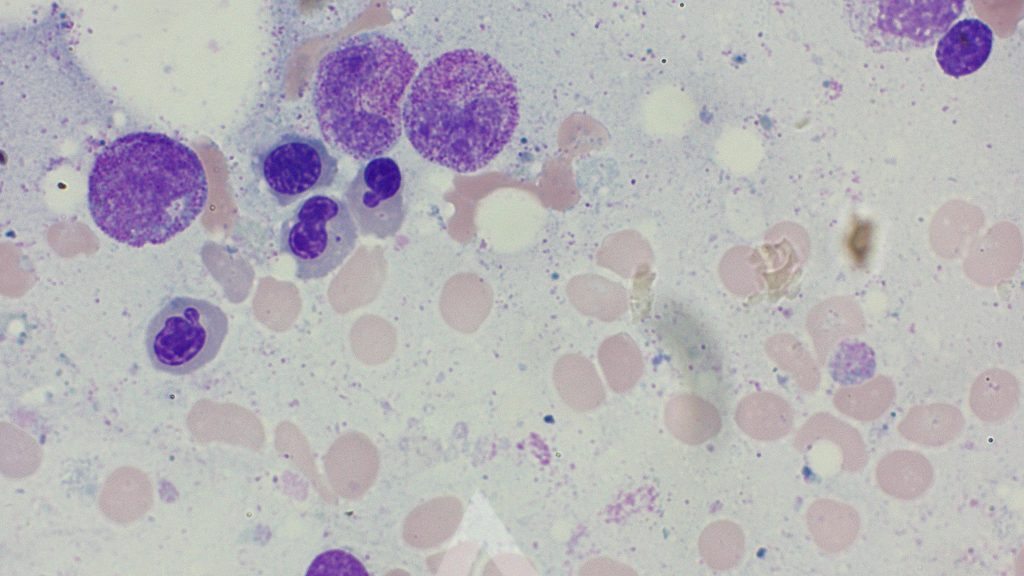
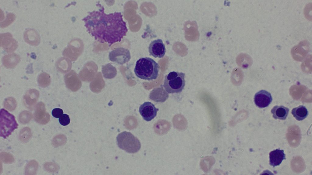
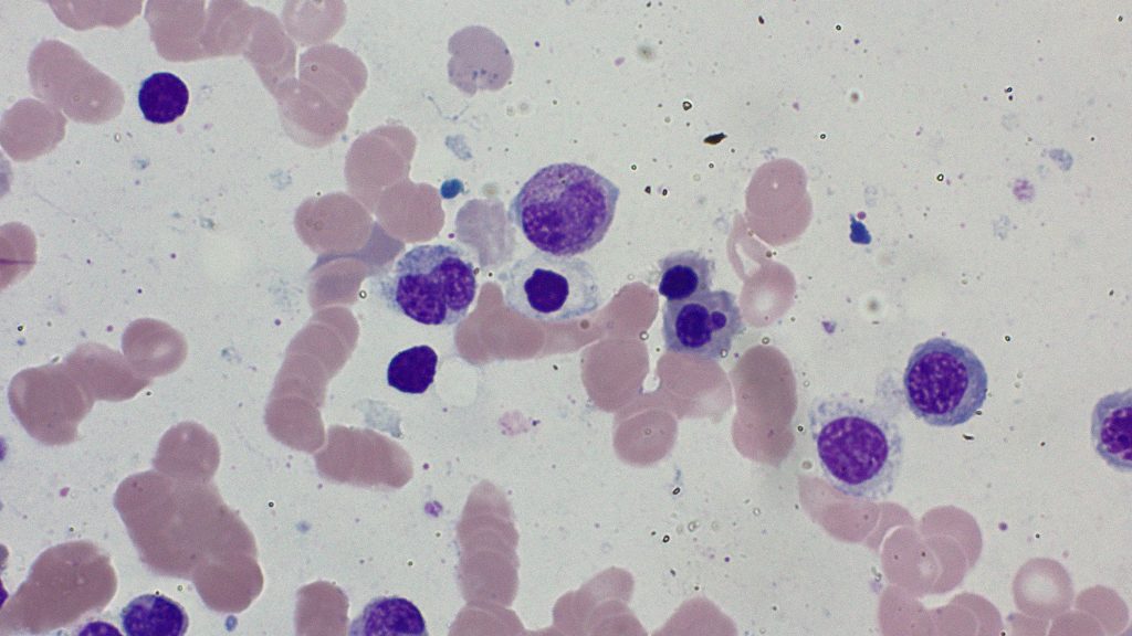
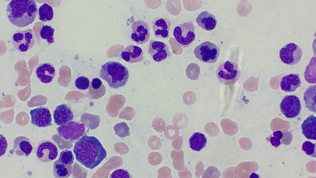
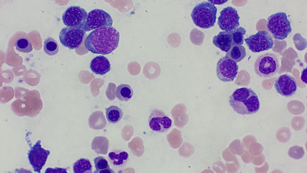
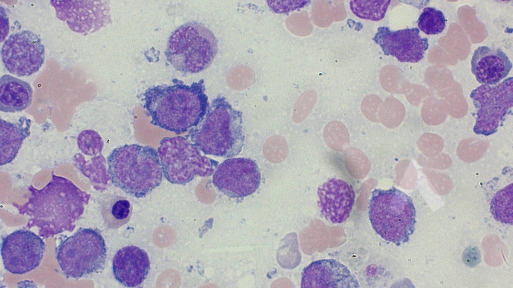
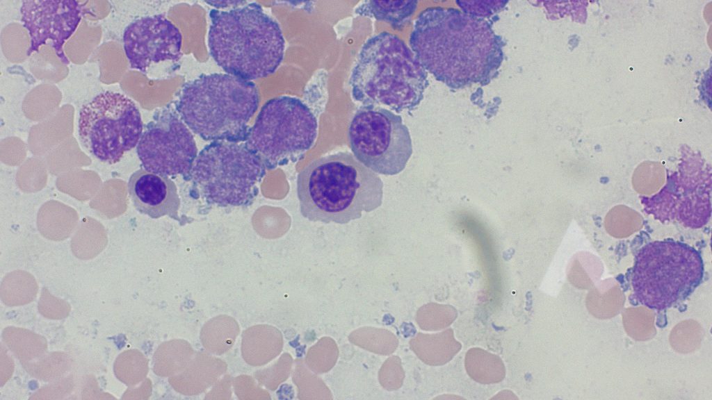
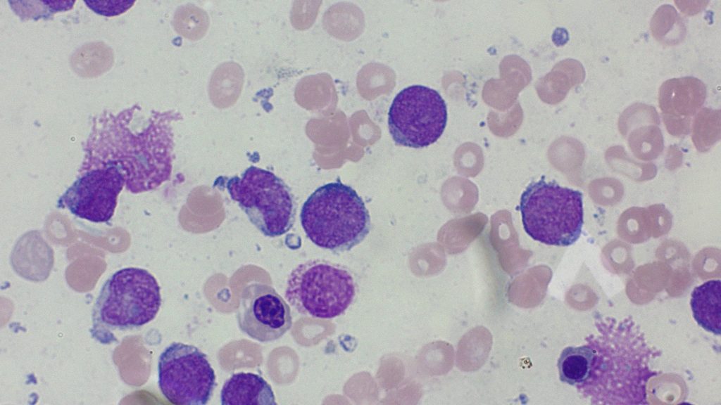
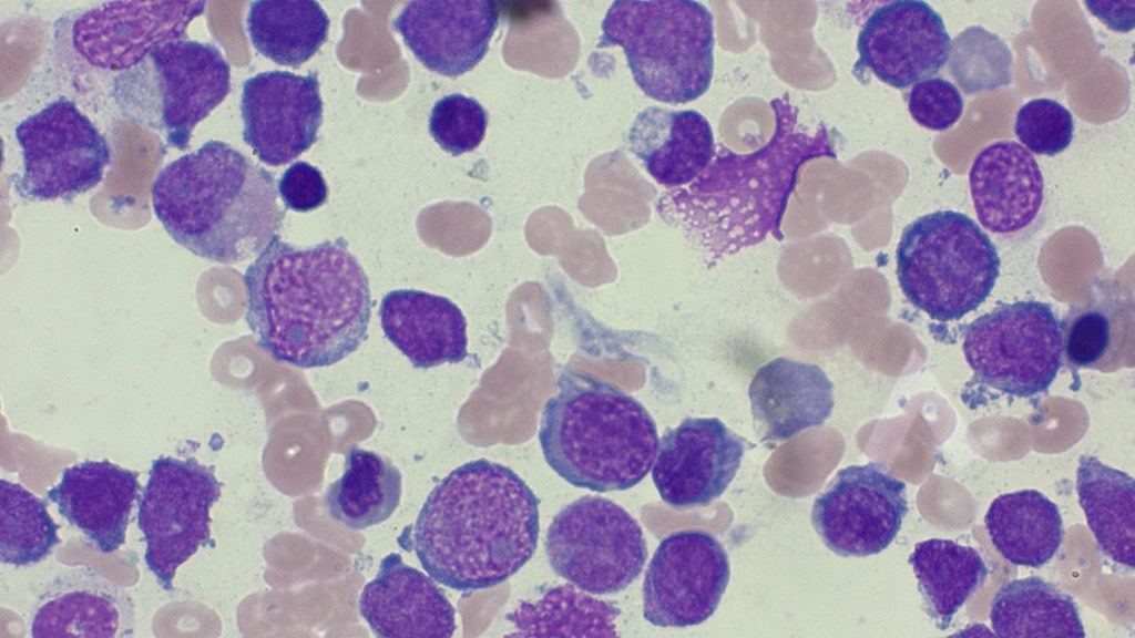
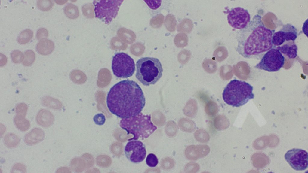
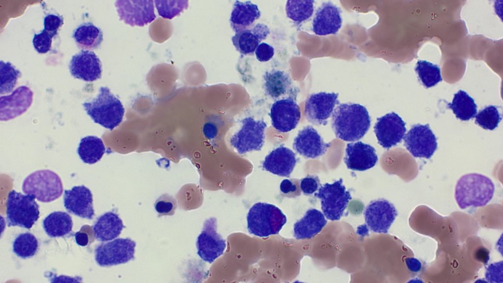
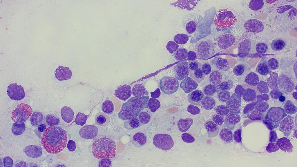
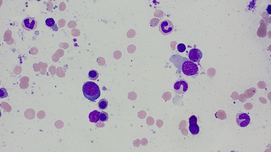
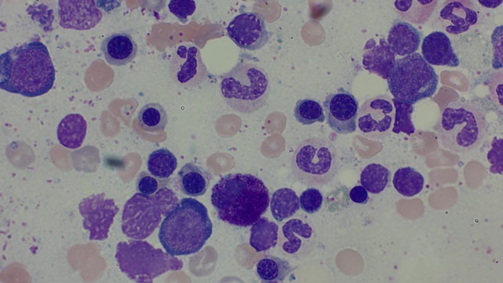
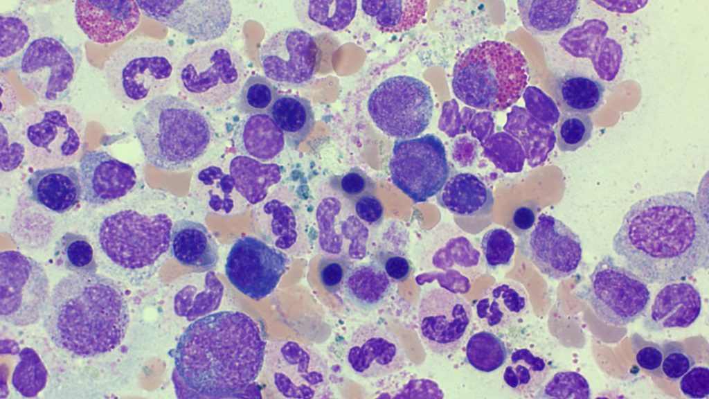
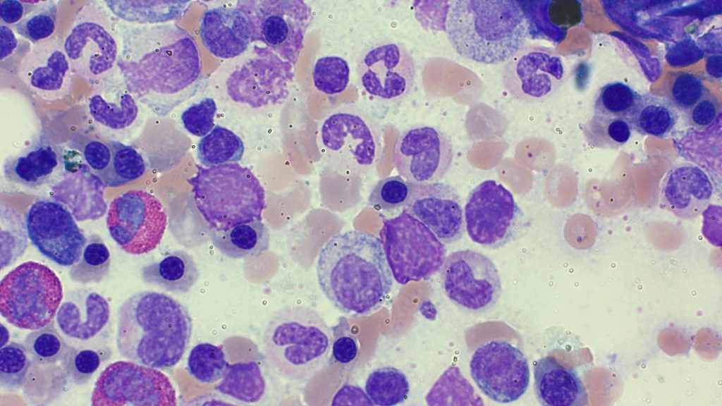
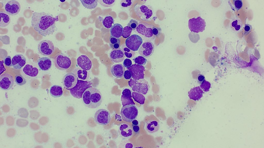
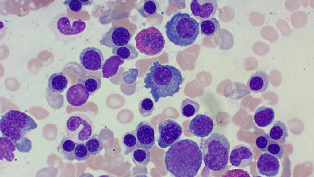
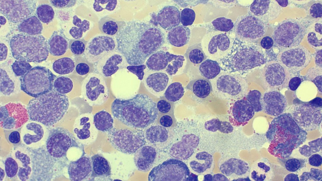
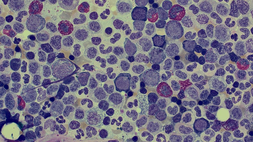
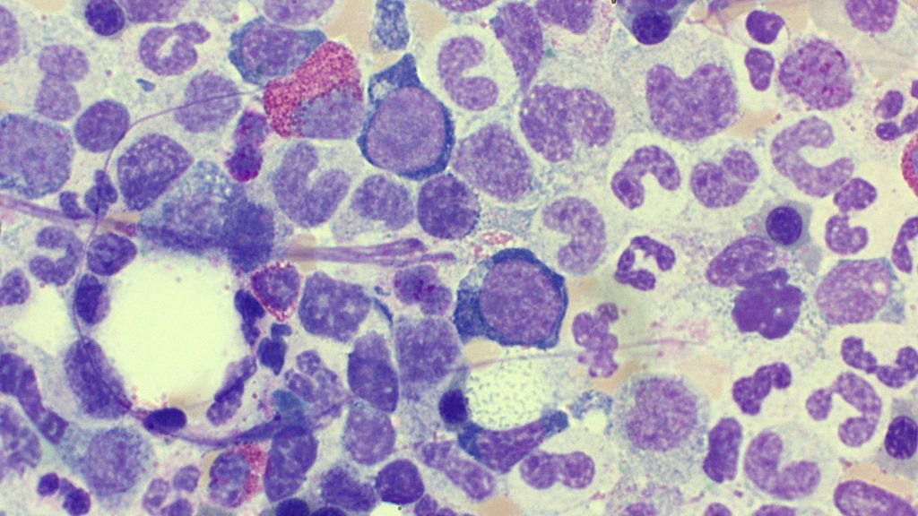
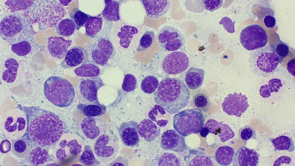
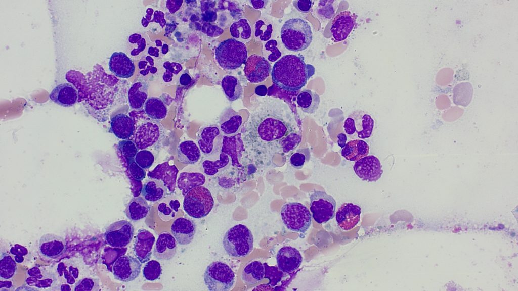
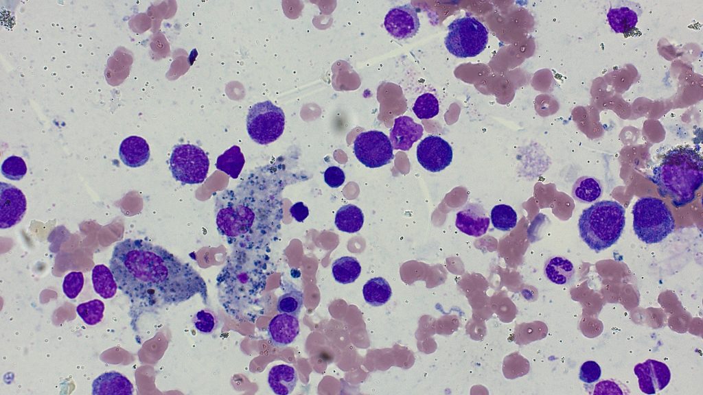
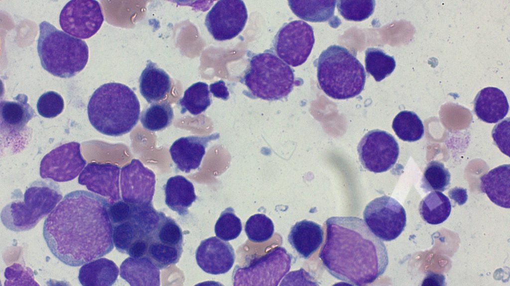
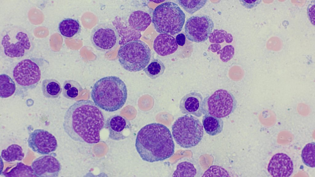
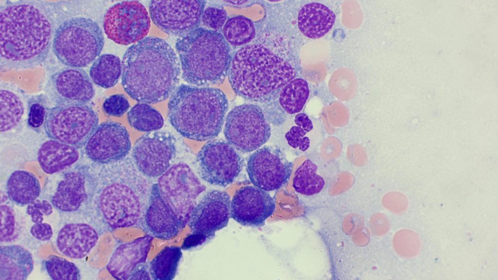
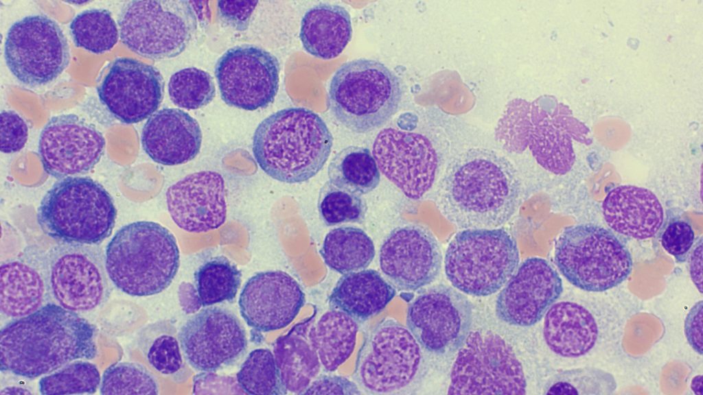
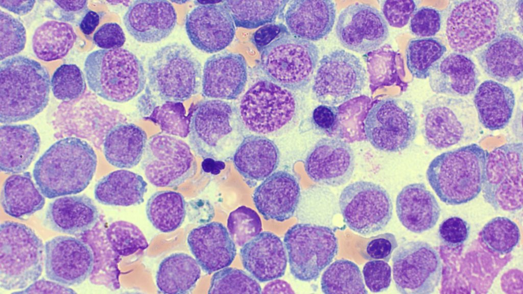
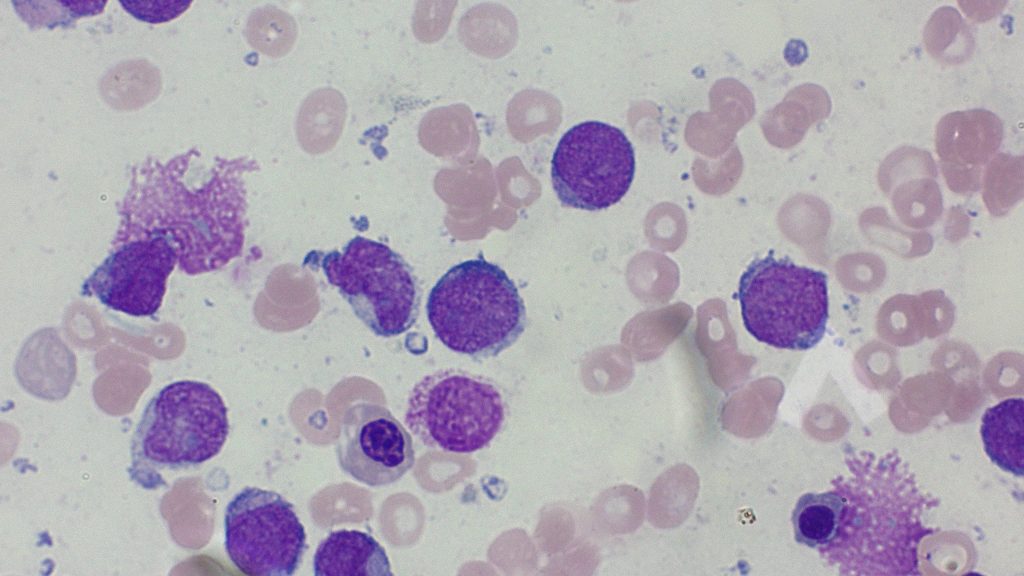
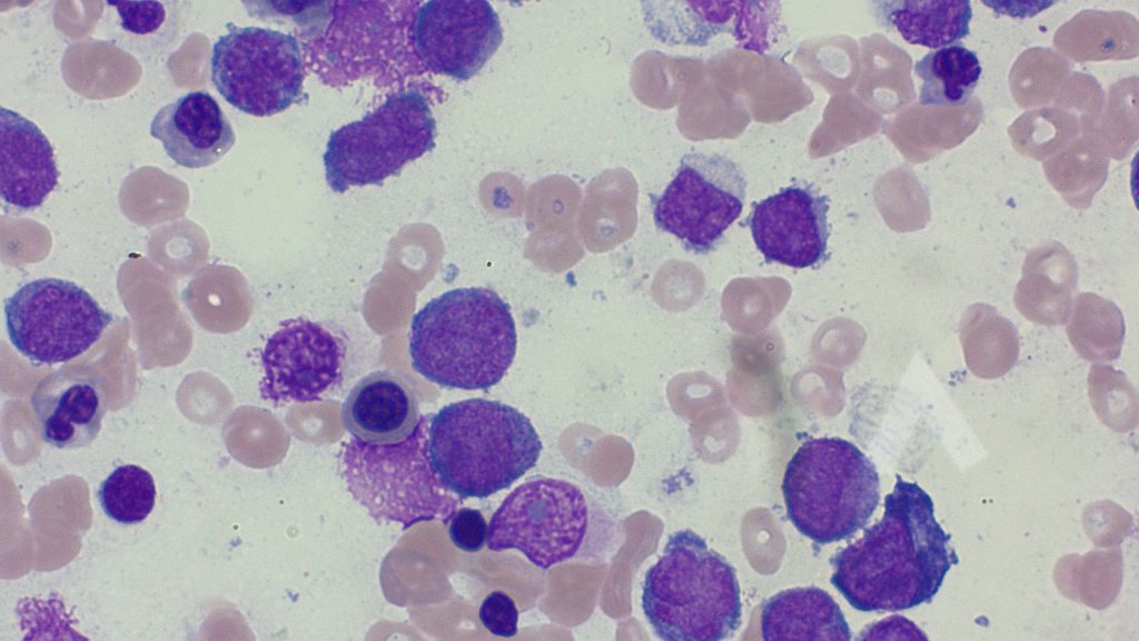
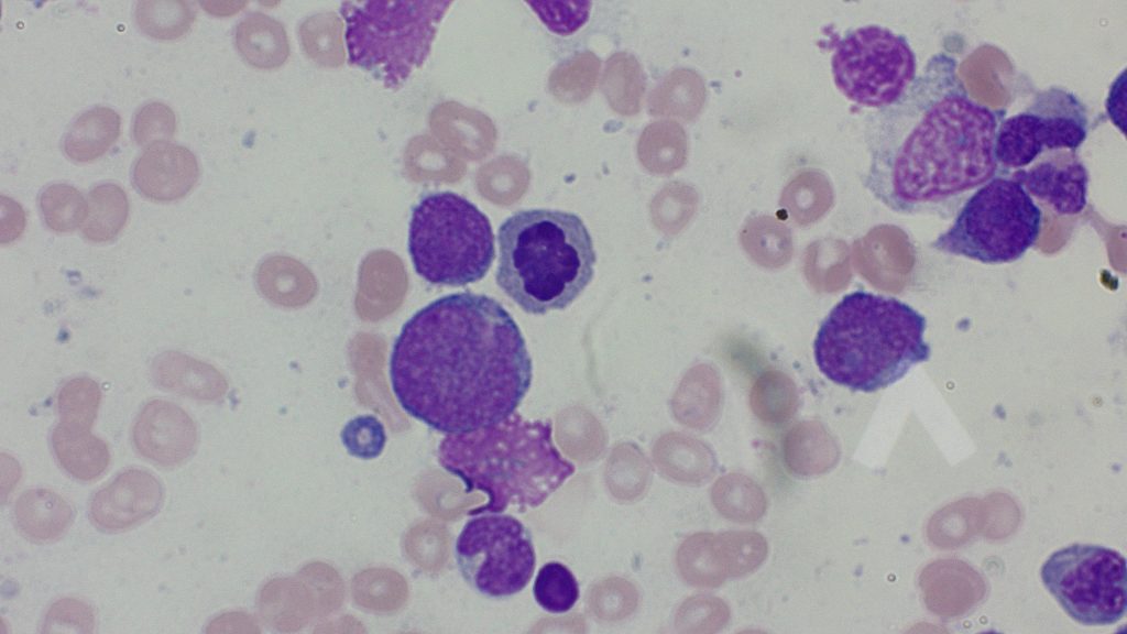
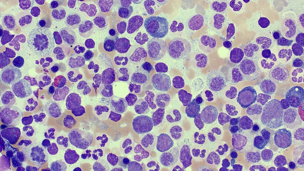
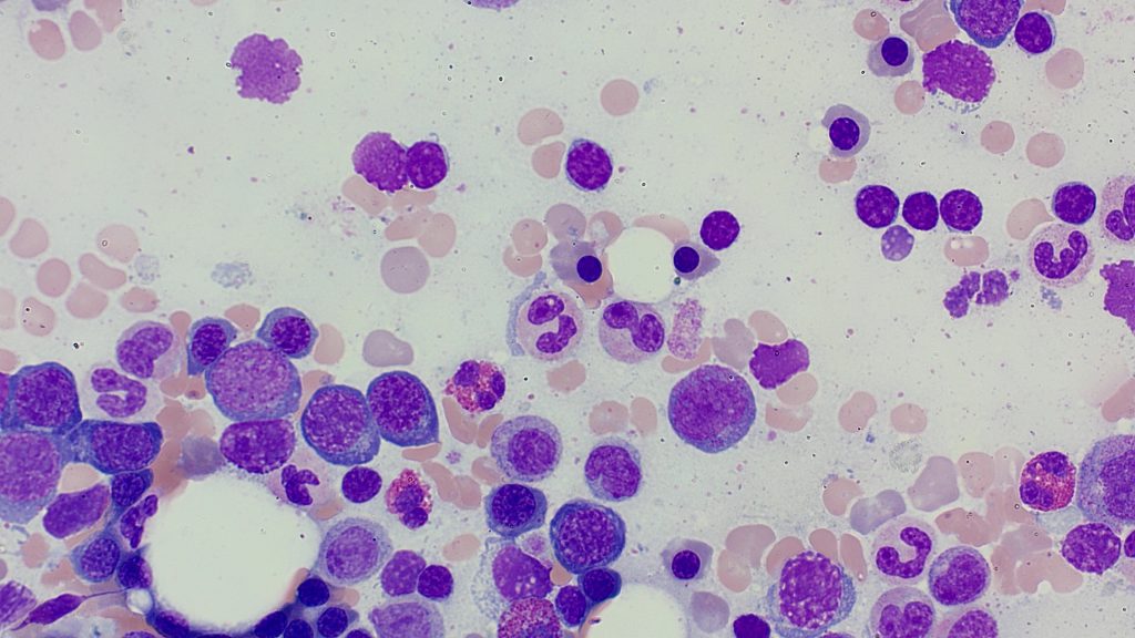
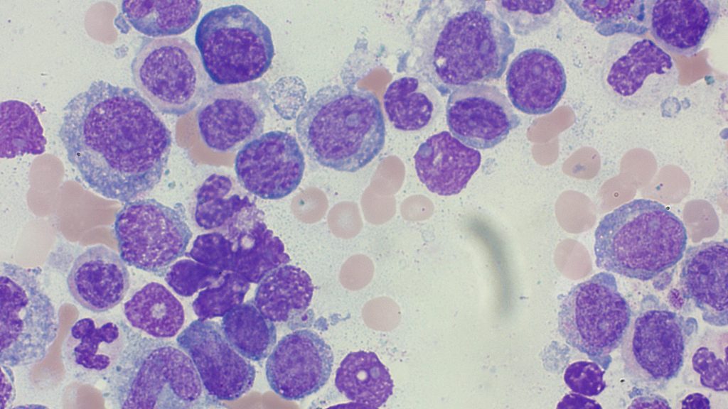
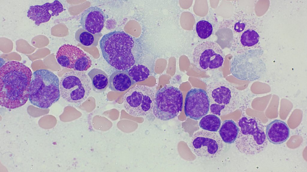
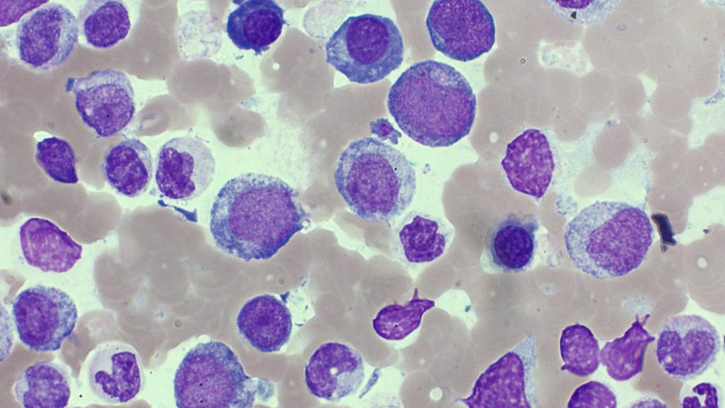
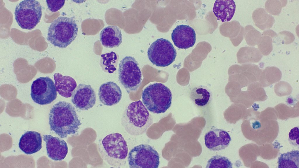
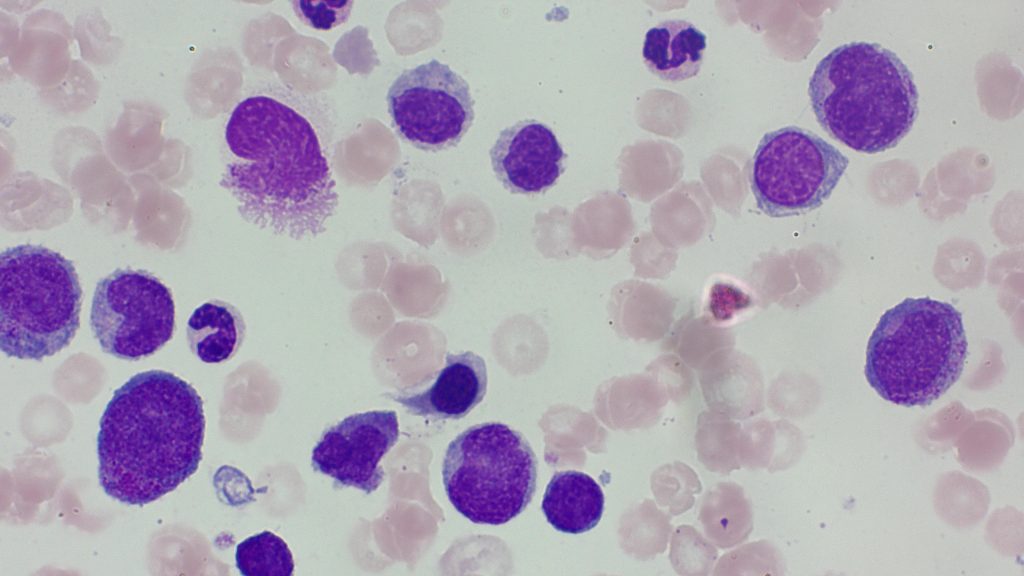
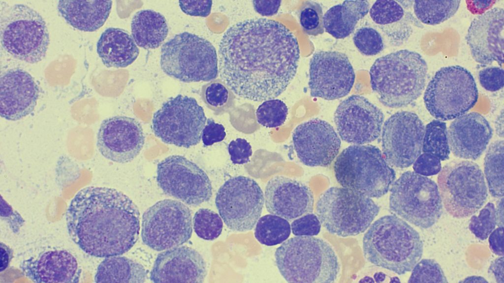
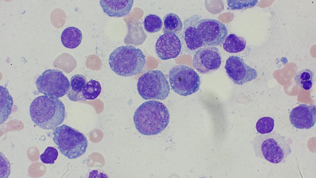
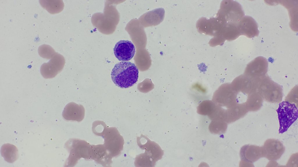
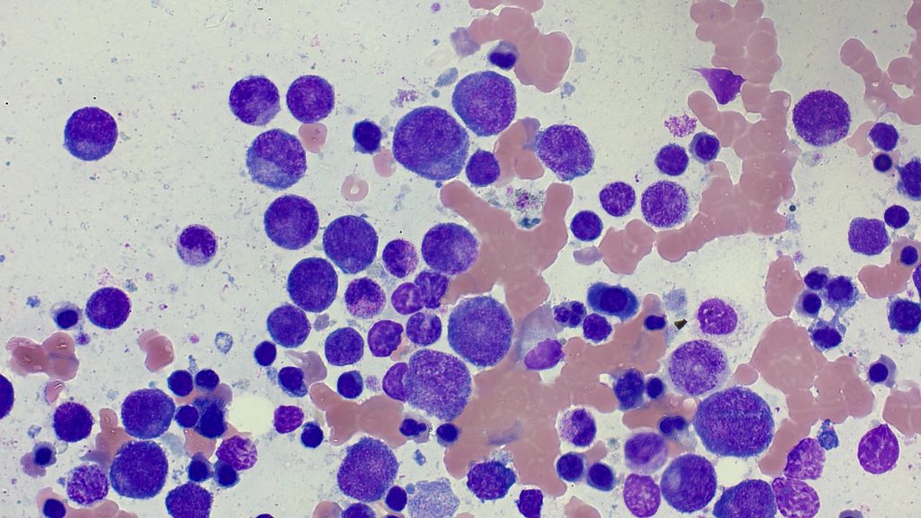
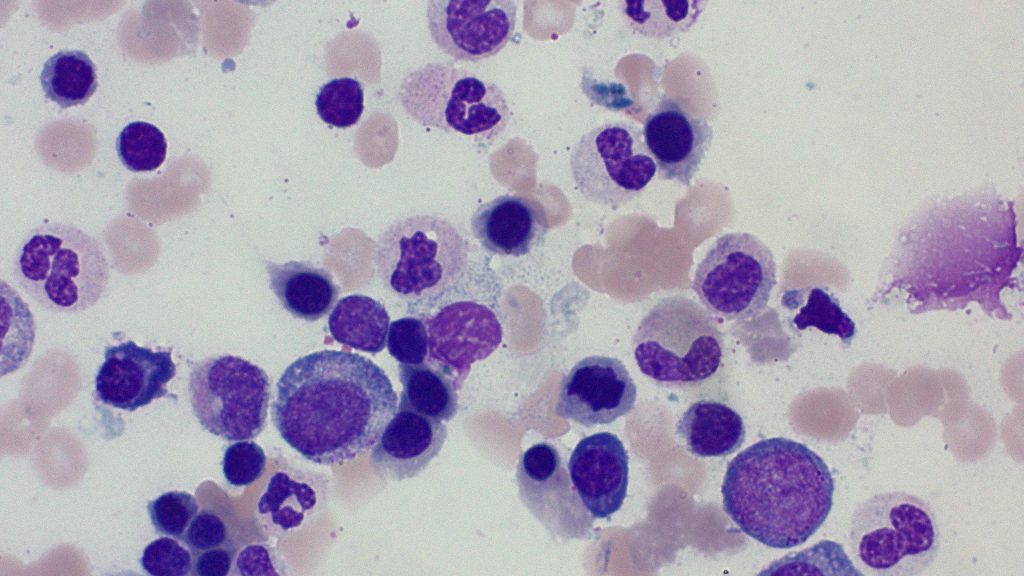
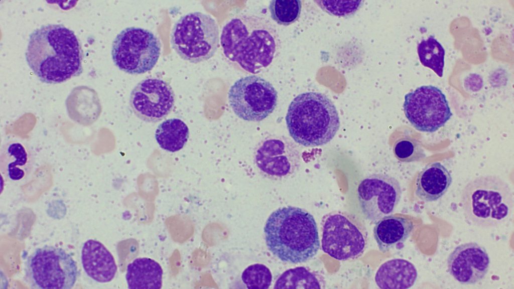
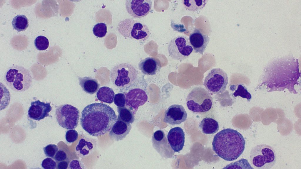
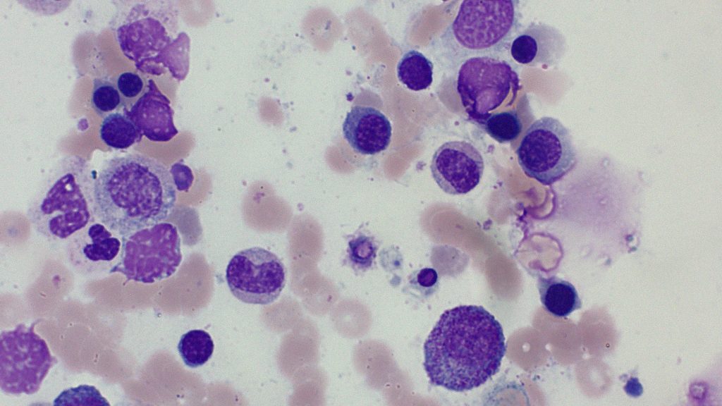
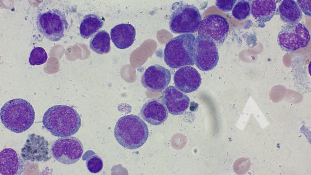
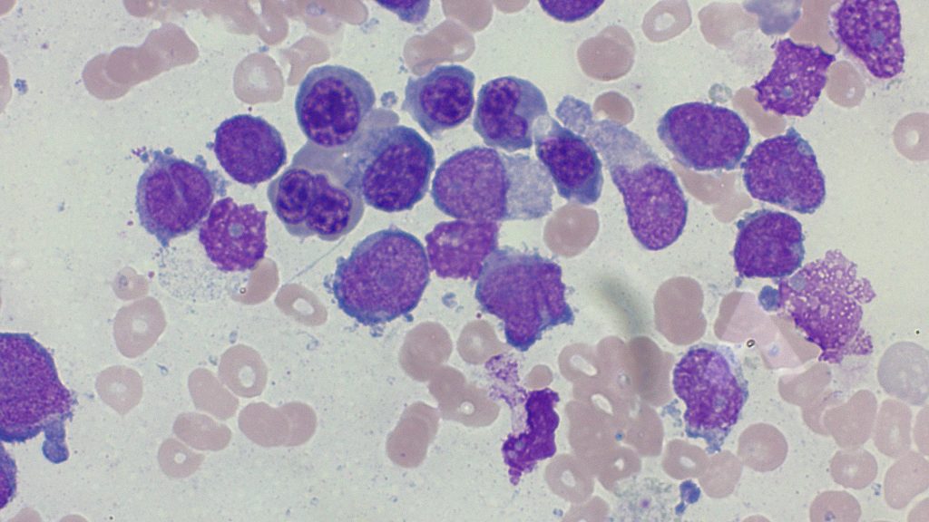
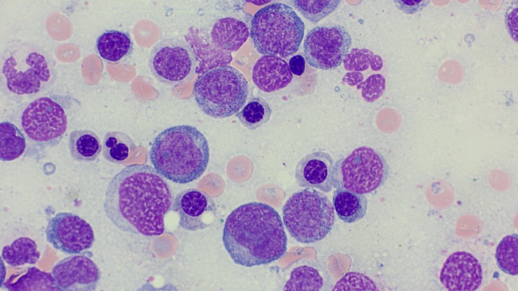
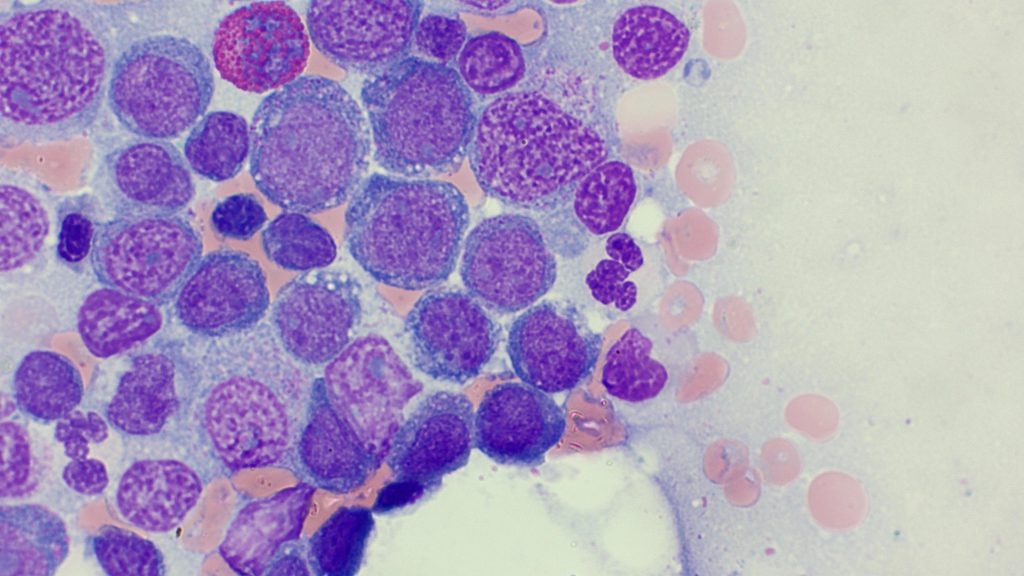
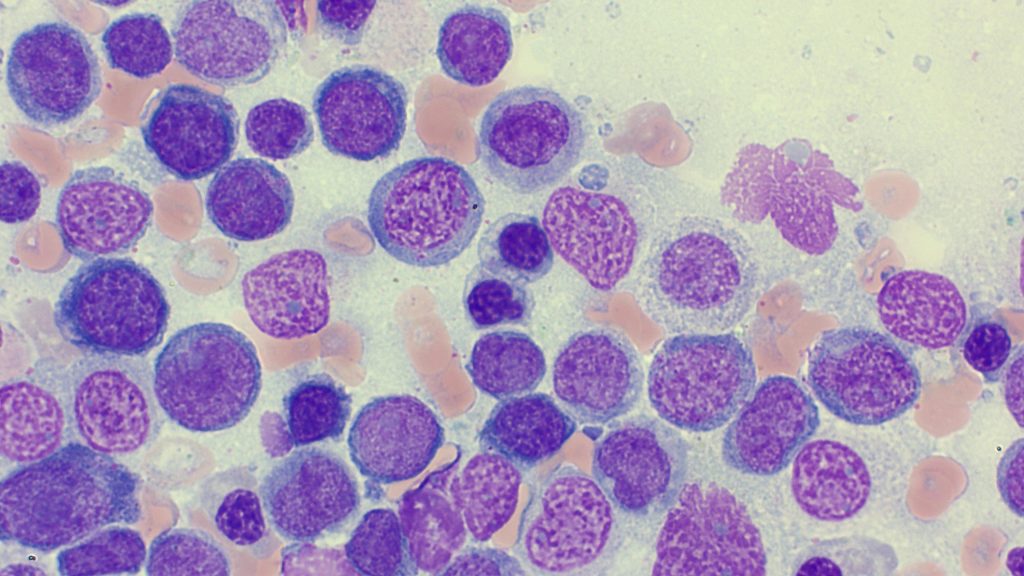
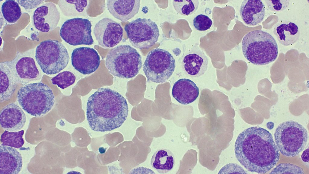
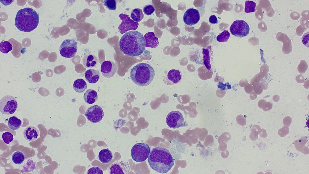
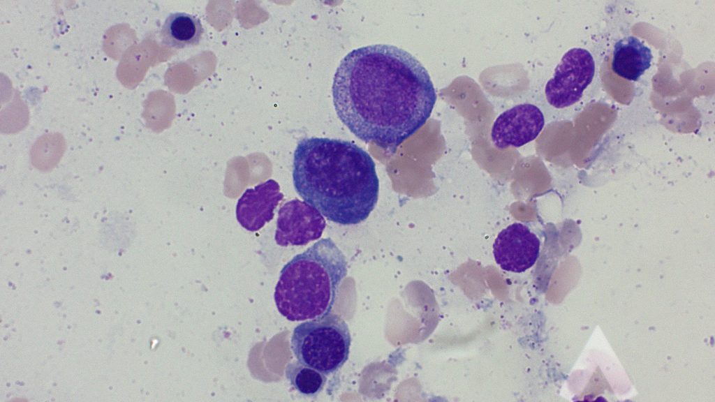
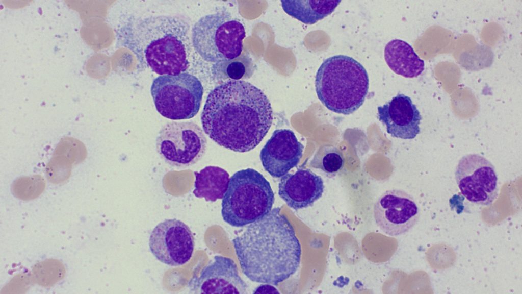
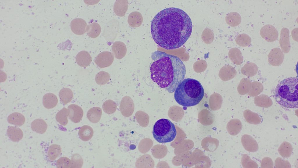
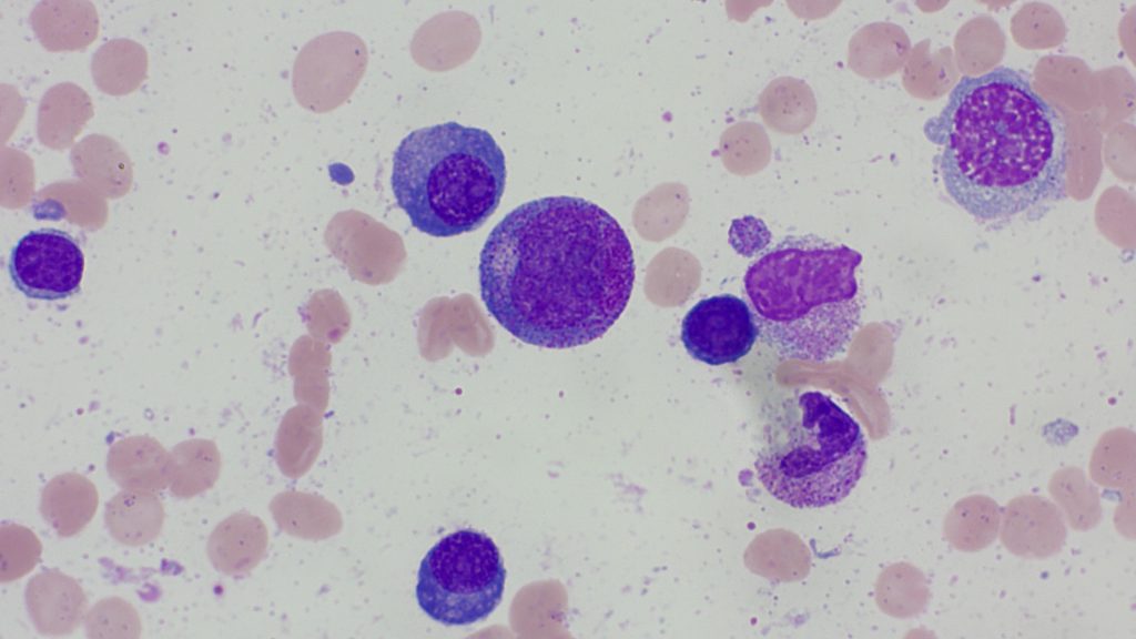
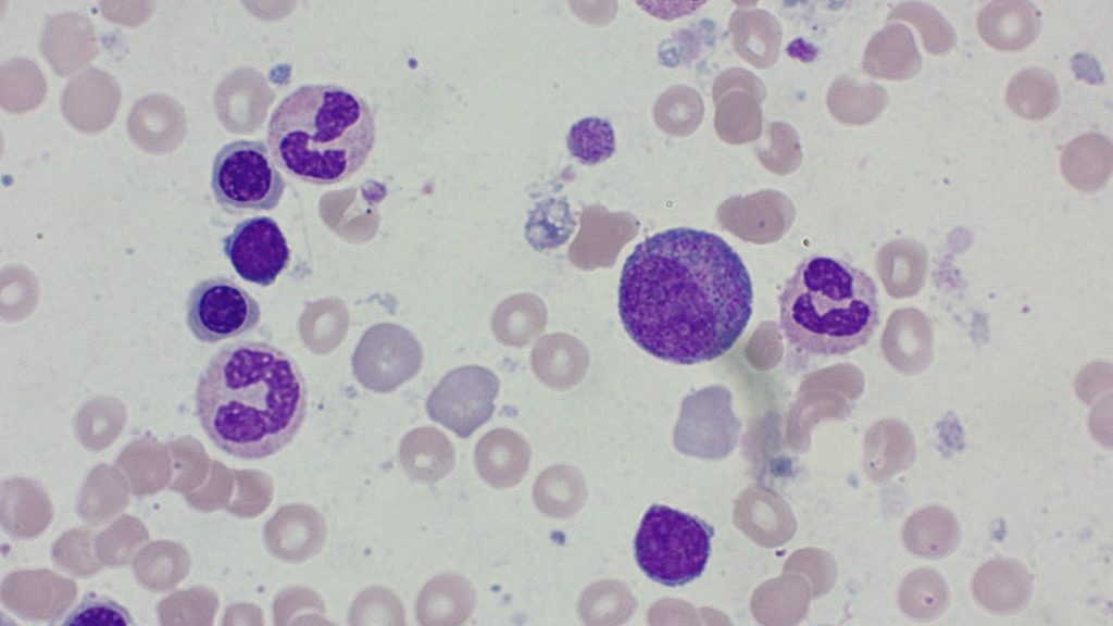
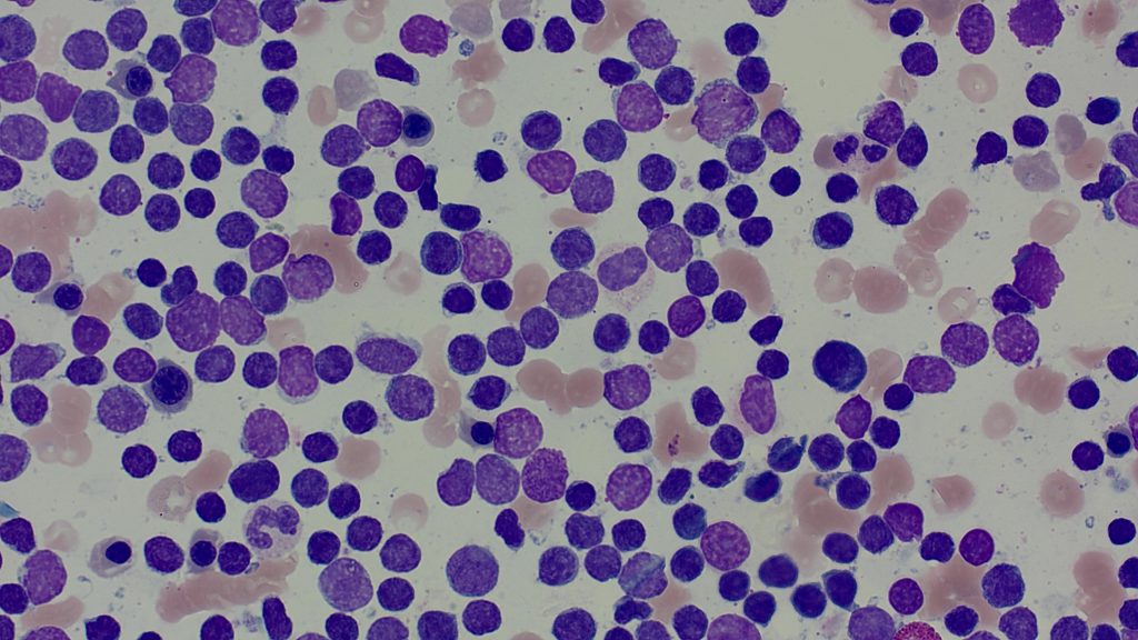
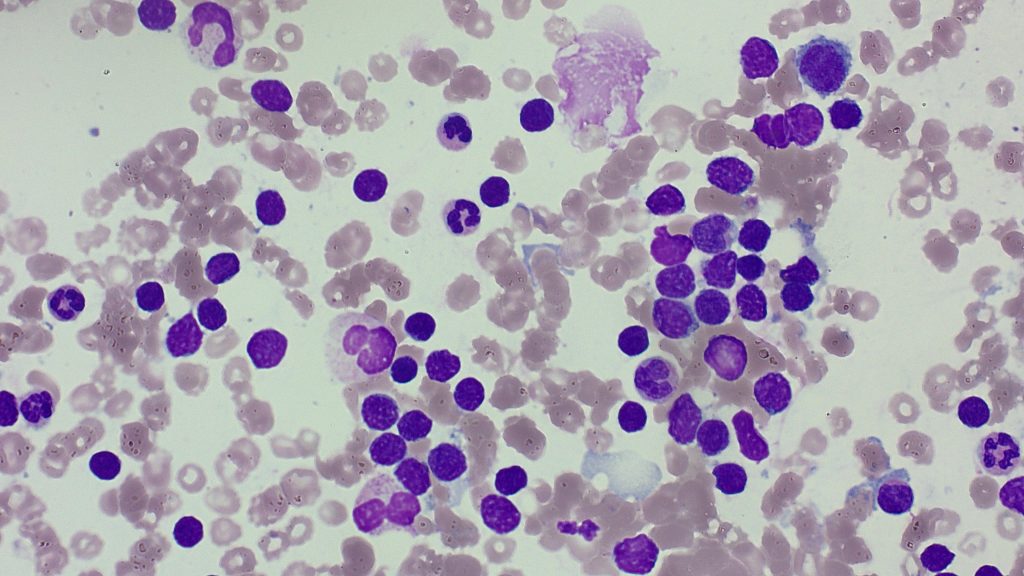
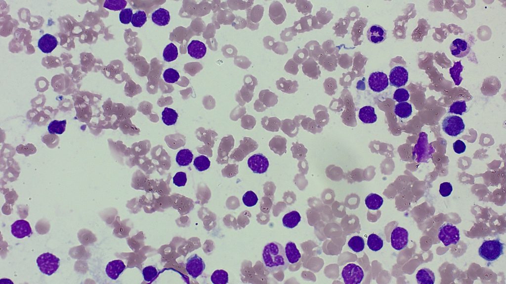
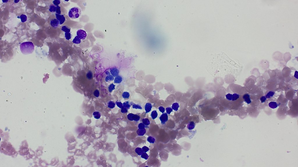
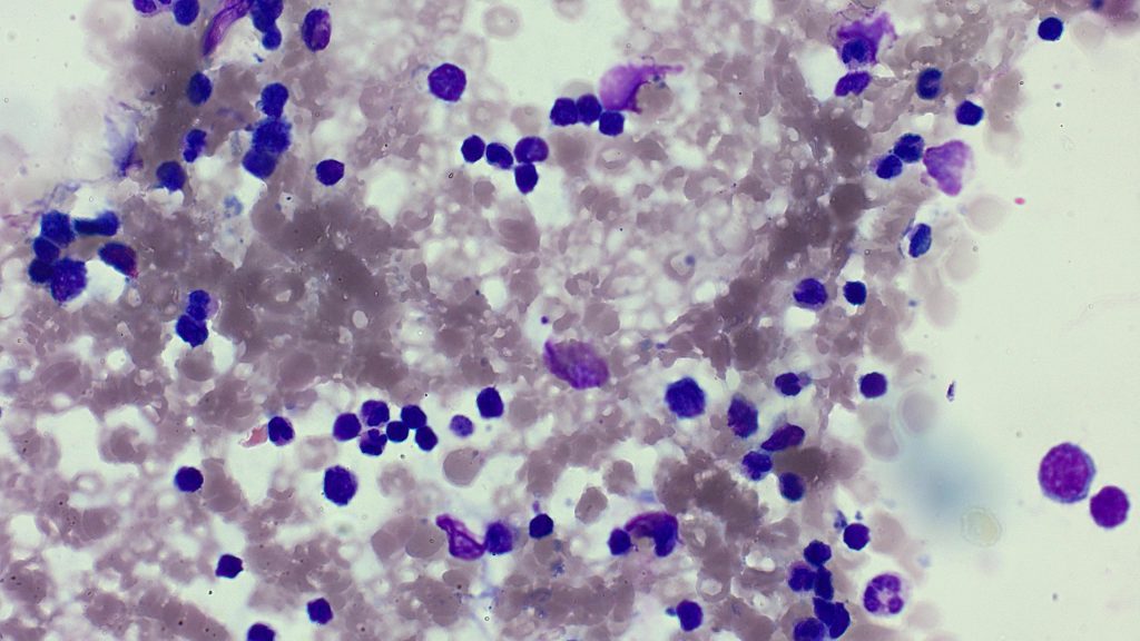
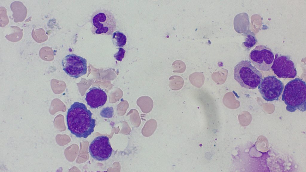
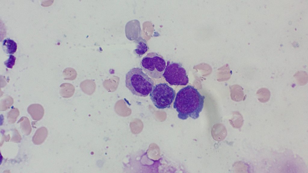
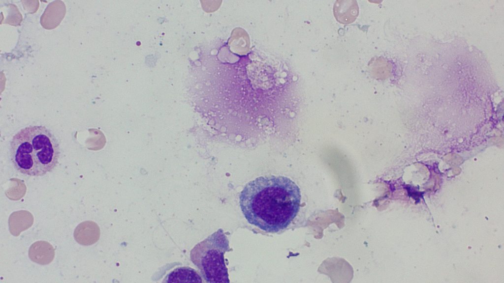
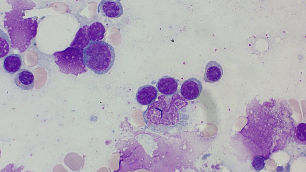
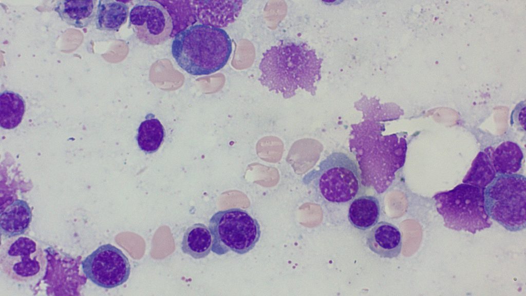
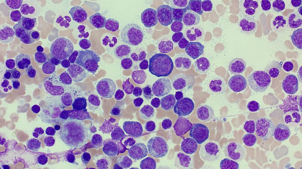
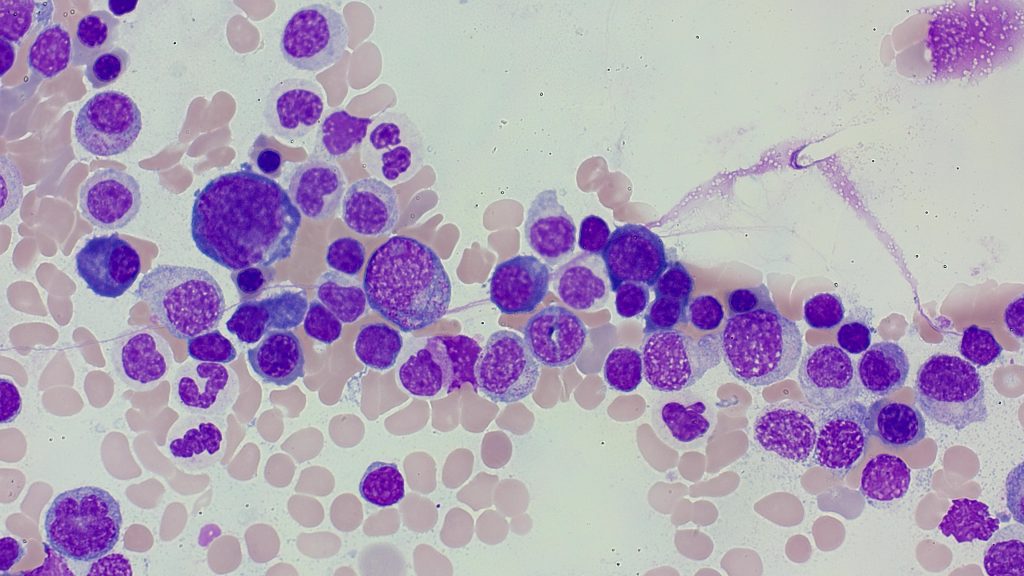
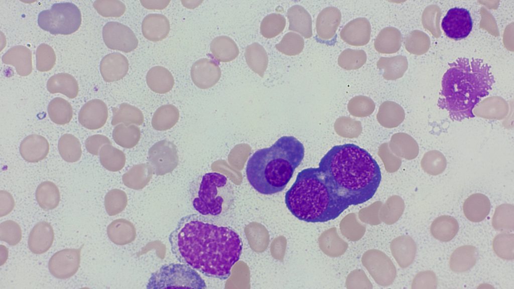
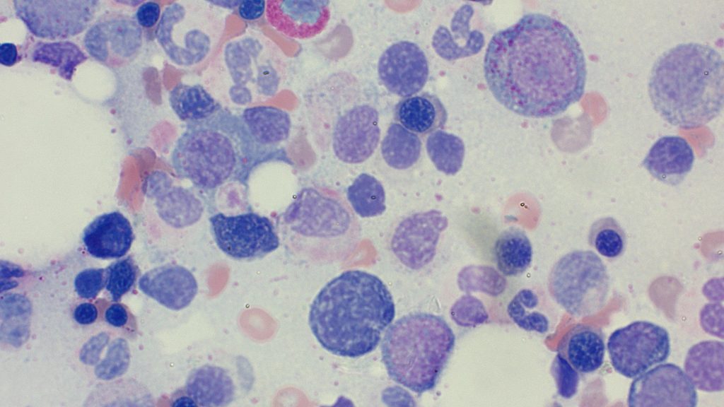
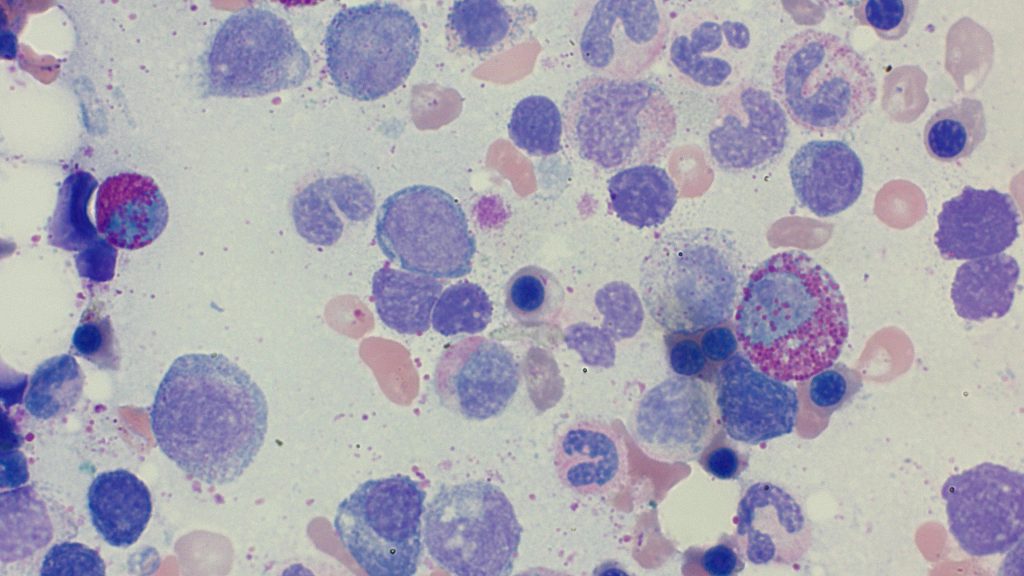
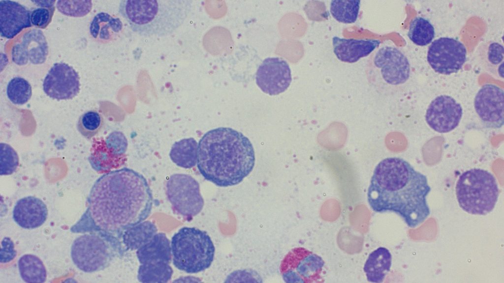
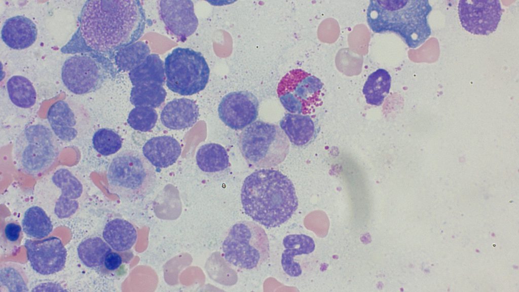
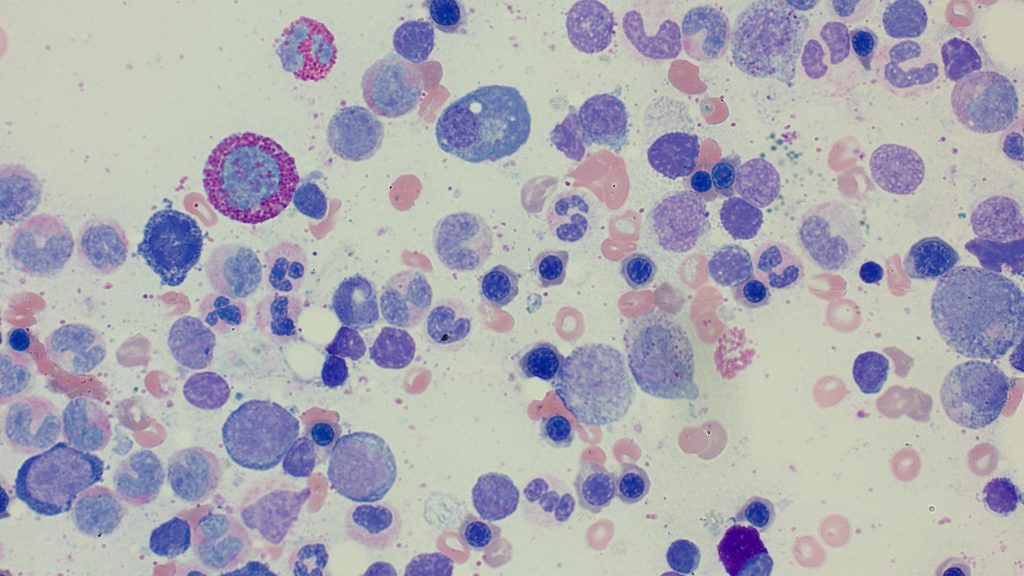
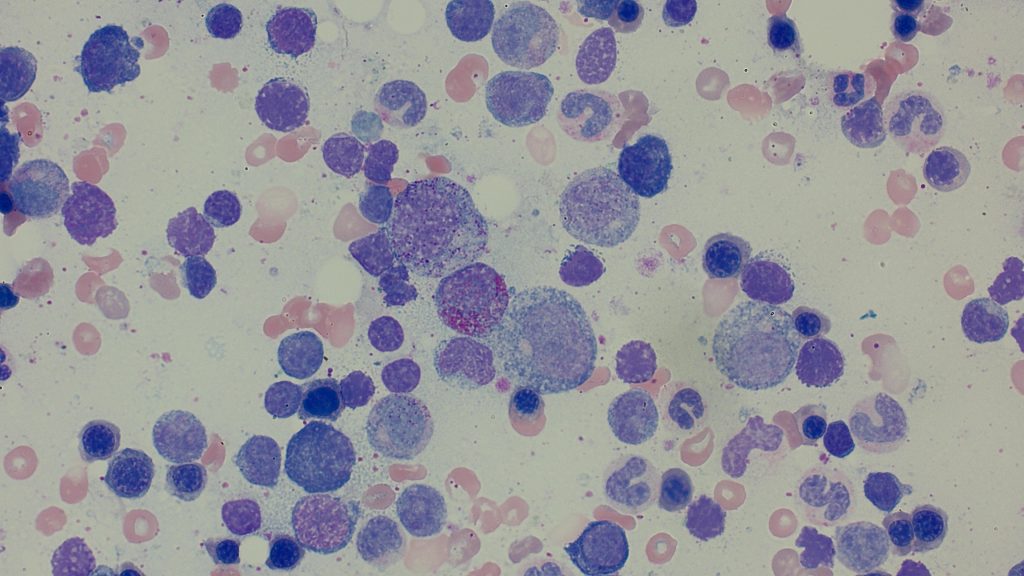
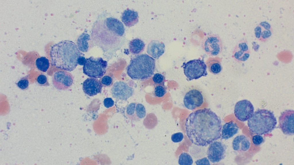
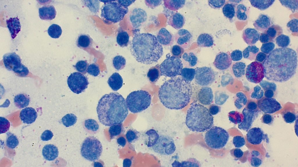
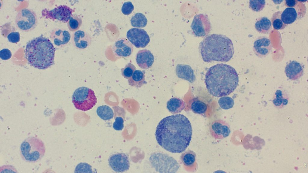
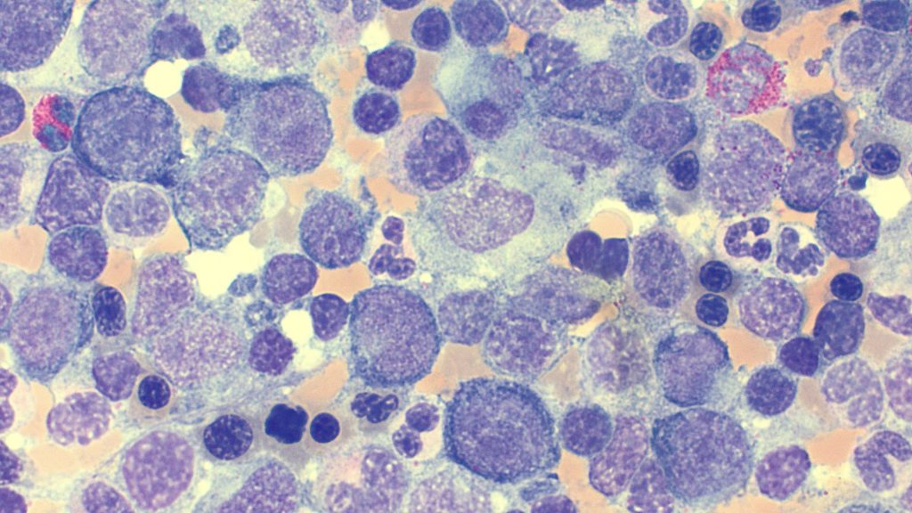
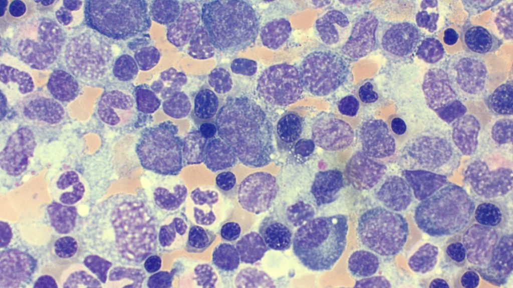
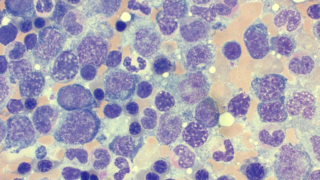
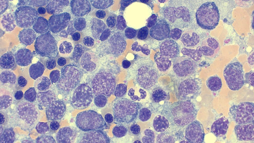
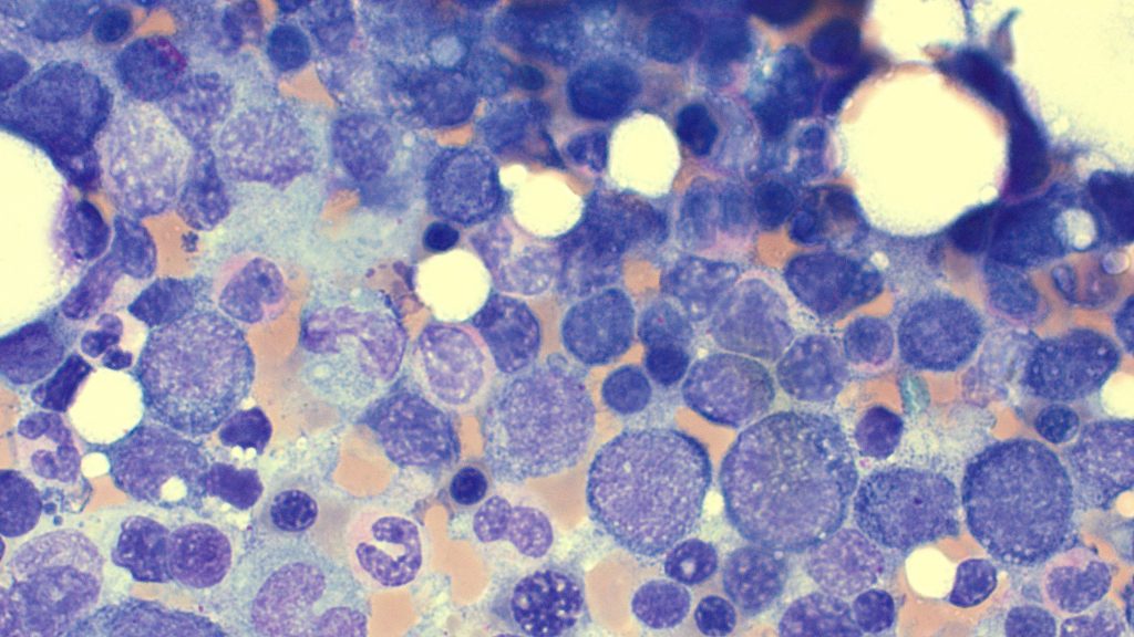
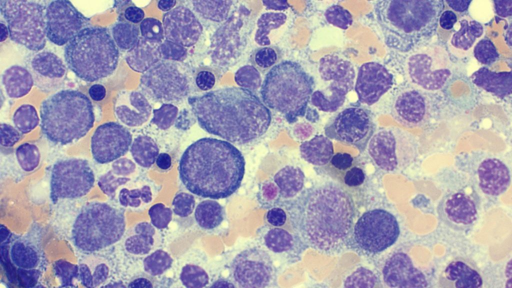
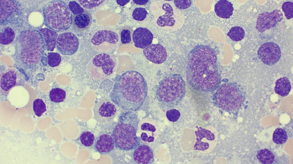
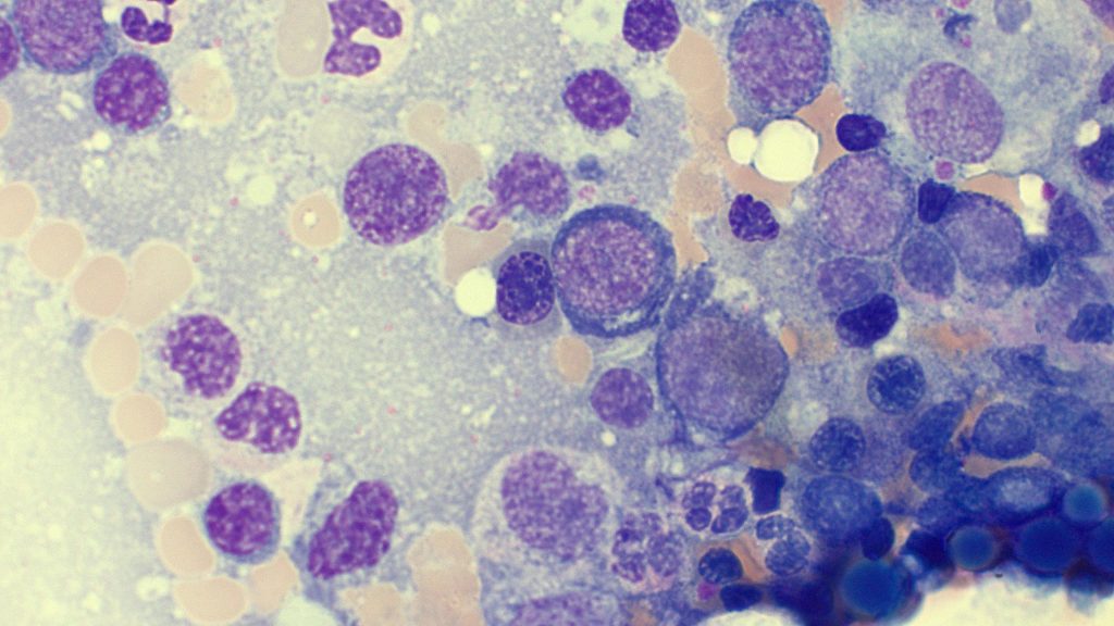
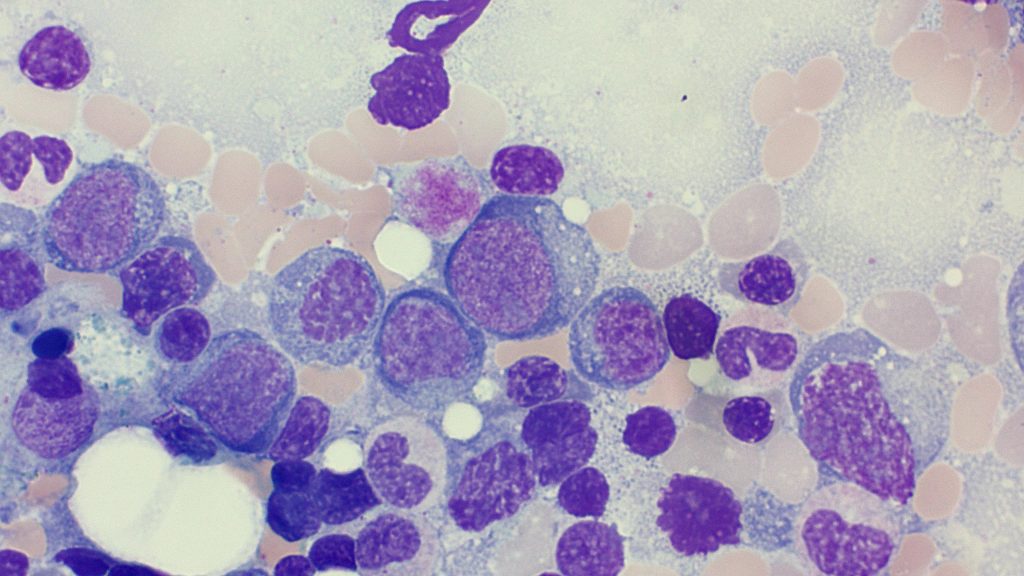
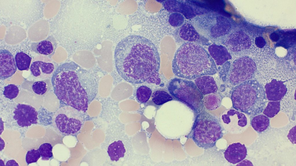
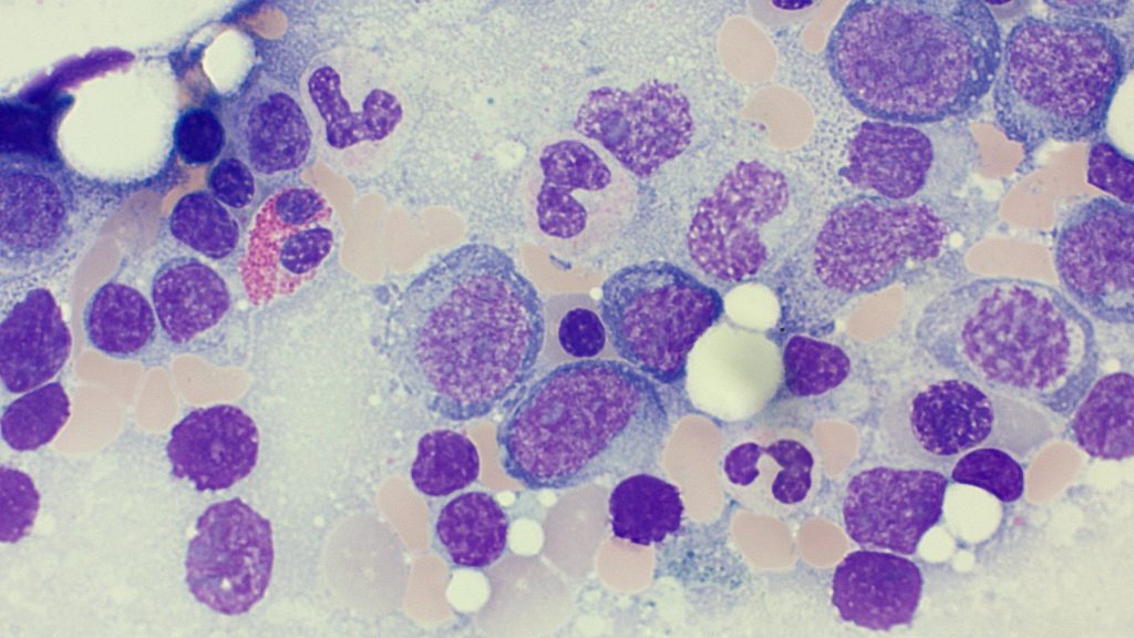
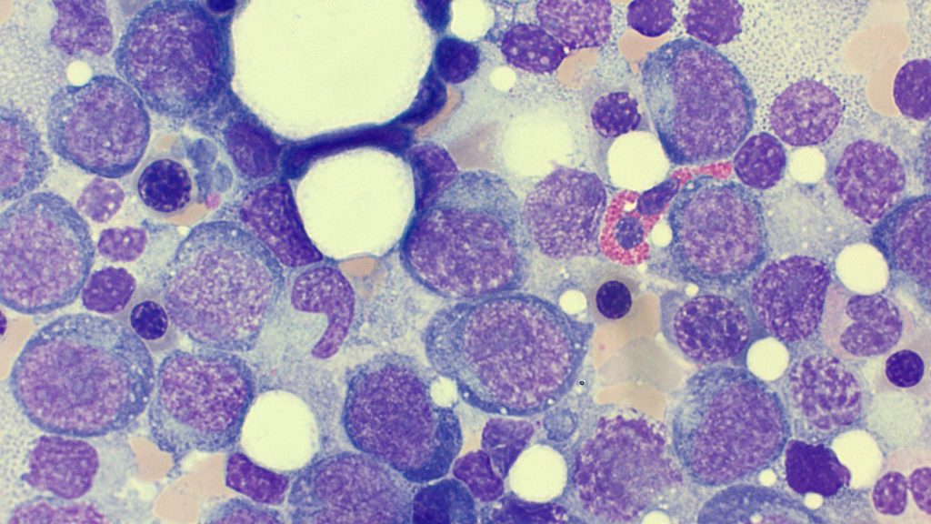
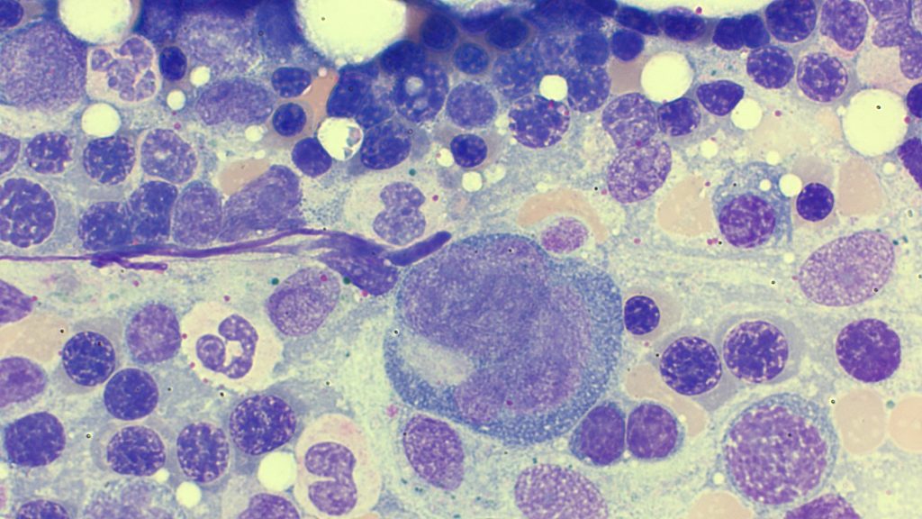
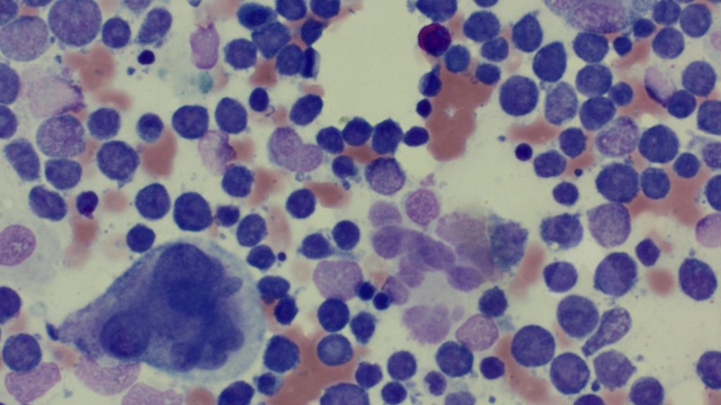
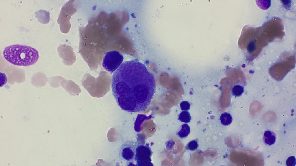
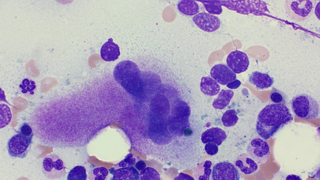
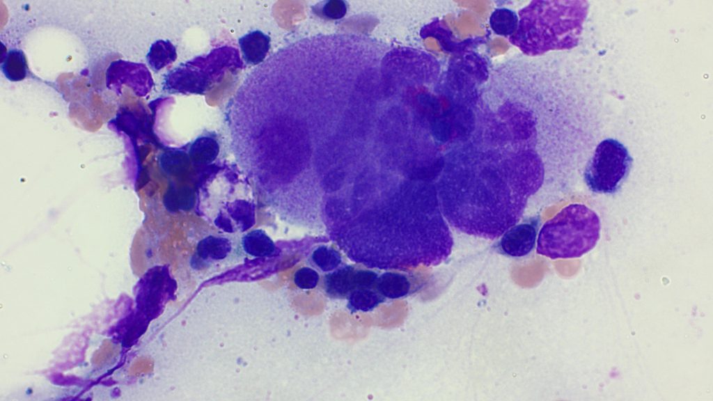
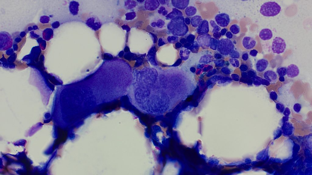
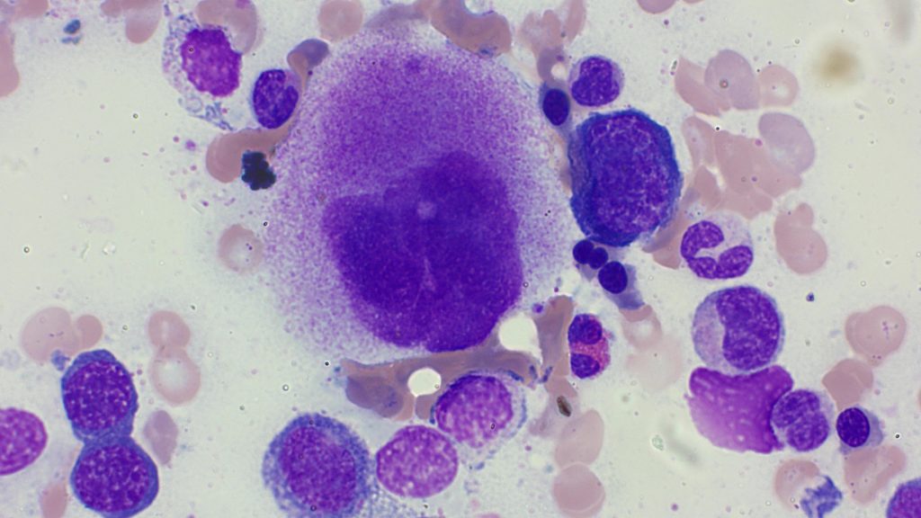
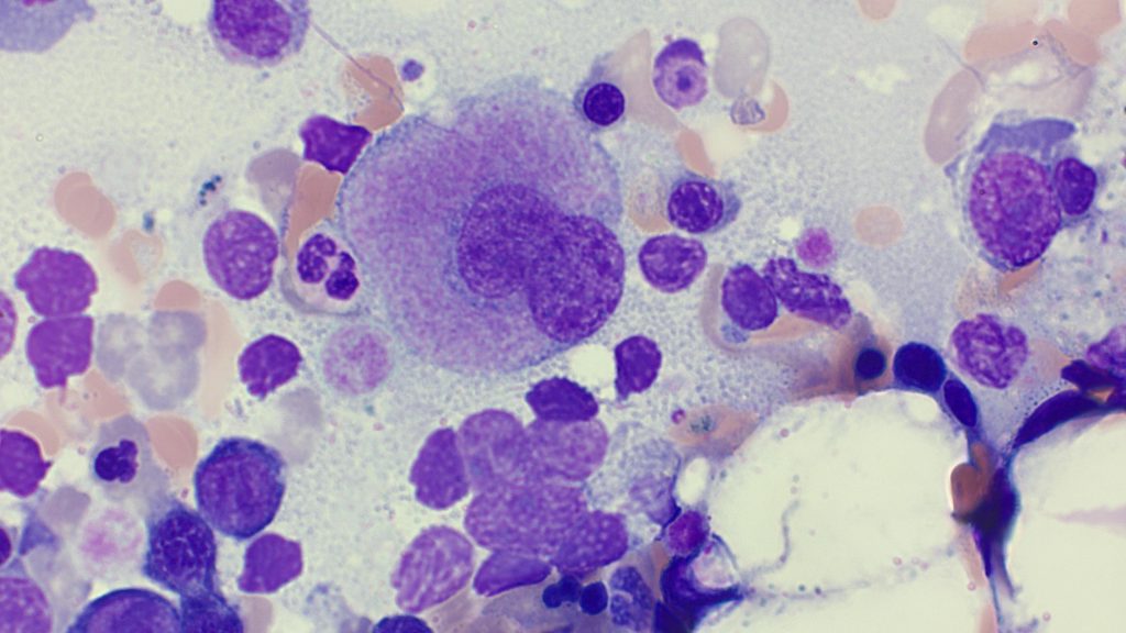
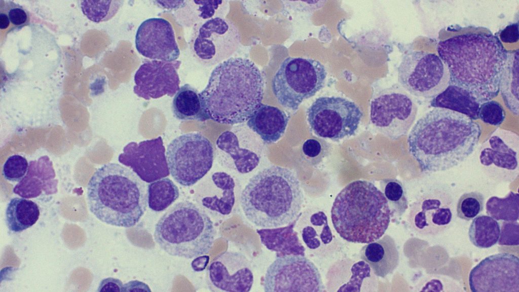
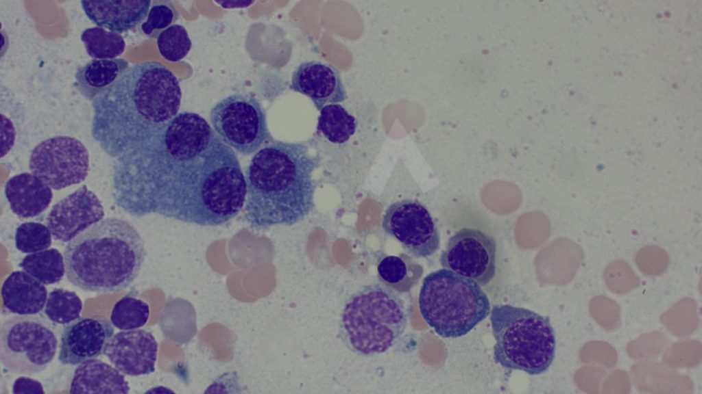
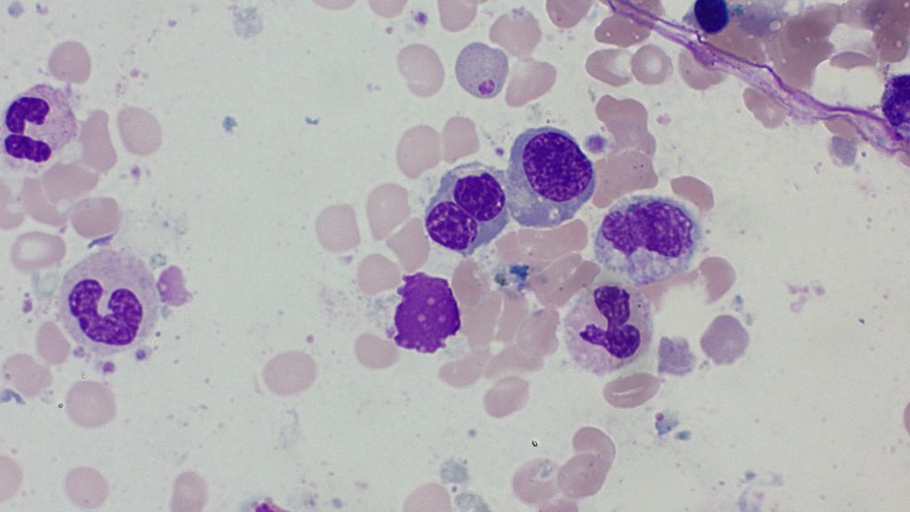
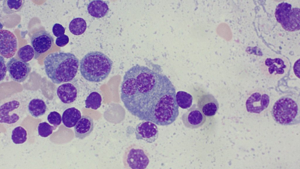
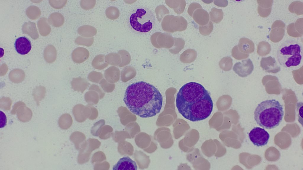
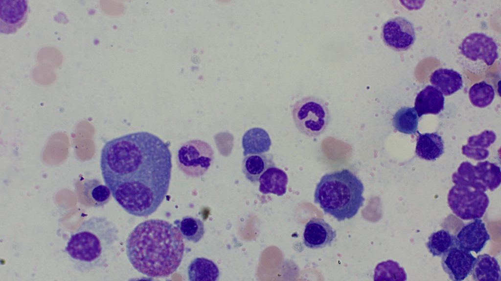
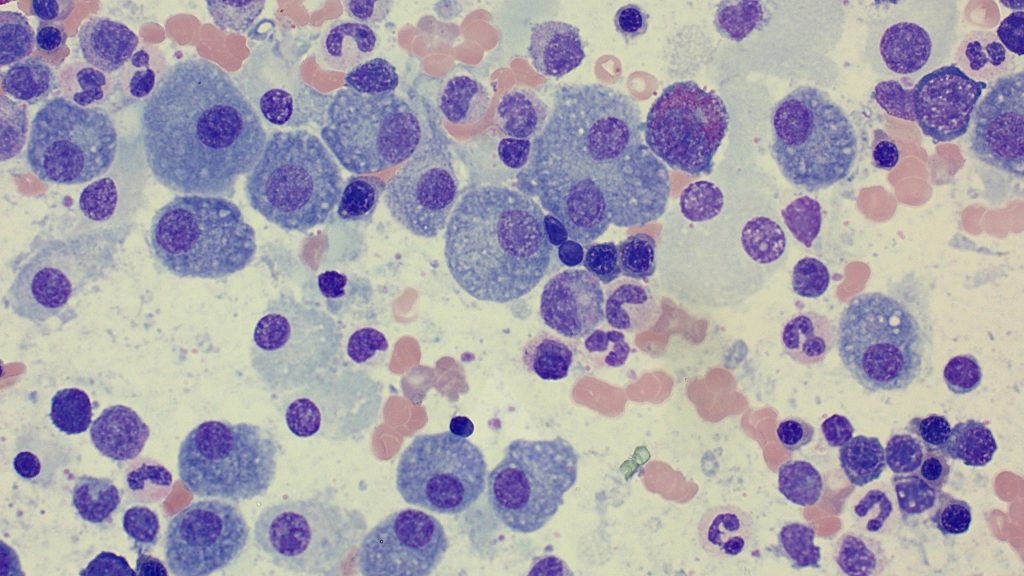
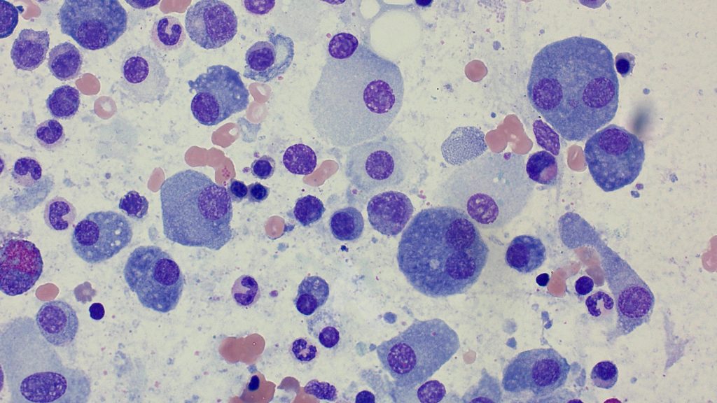
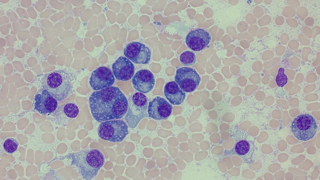
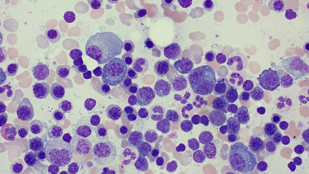
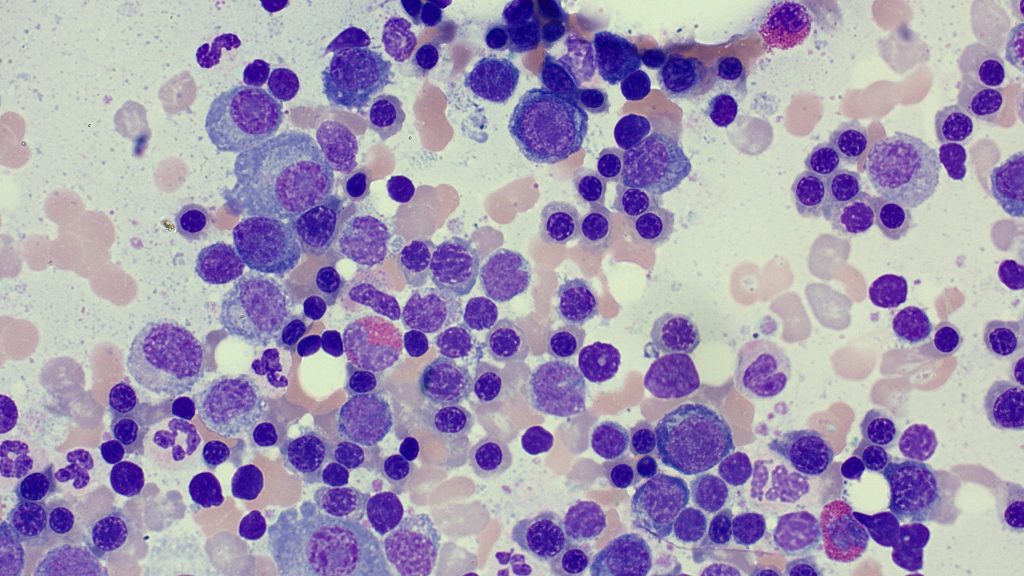
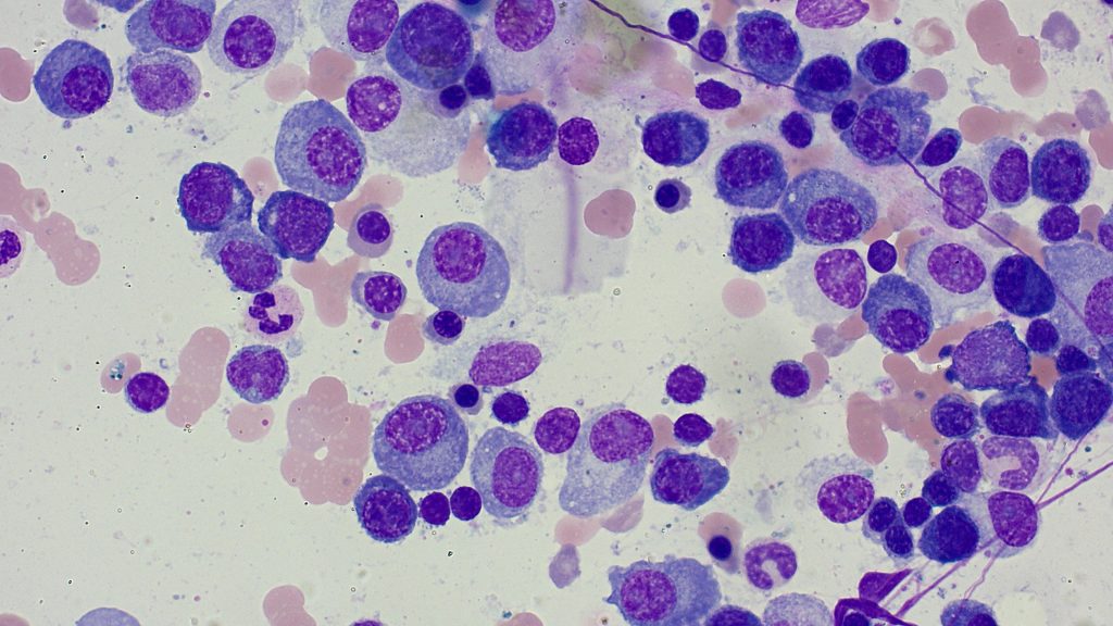
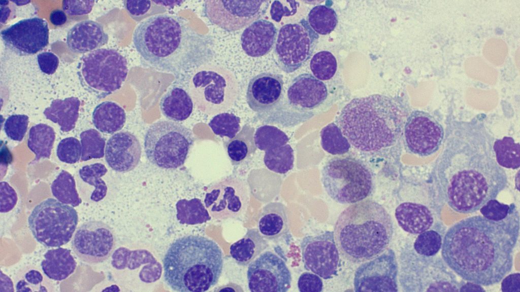
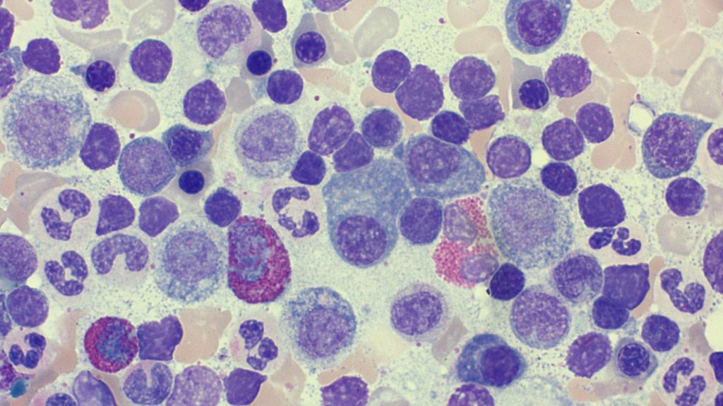
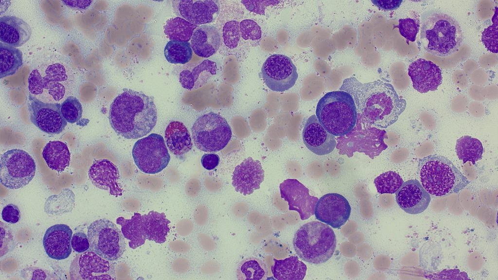
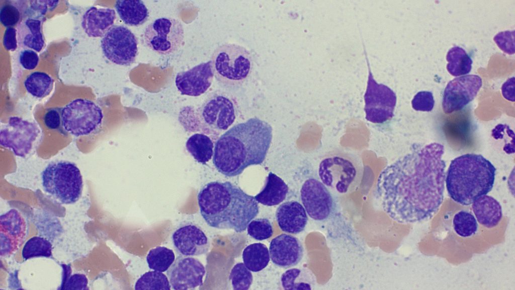
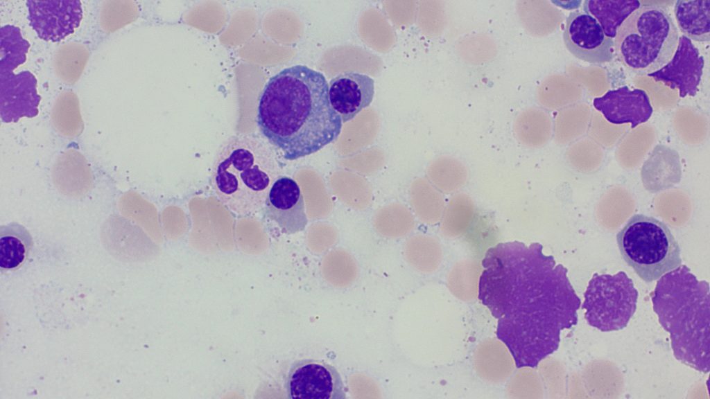
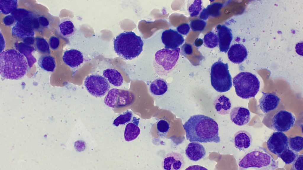
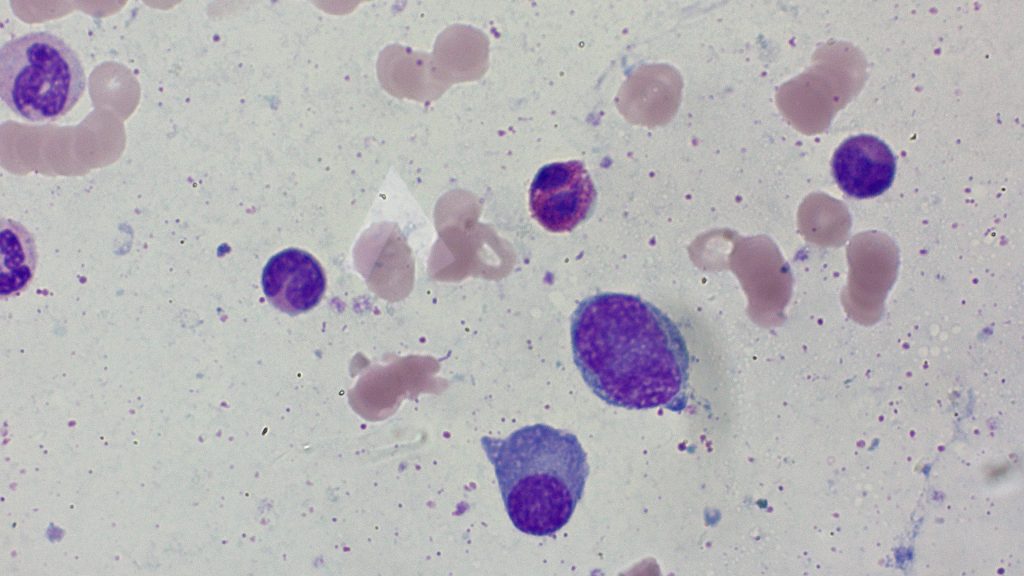
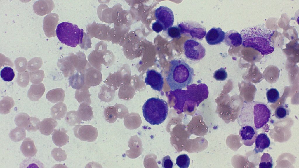
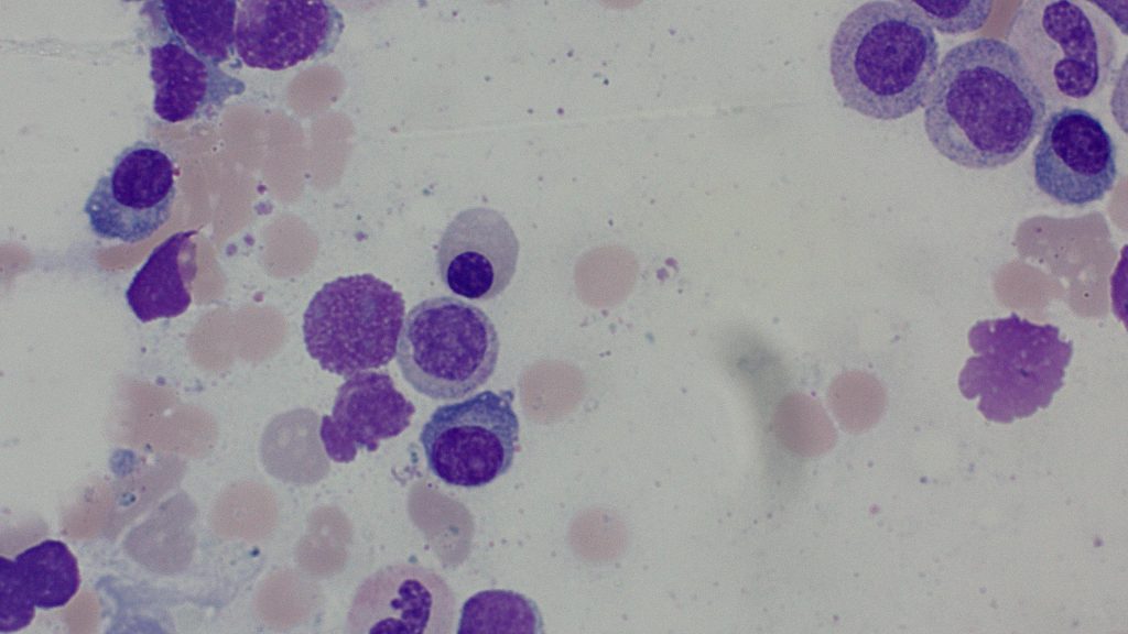
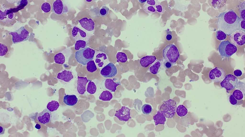
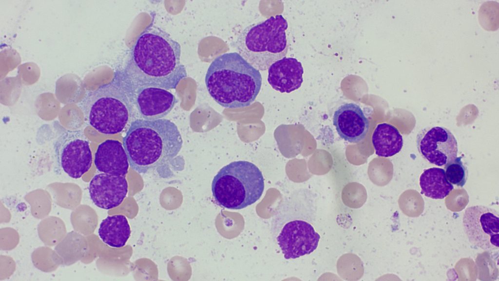
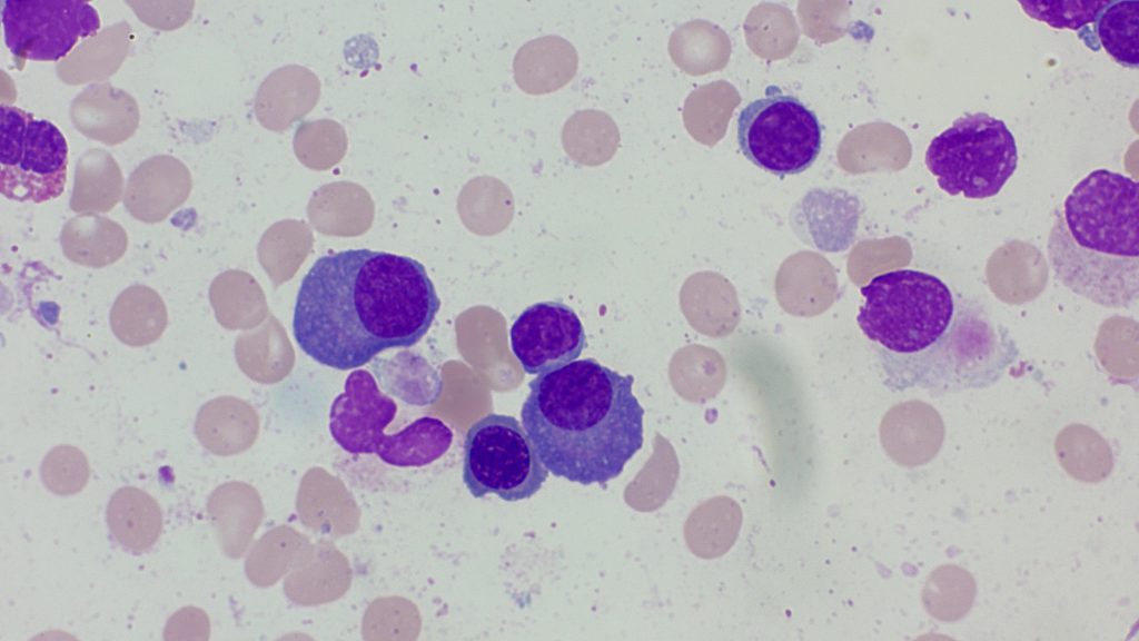
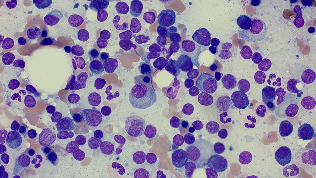
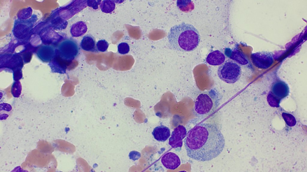
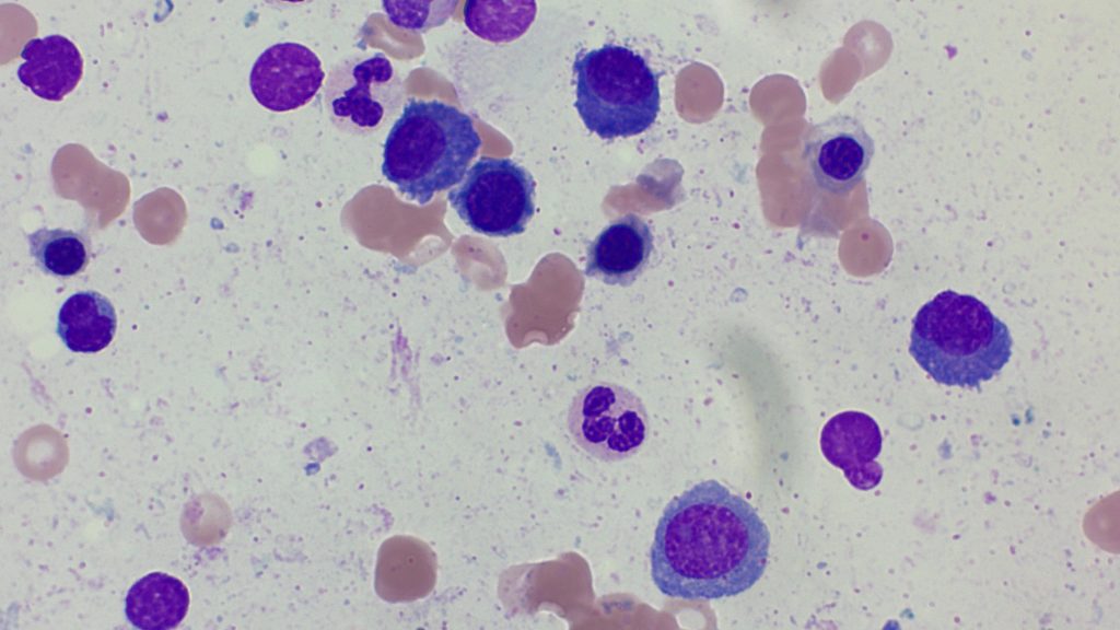
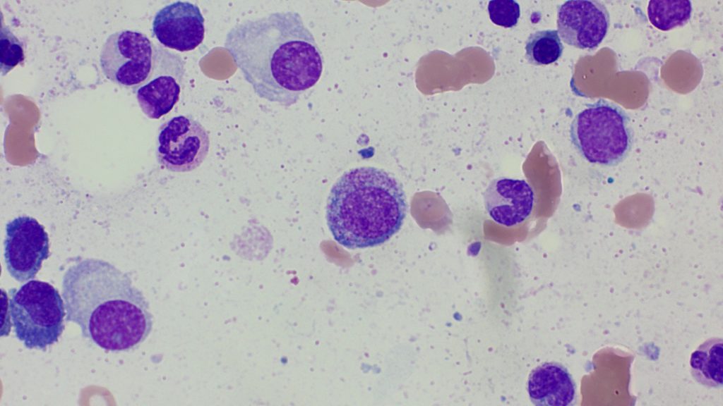
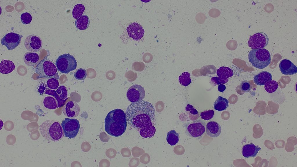
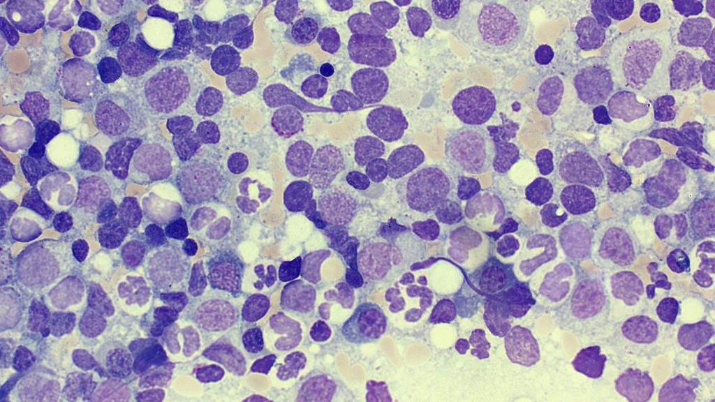
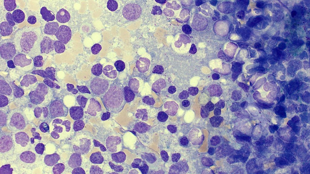
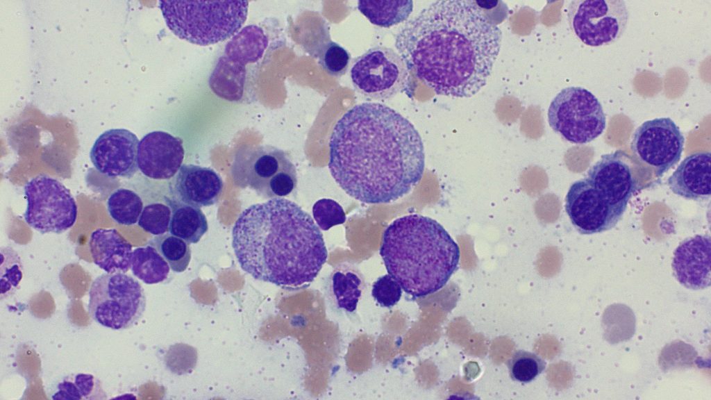
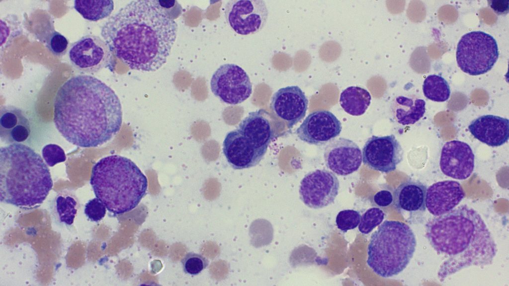
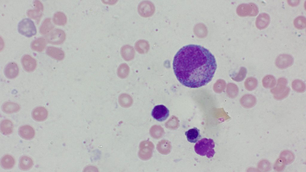
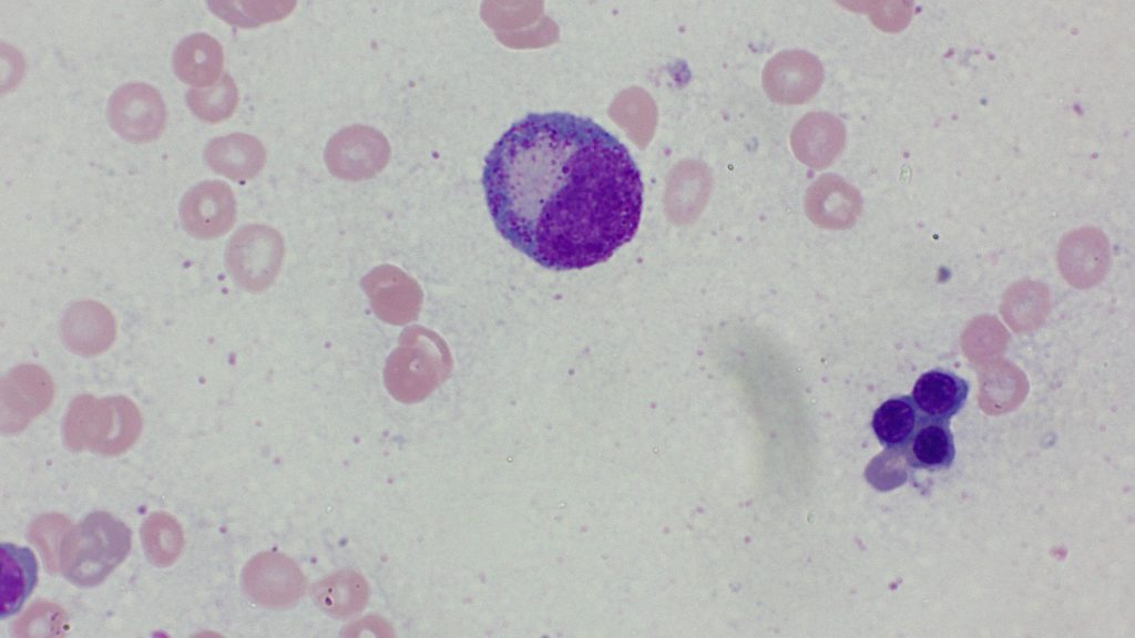
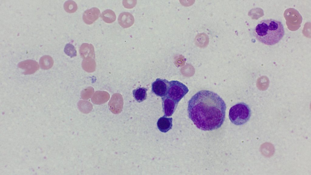
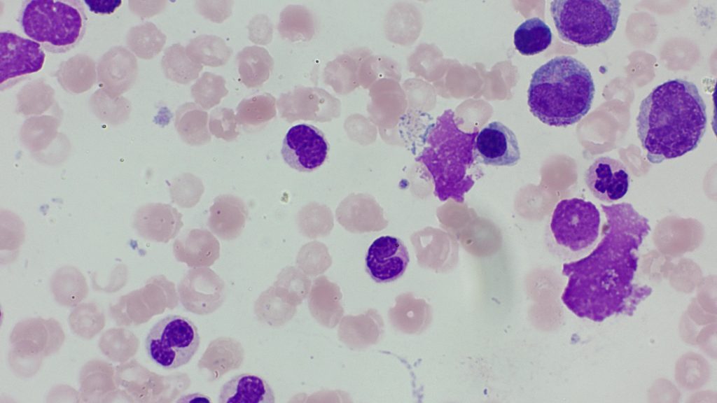
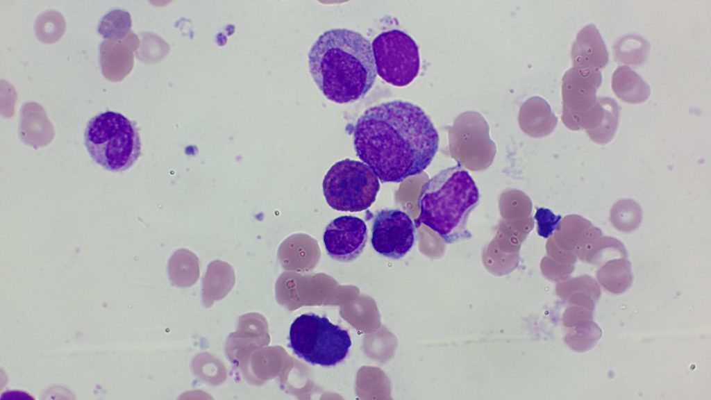
AMML
Click me









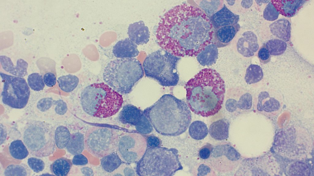
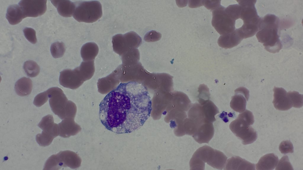
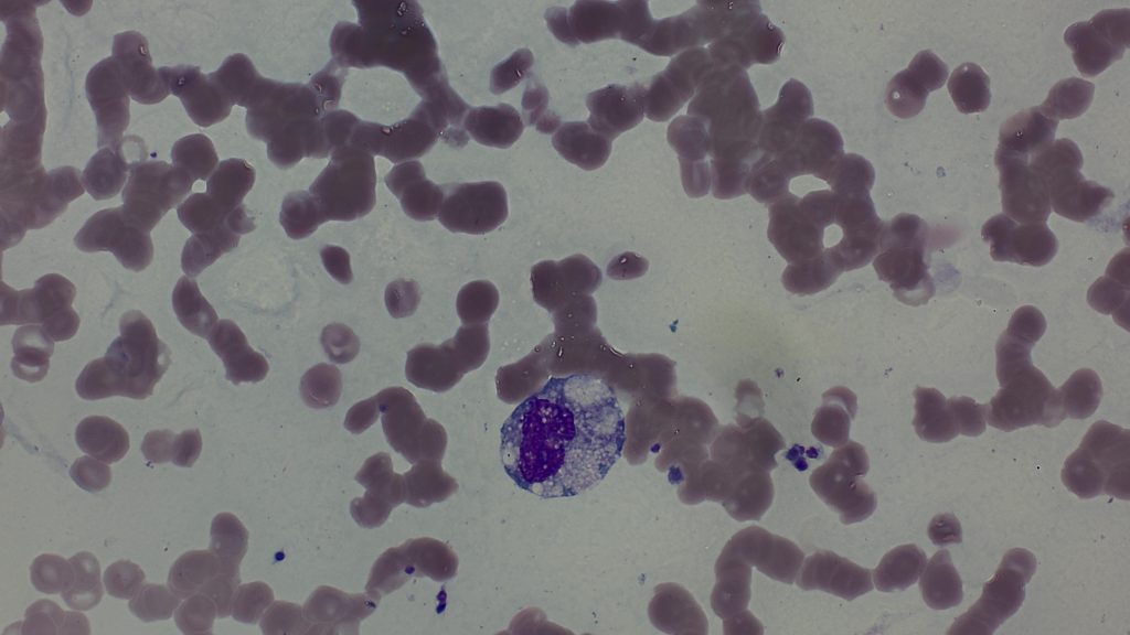
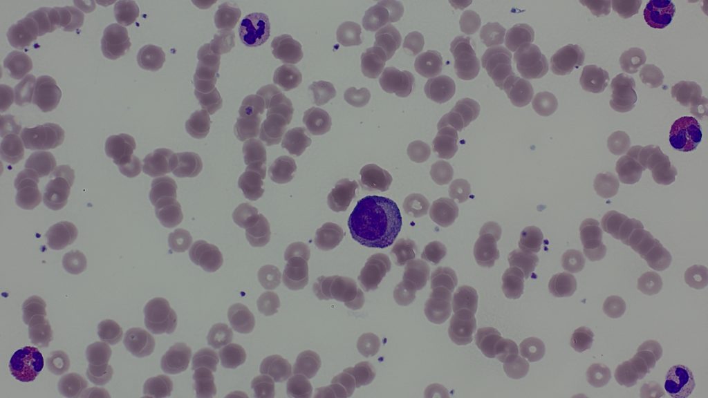
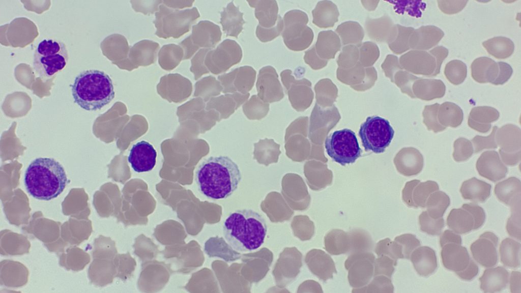
Basophils
Click me


















































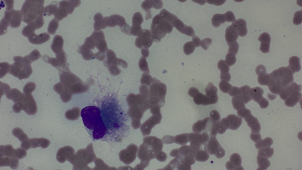
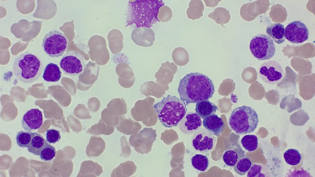
Eosinophils
Click me
























































































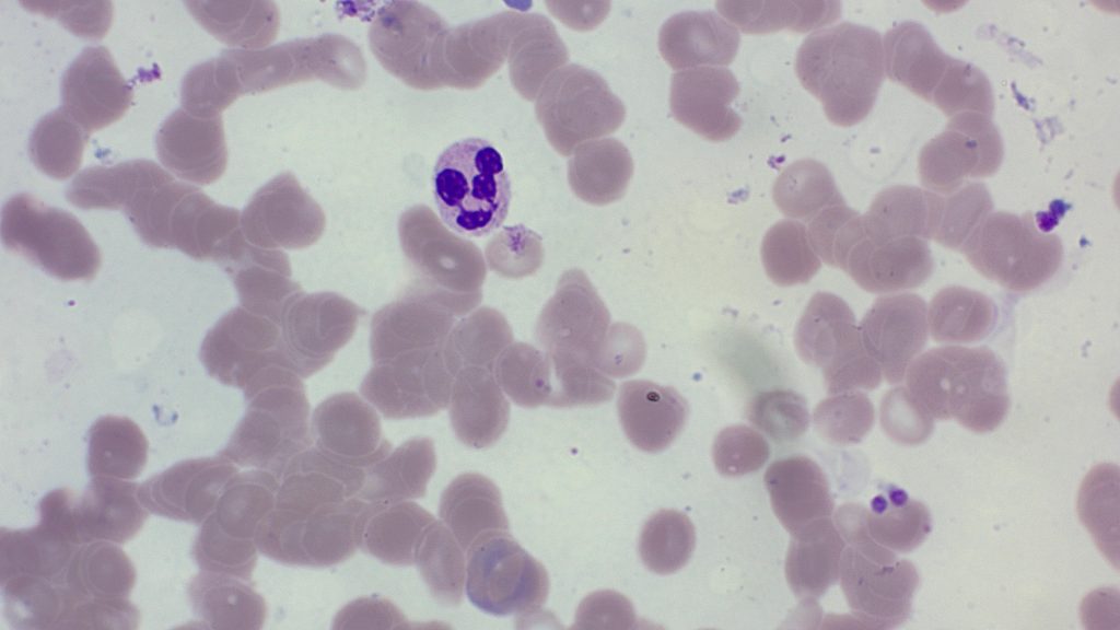
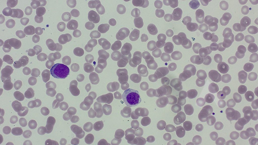
Erythrocytes
Basophilic stippling






Binucleated erythrocytes









































Dysmorphic nuclei



















































Erythropoiesis
















































































Iron staining










Megaloblasts







































Oval nuclei








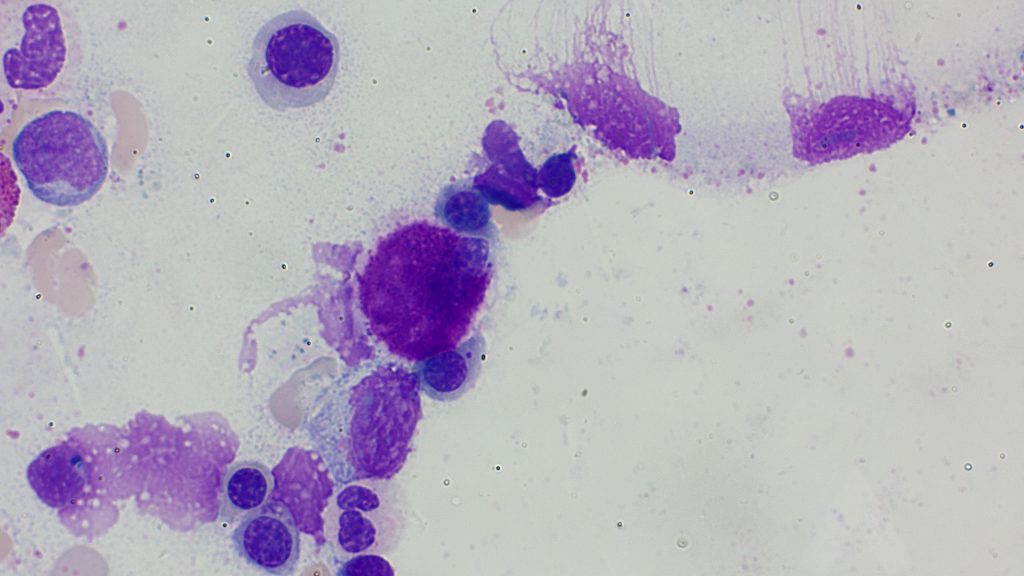
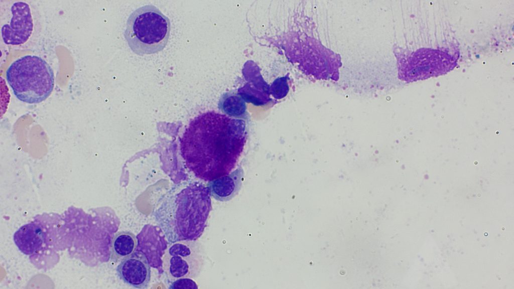
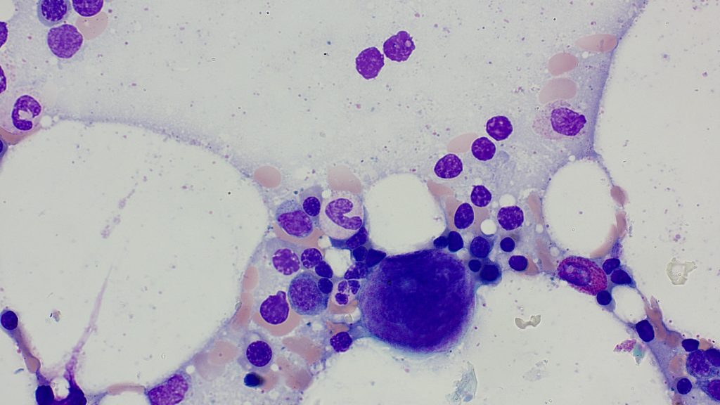
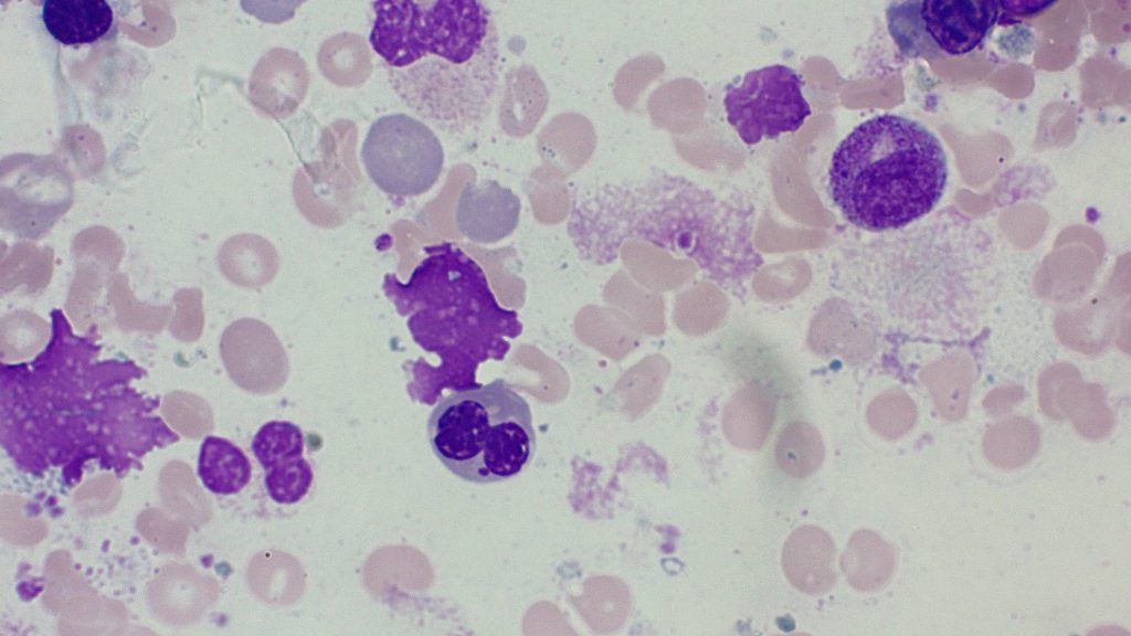
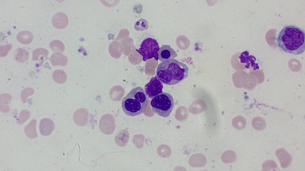
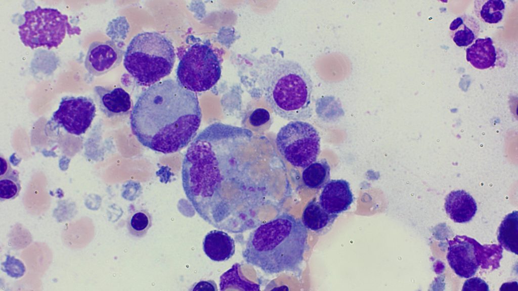
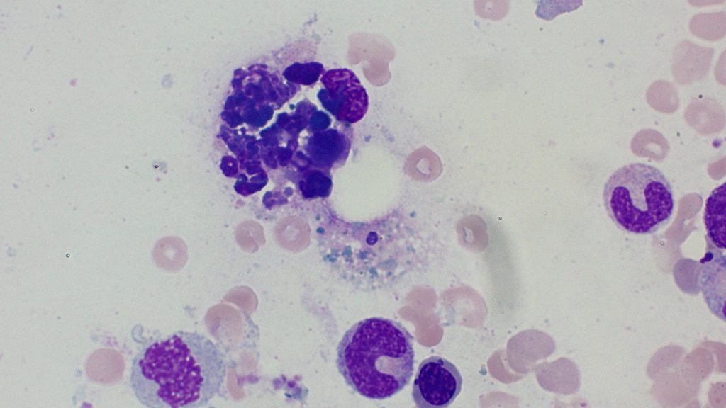
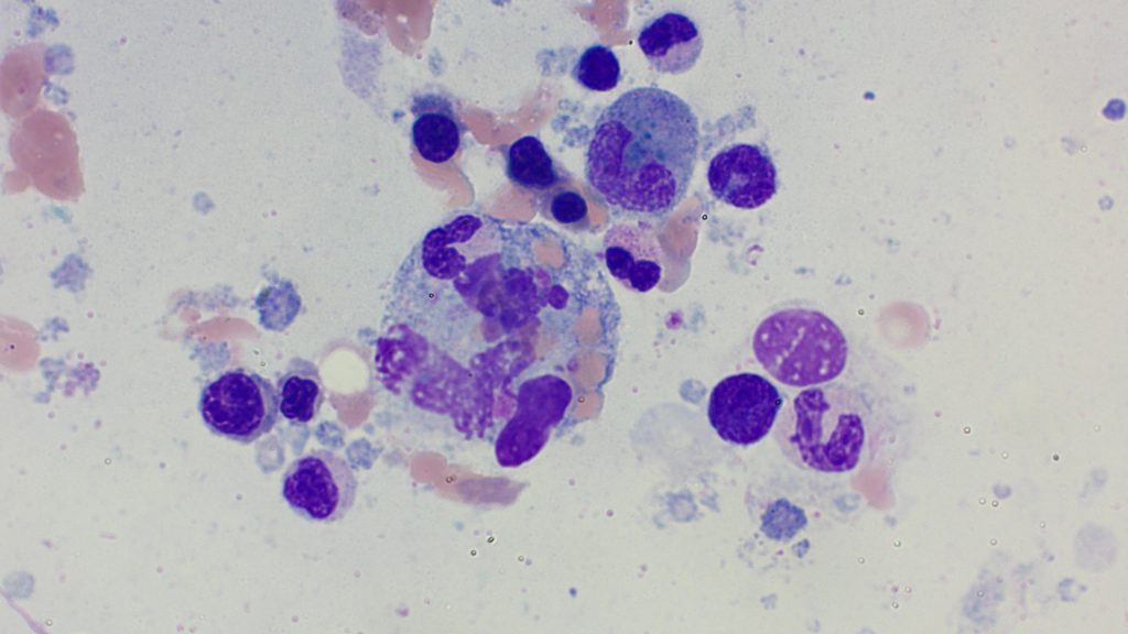
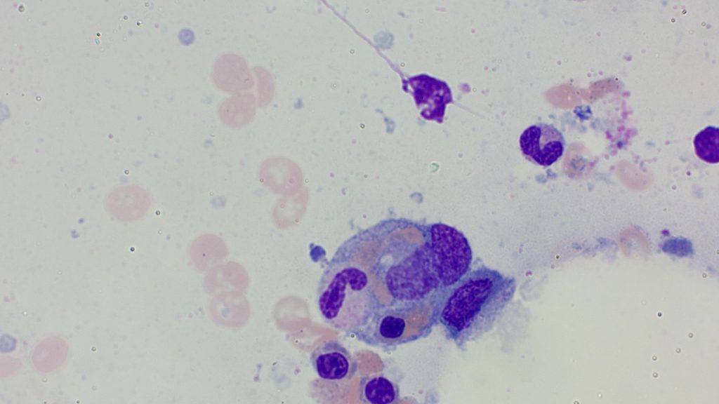
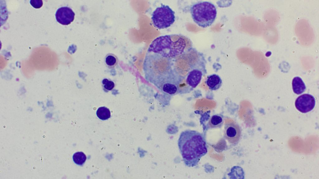
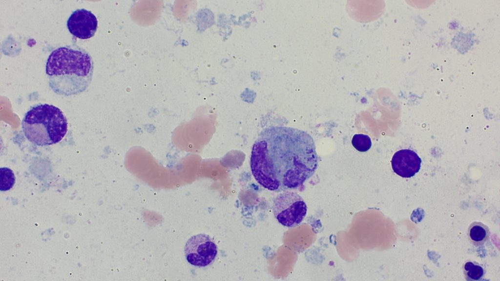
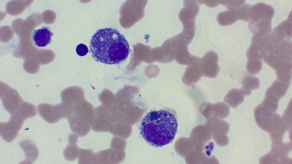
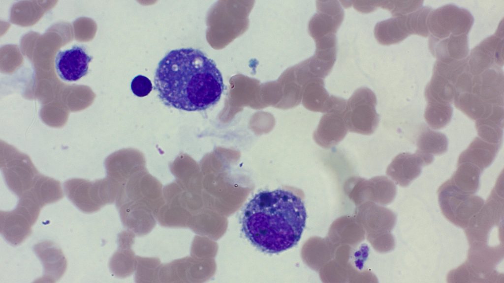
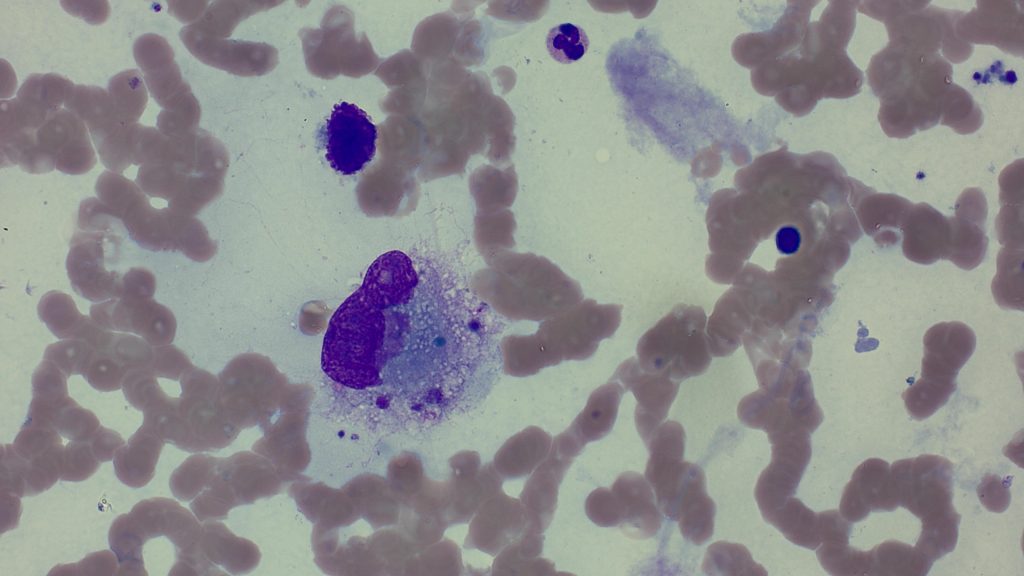
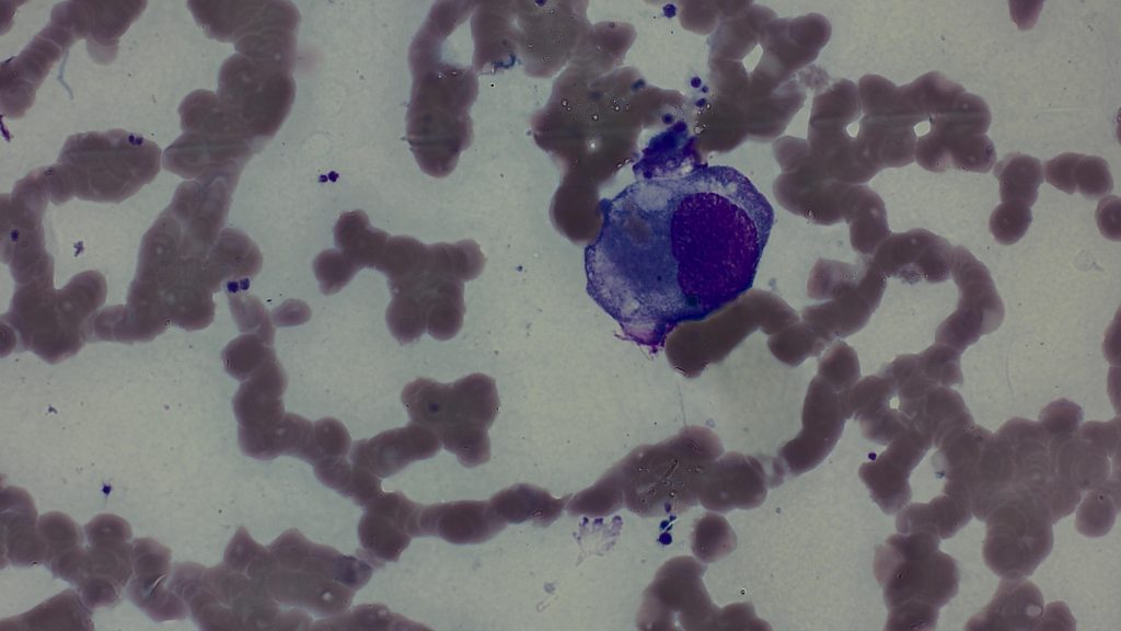
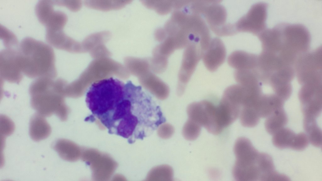
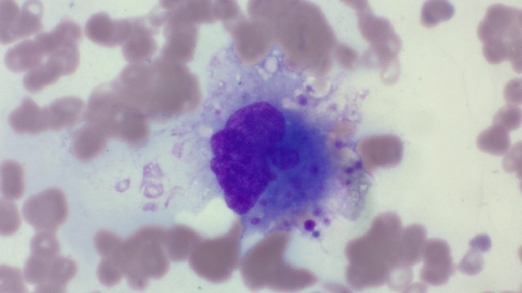
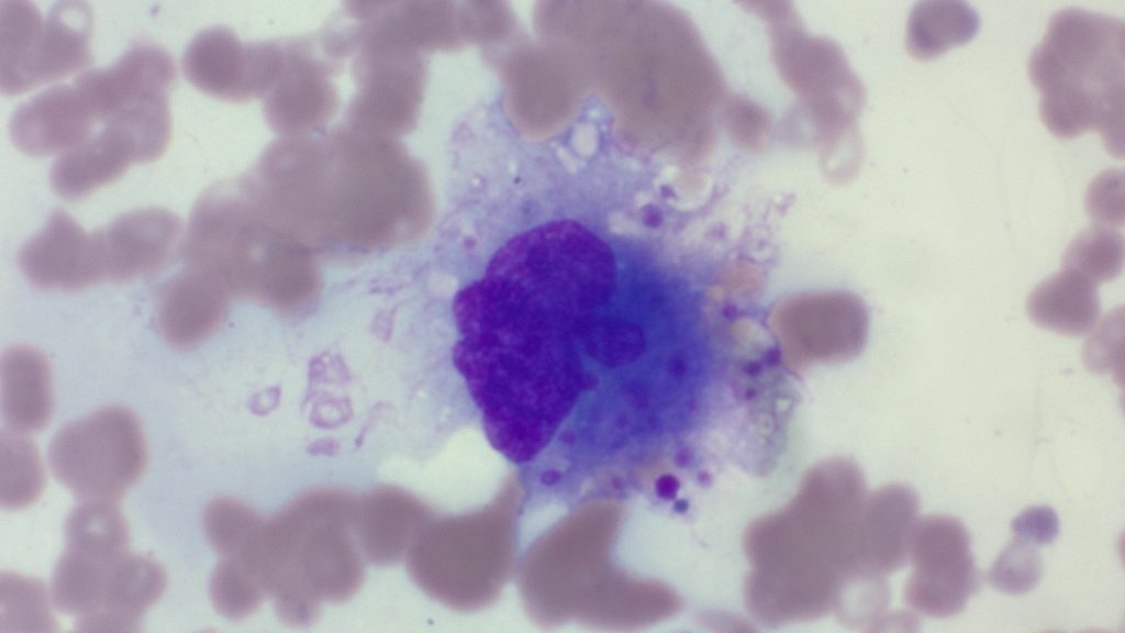
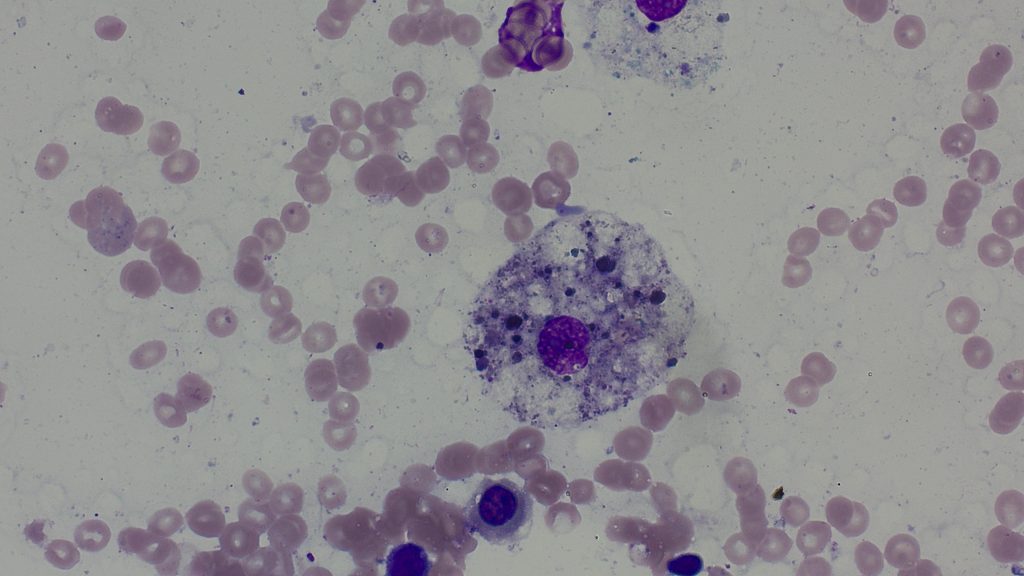
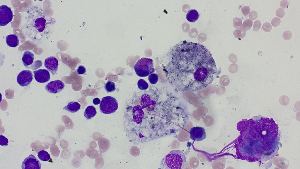
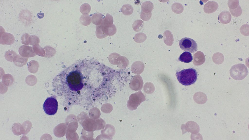
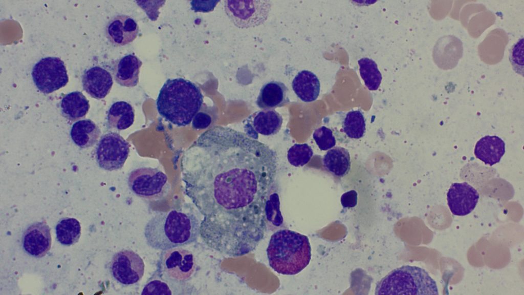
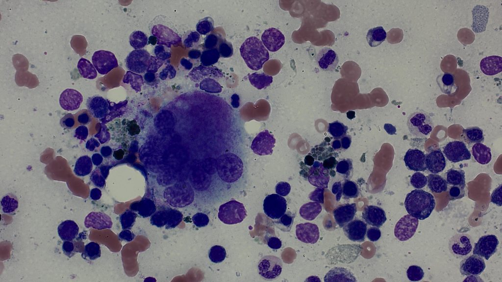
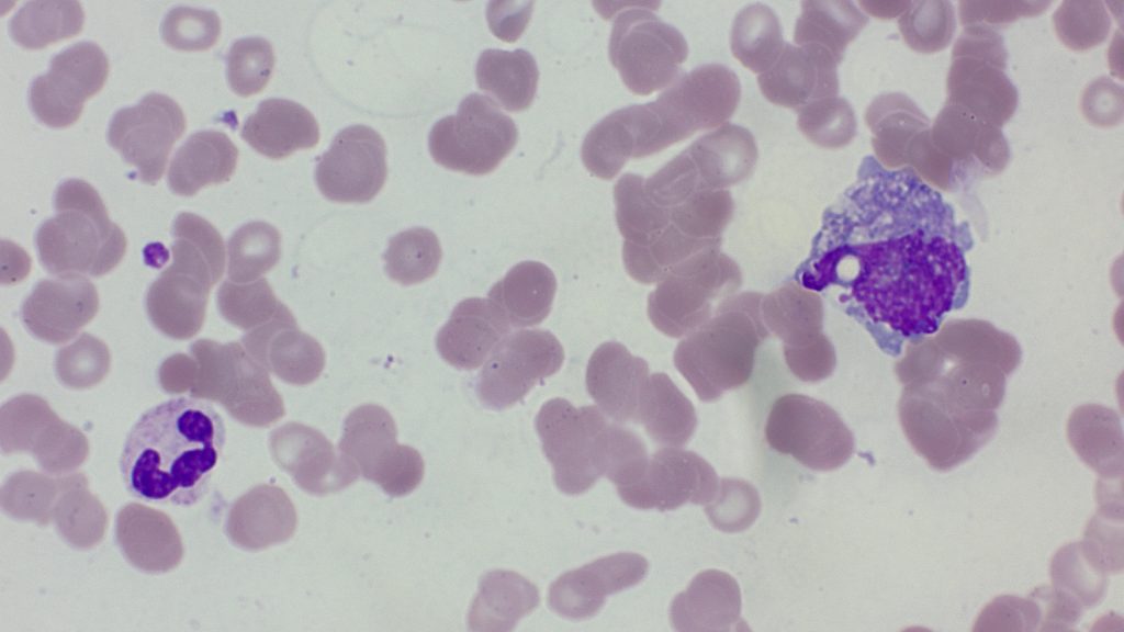
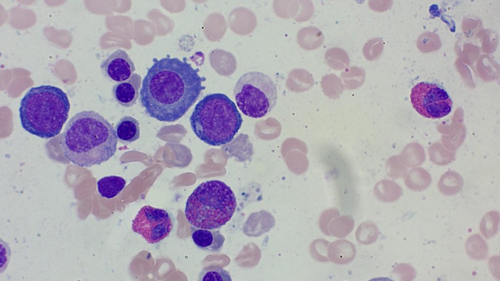
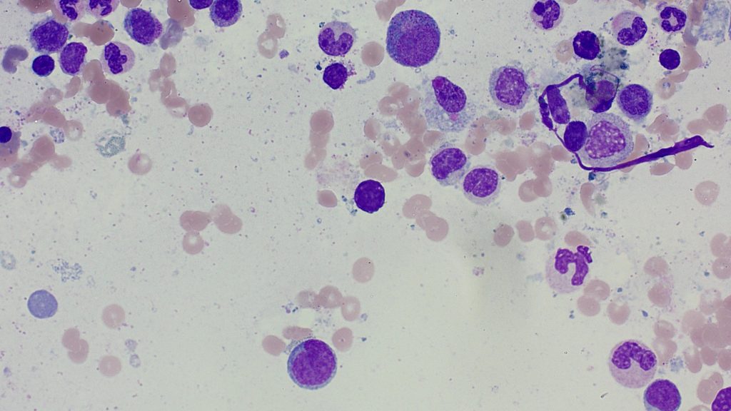
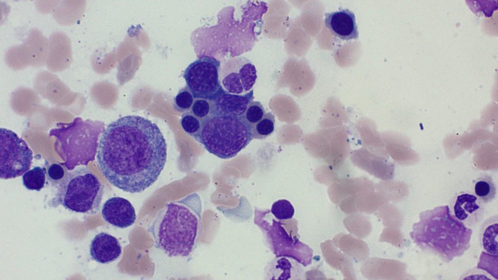
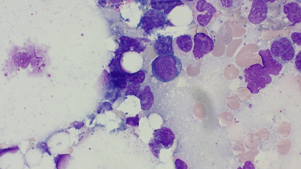
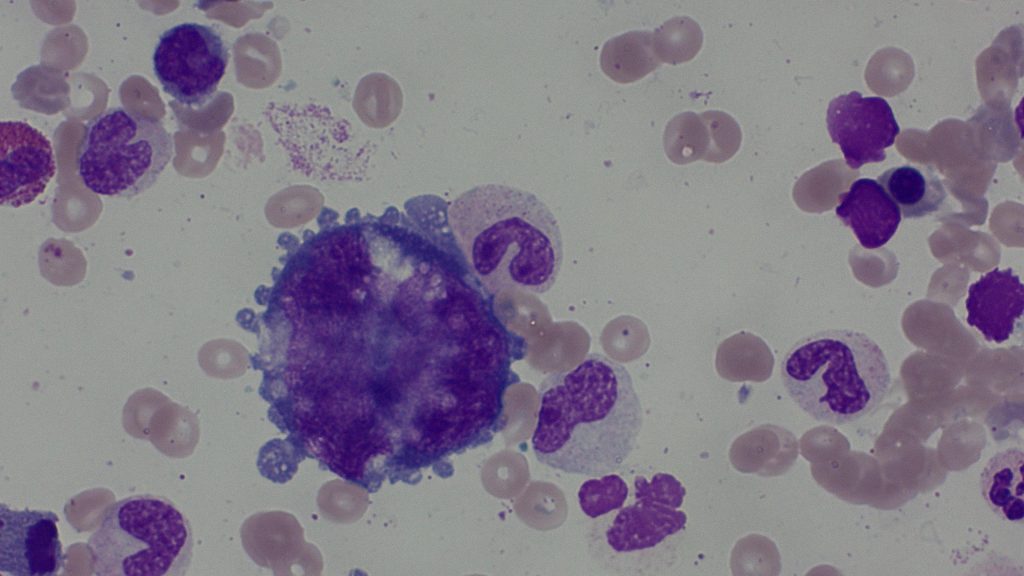
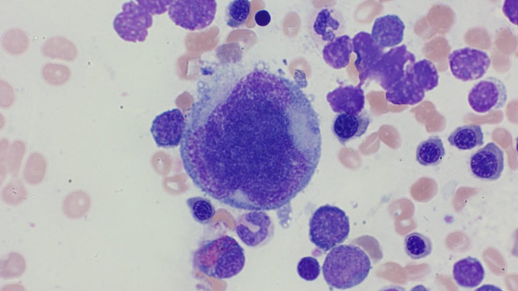
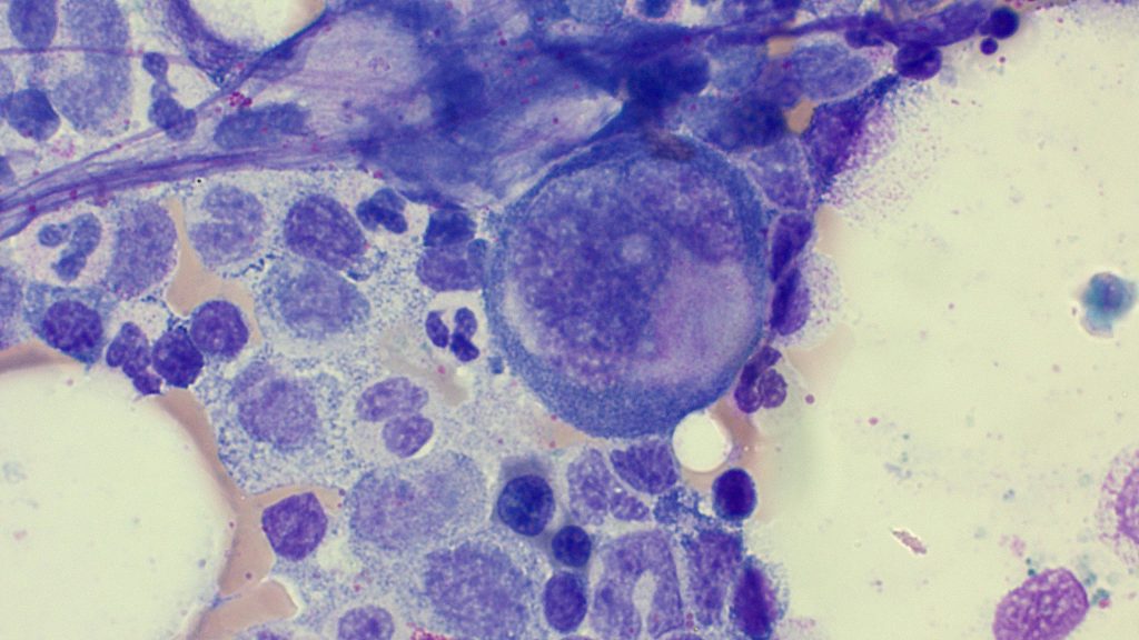
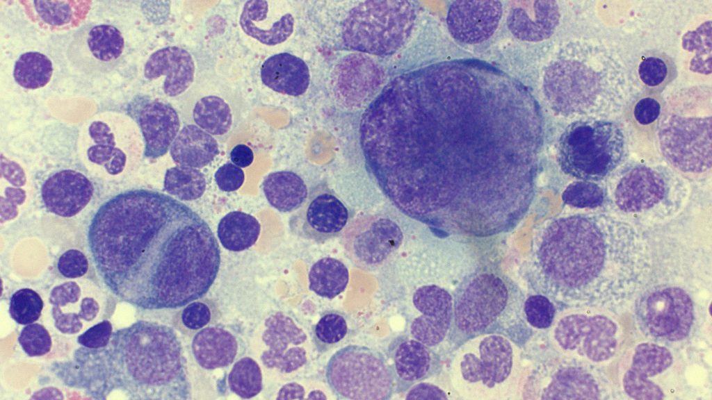
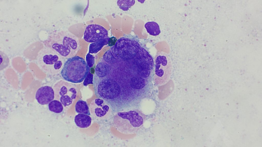
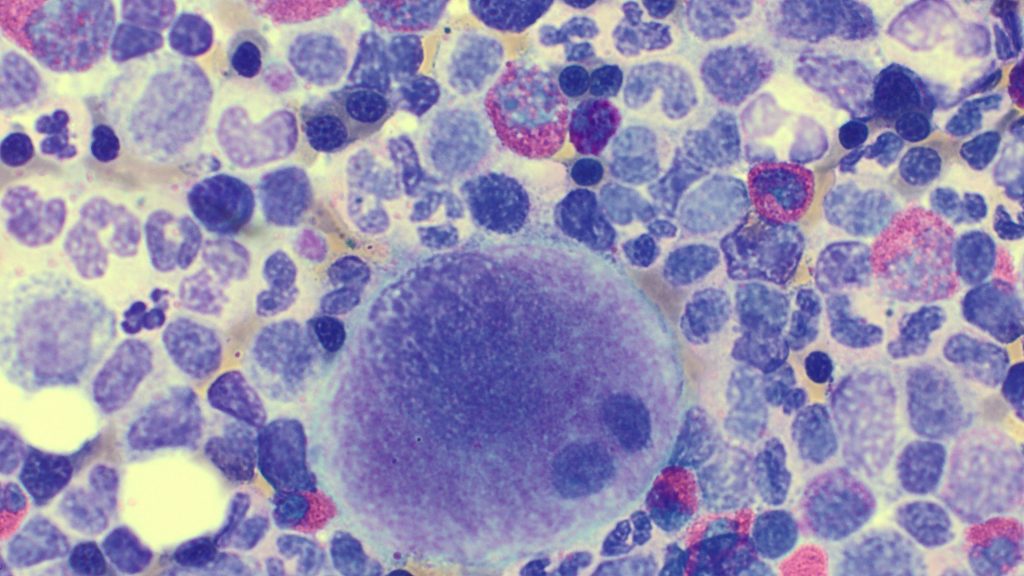
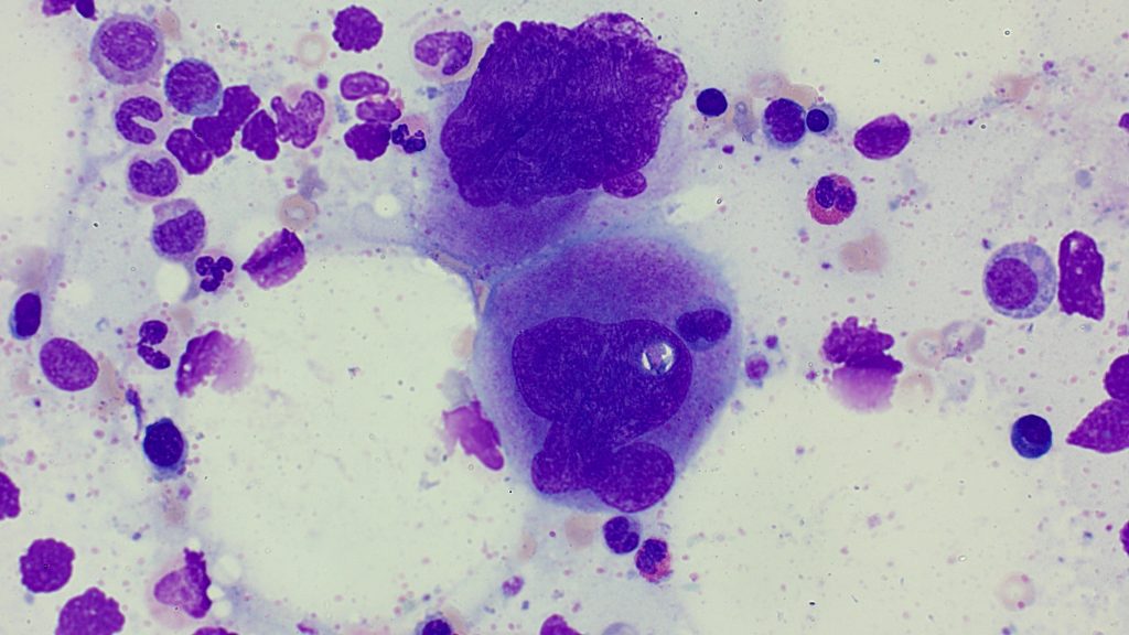
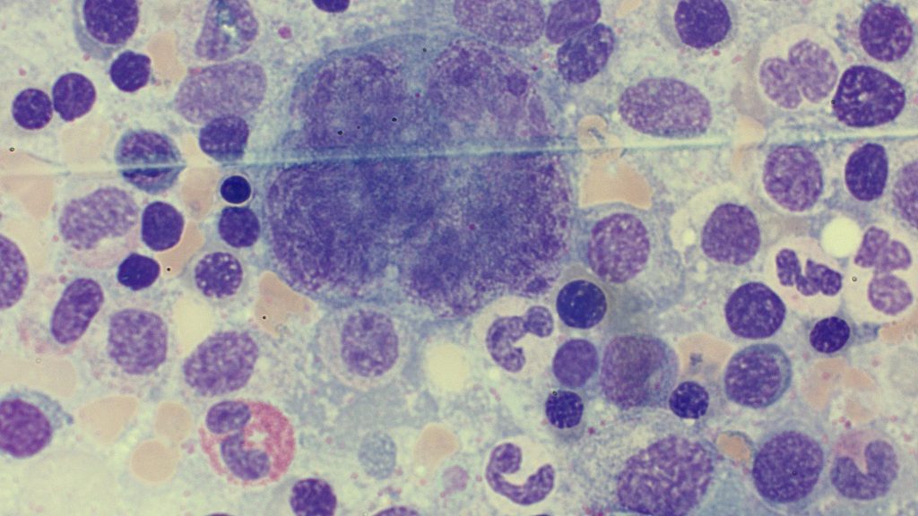
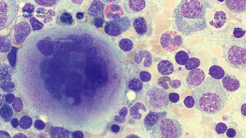
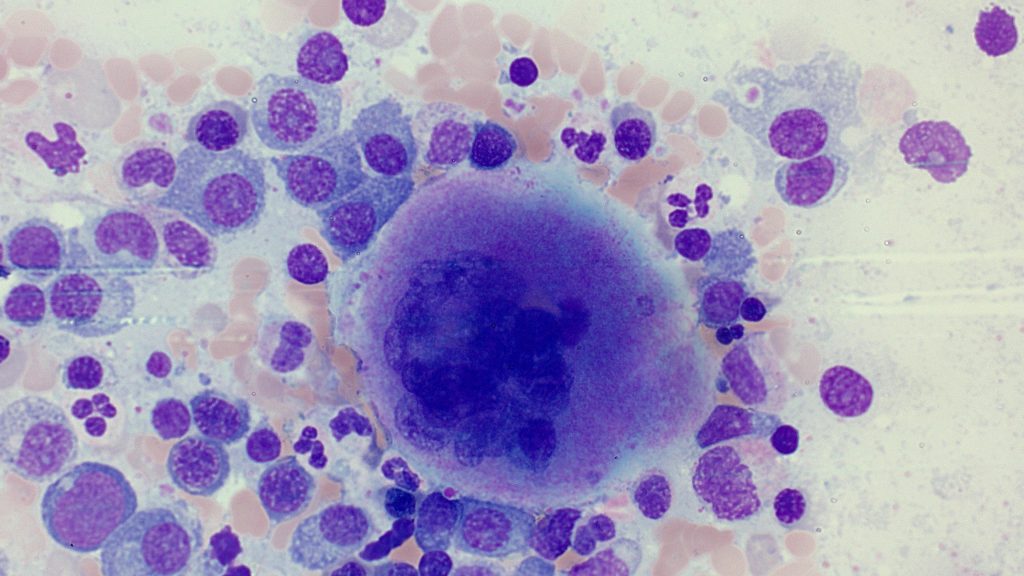
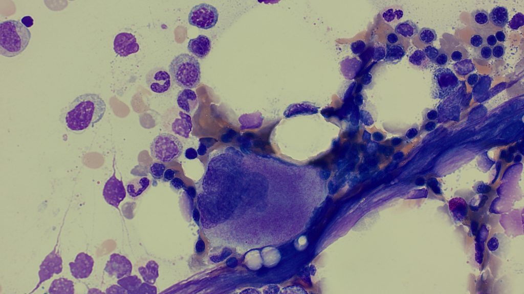
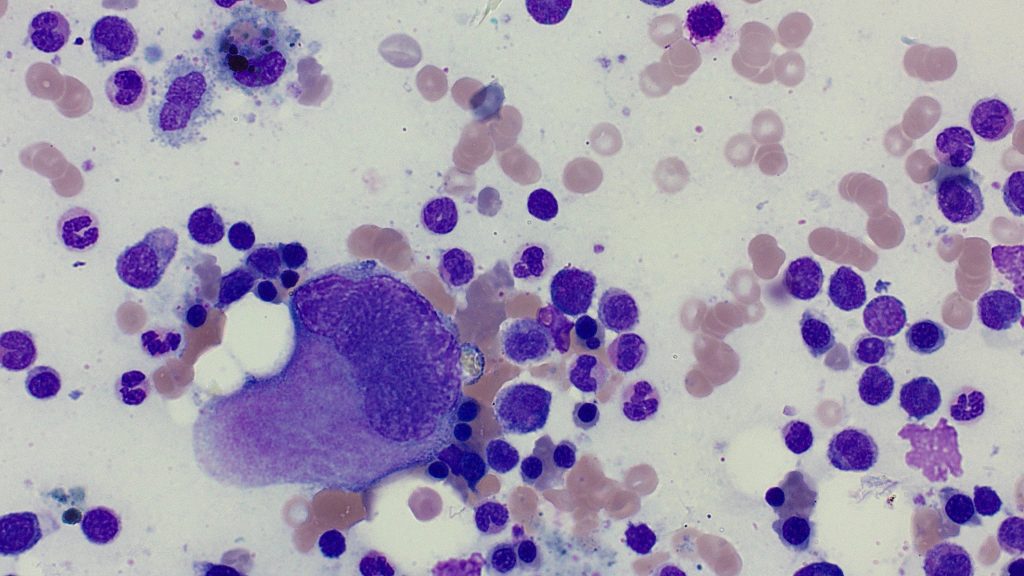
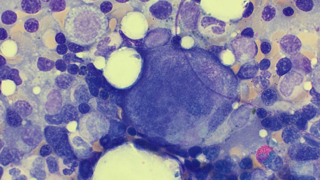
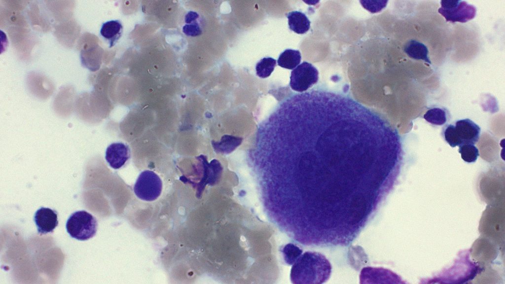
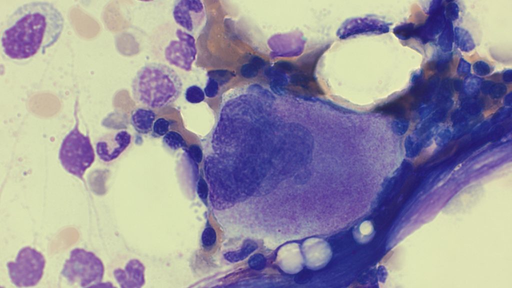
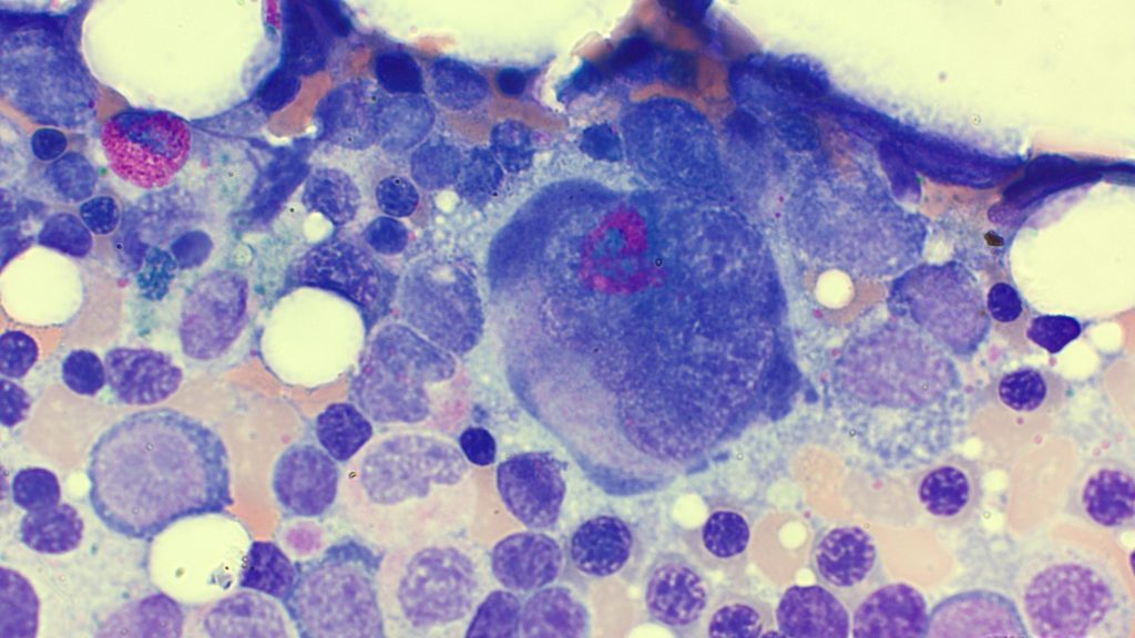
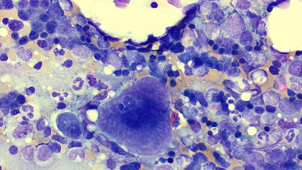
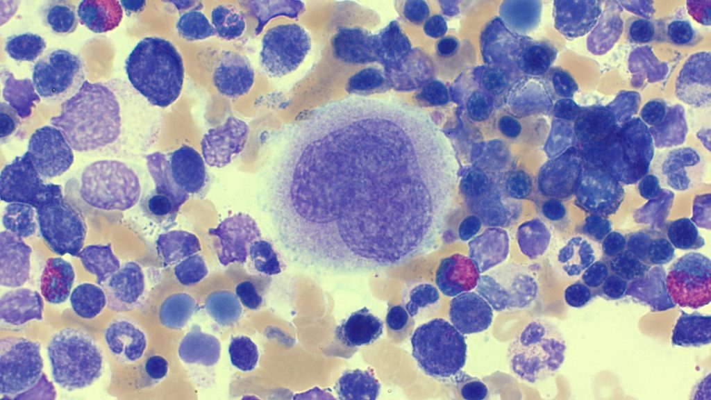
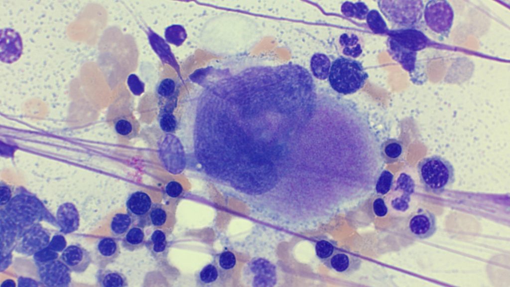
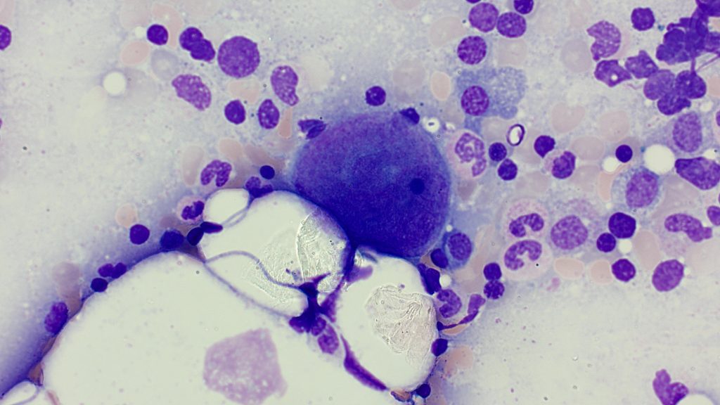
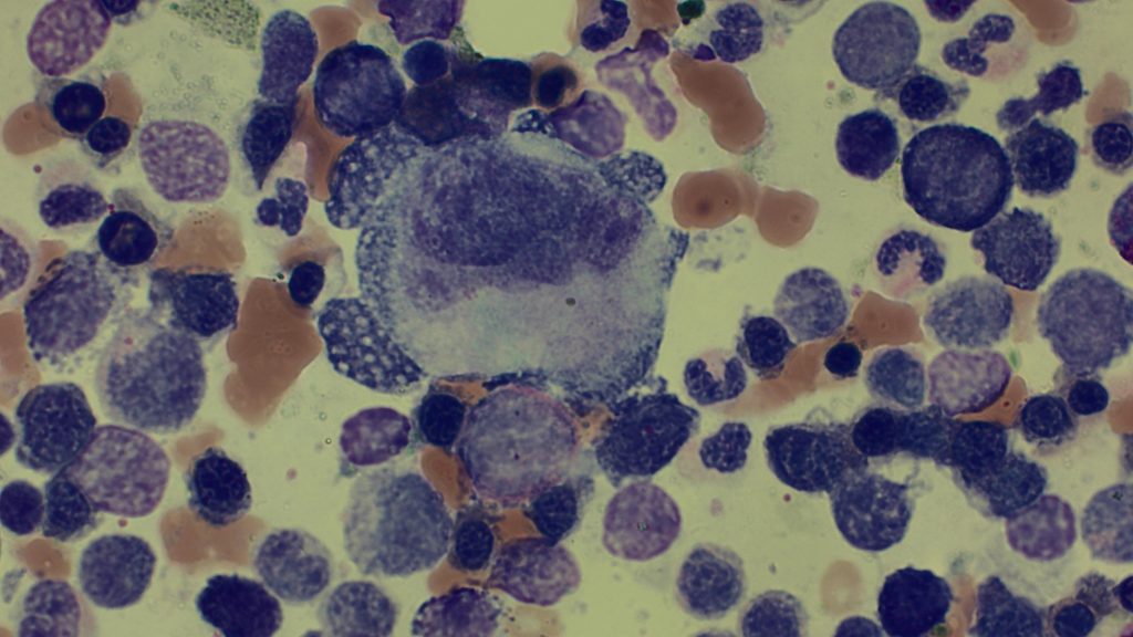
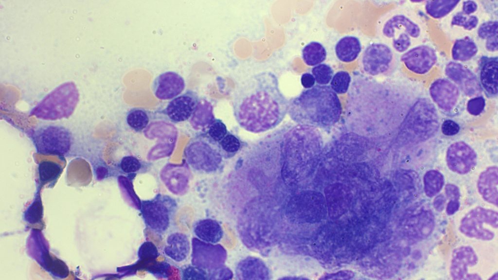
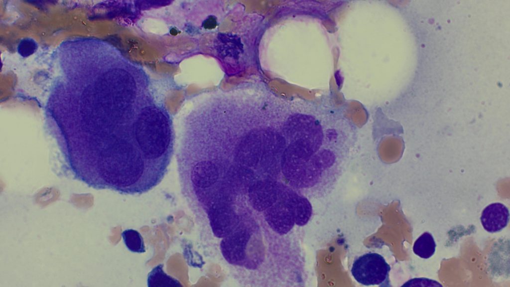
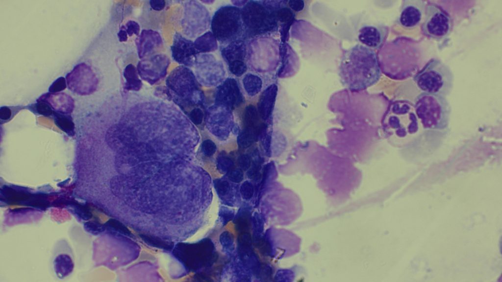
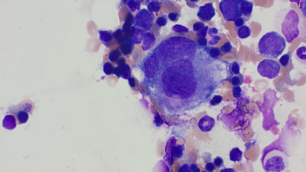
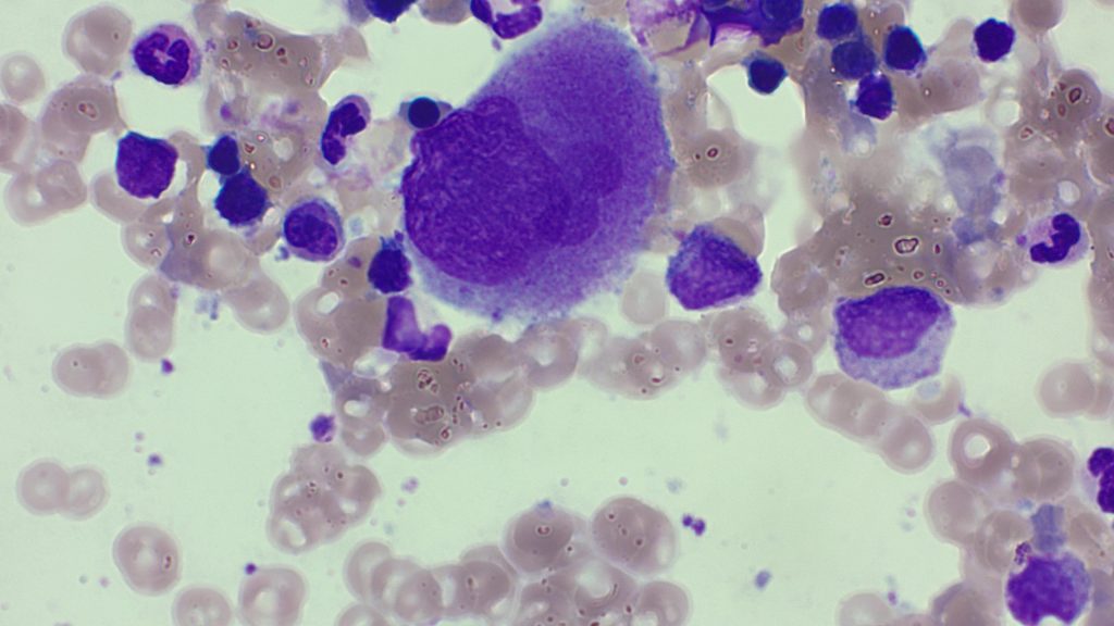
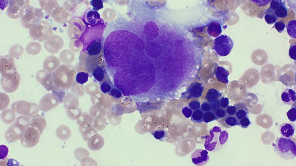
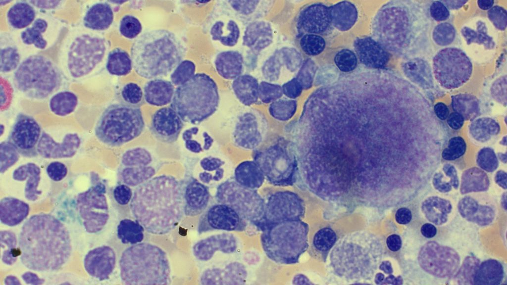
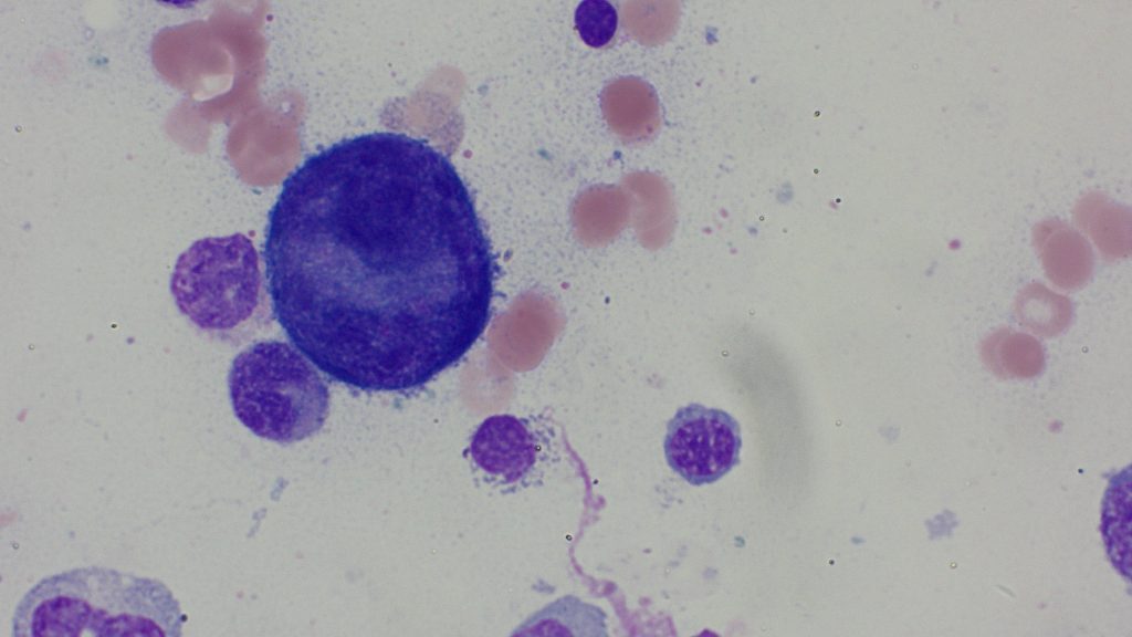
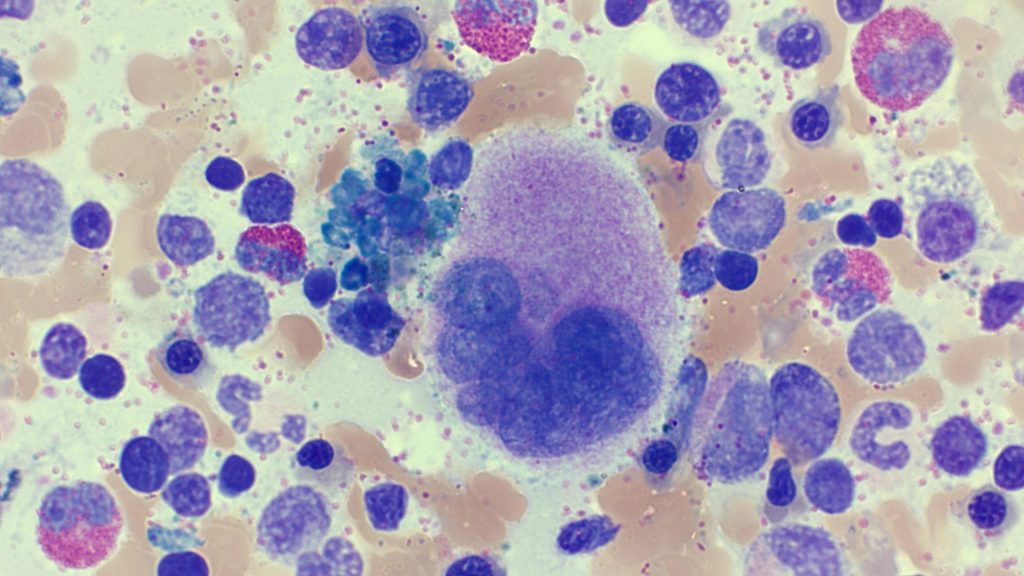
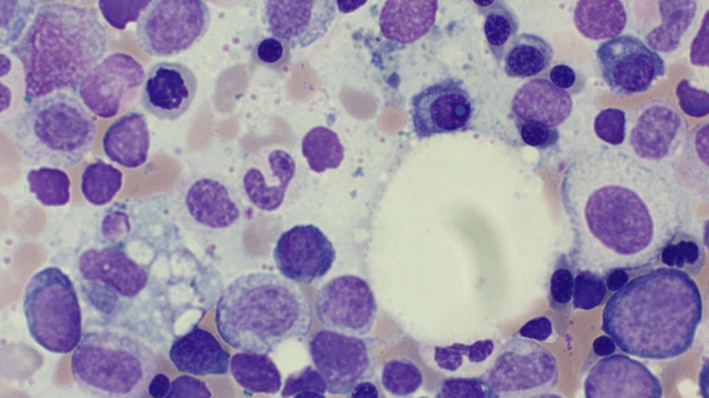
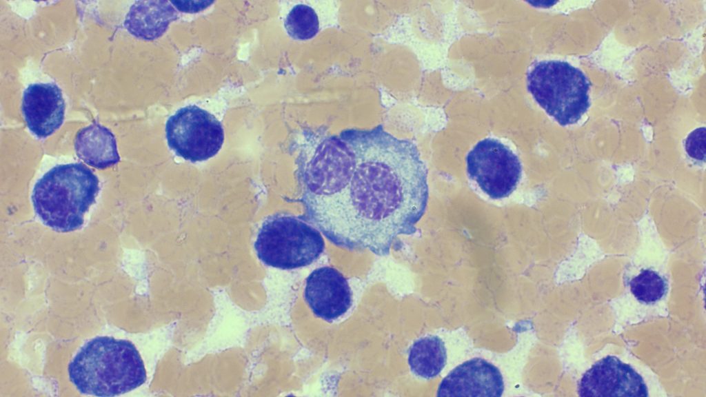
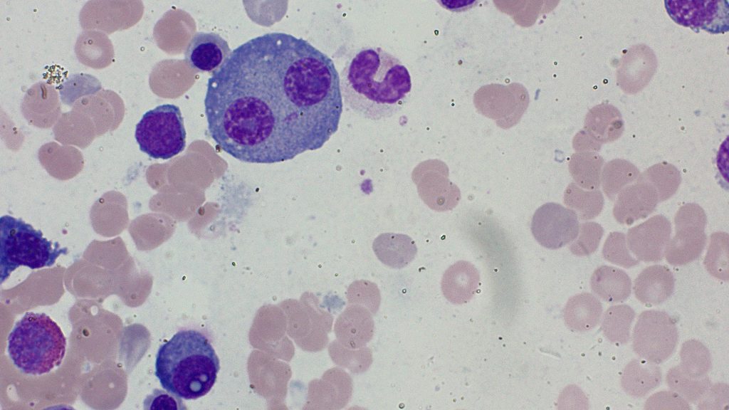
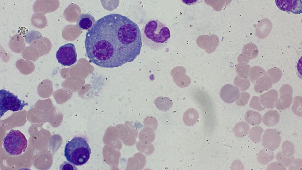
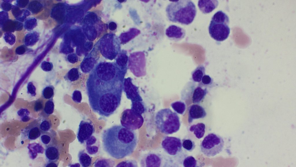
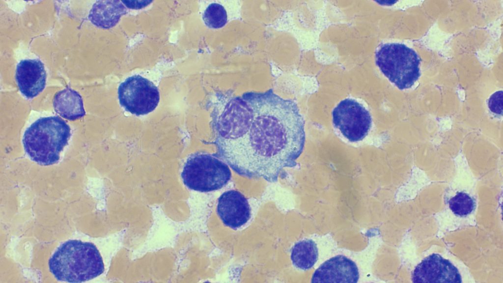
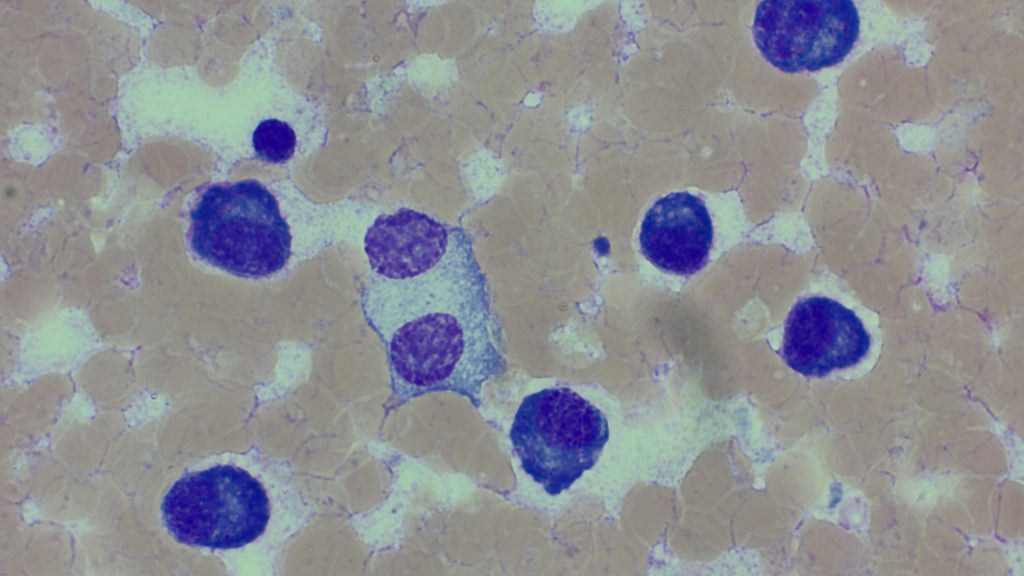
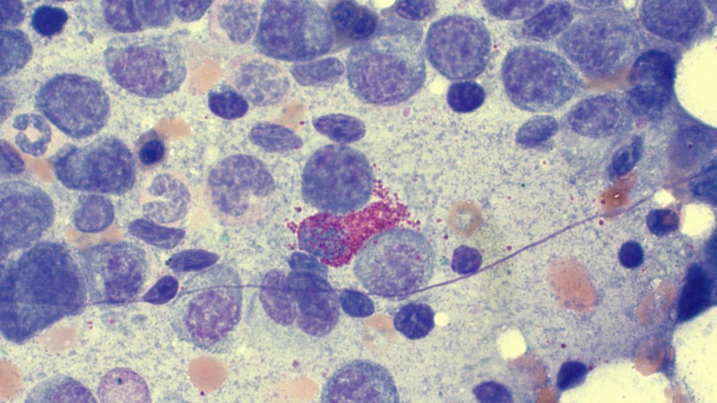
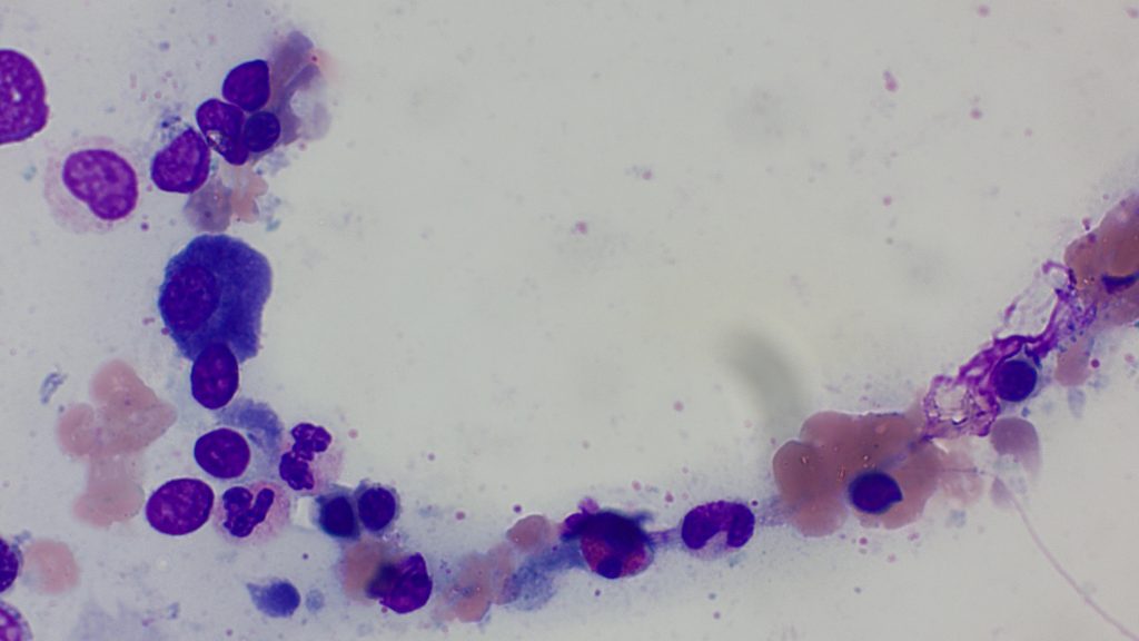
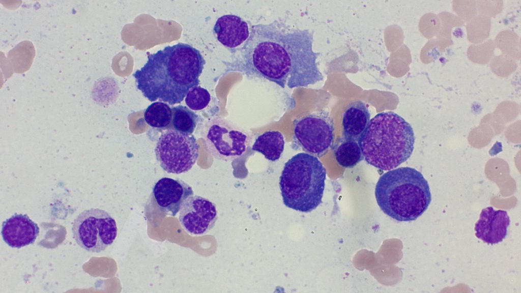
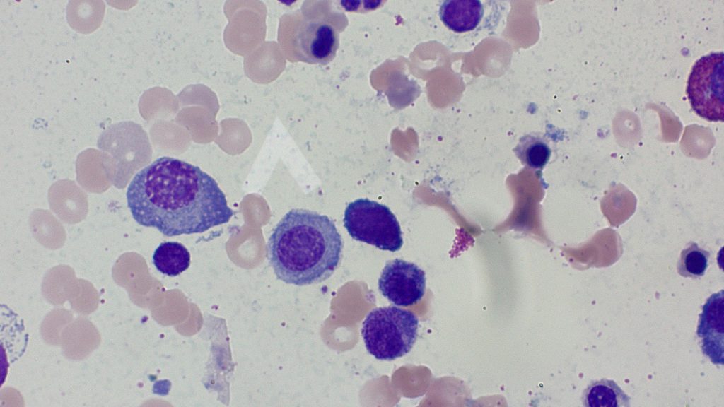
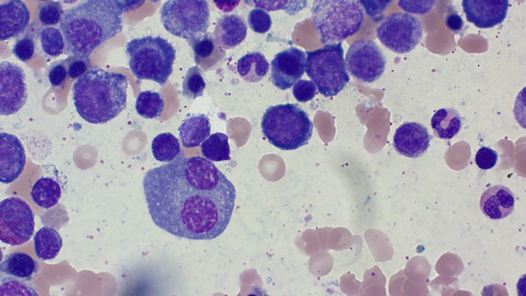
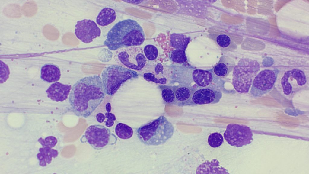
Hemophagocytosis
Click me
















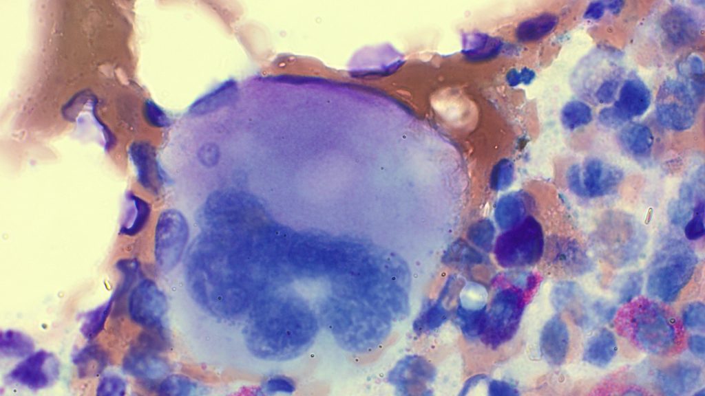
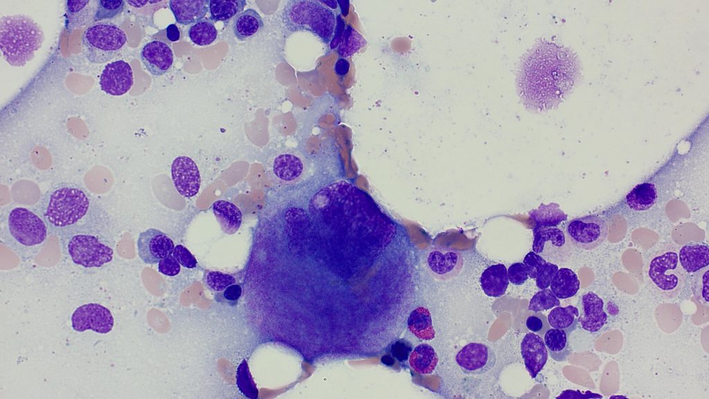
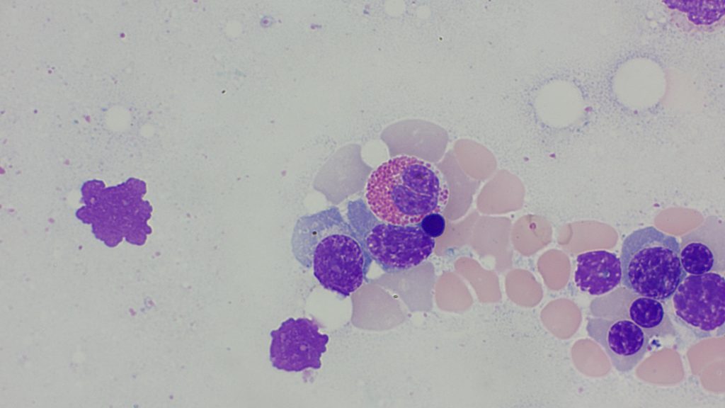
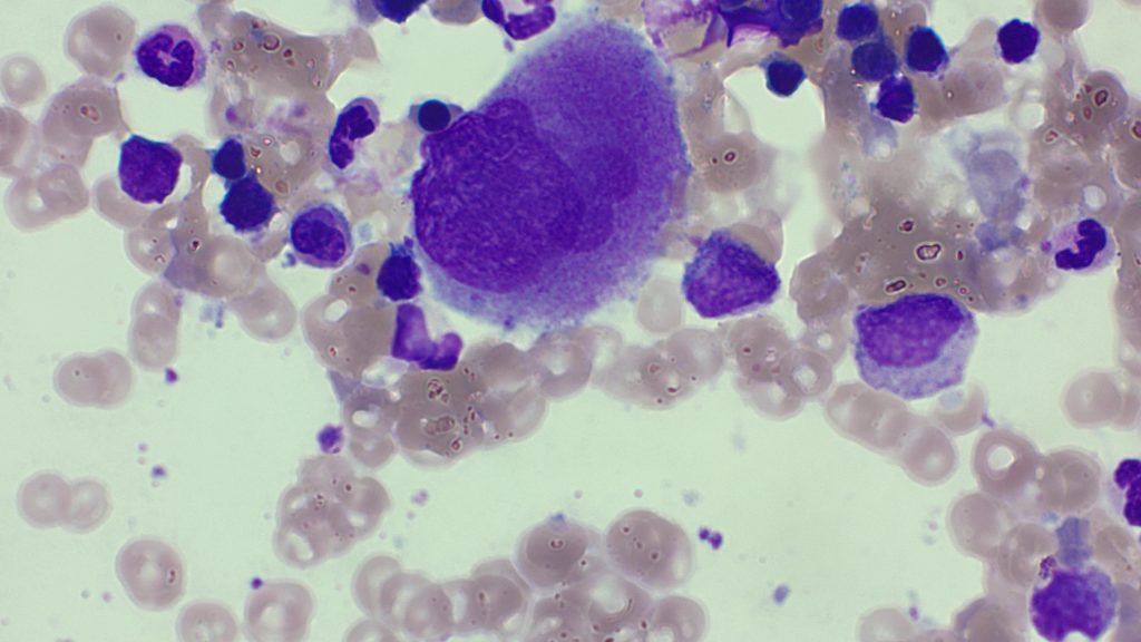
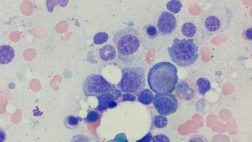
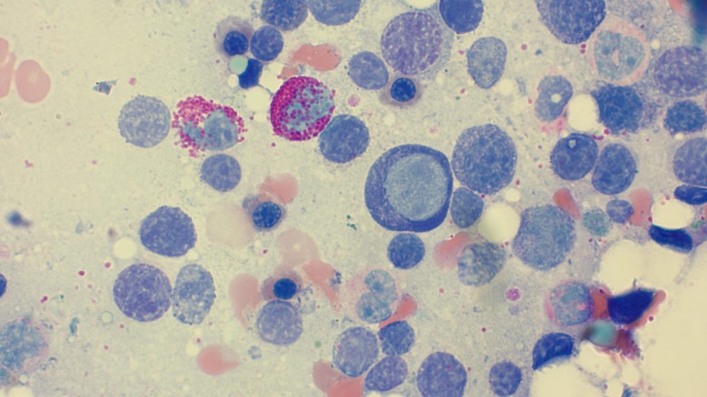
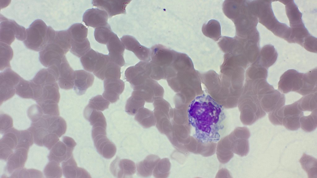
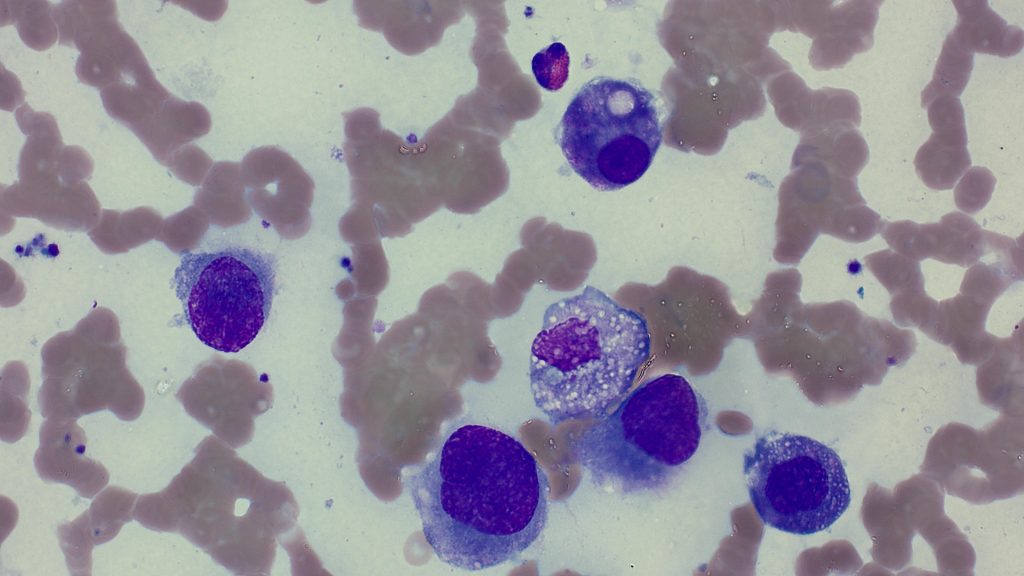
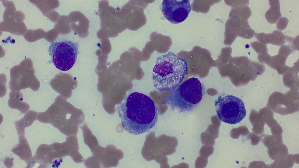
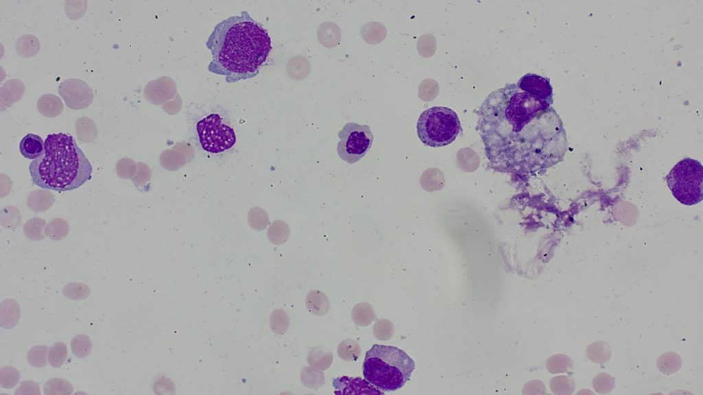
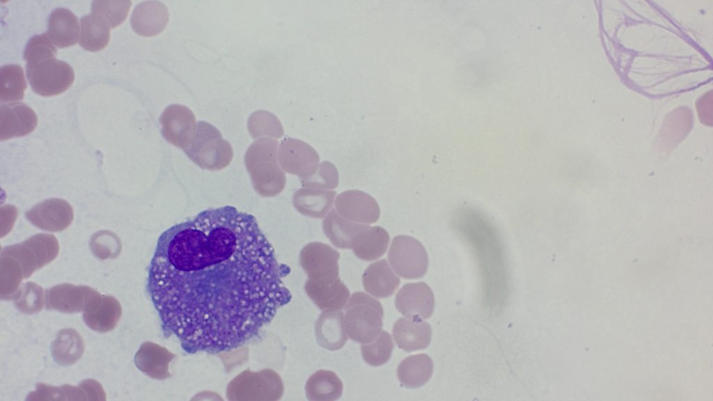
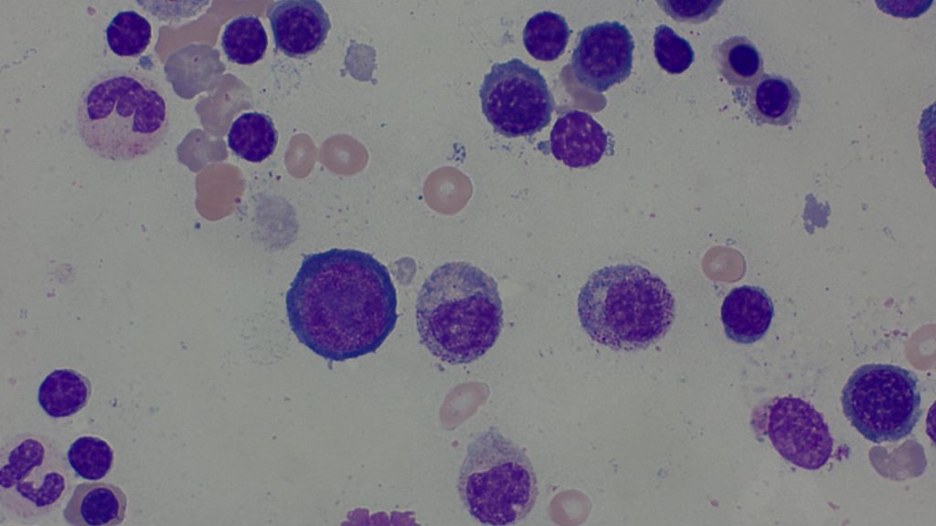
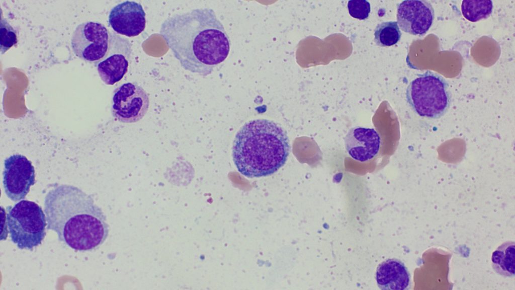
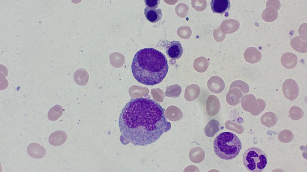
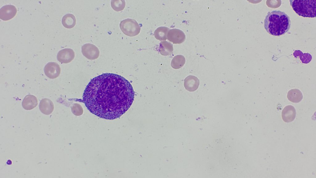
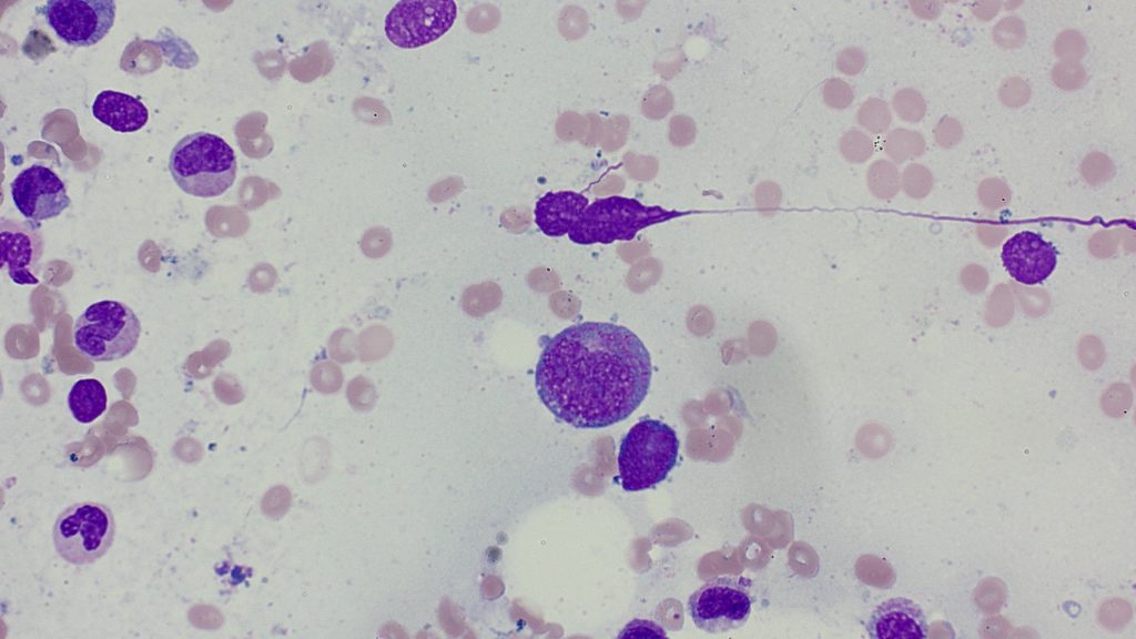
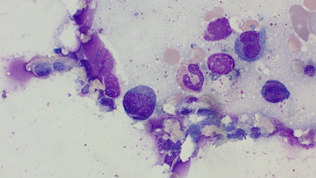
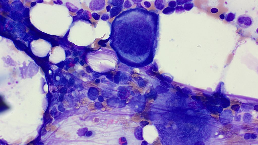
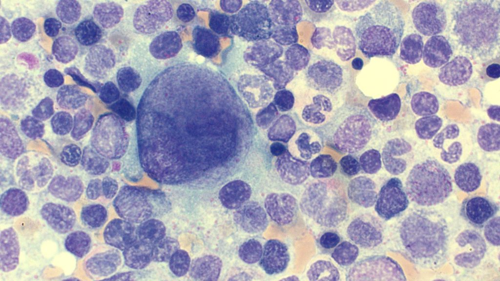
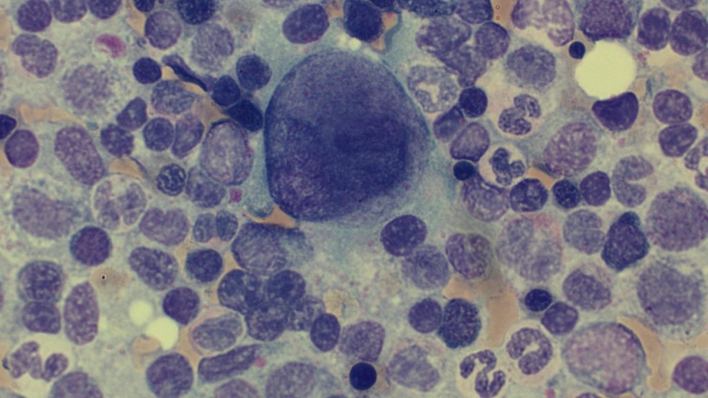
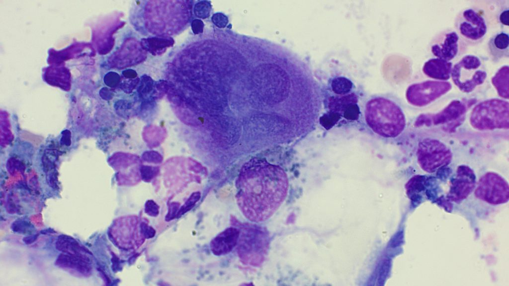
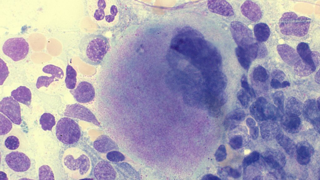
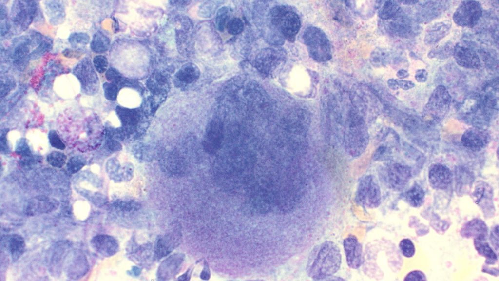
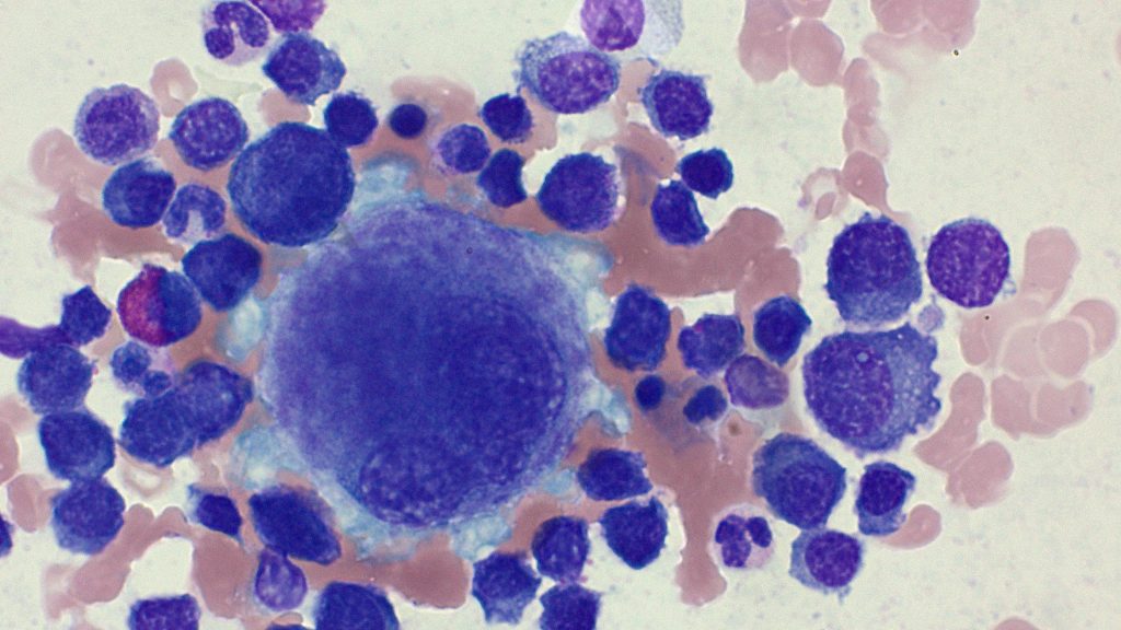
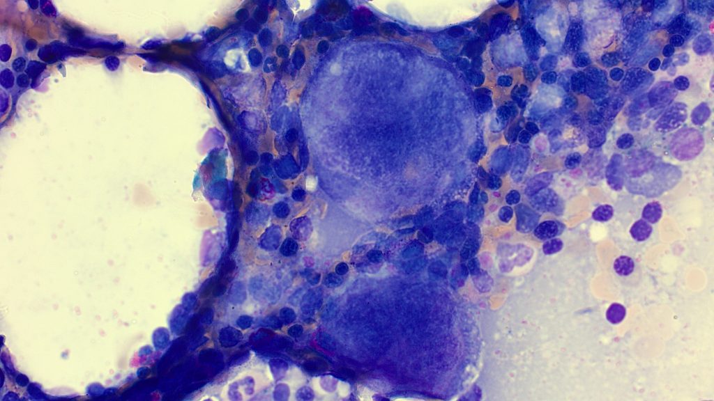
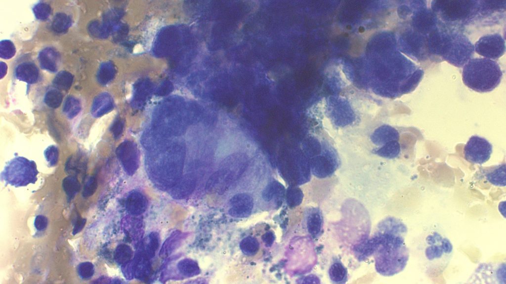
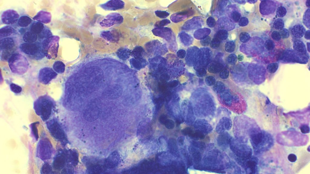
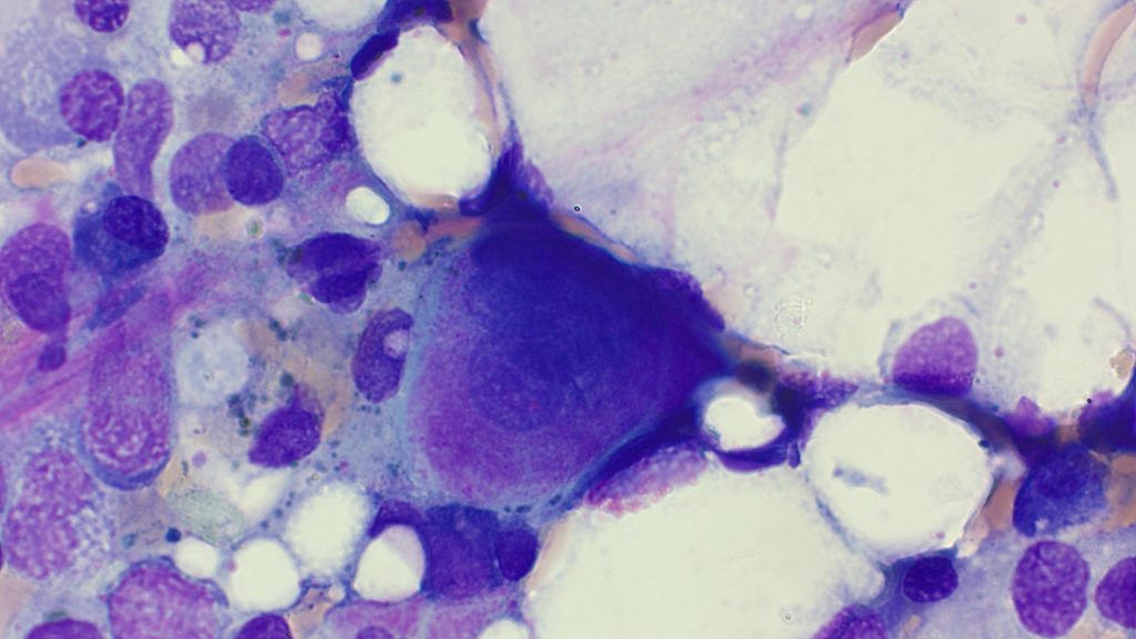
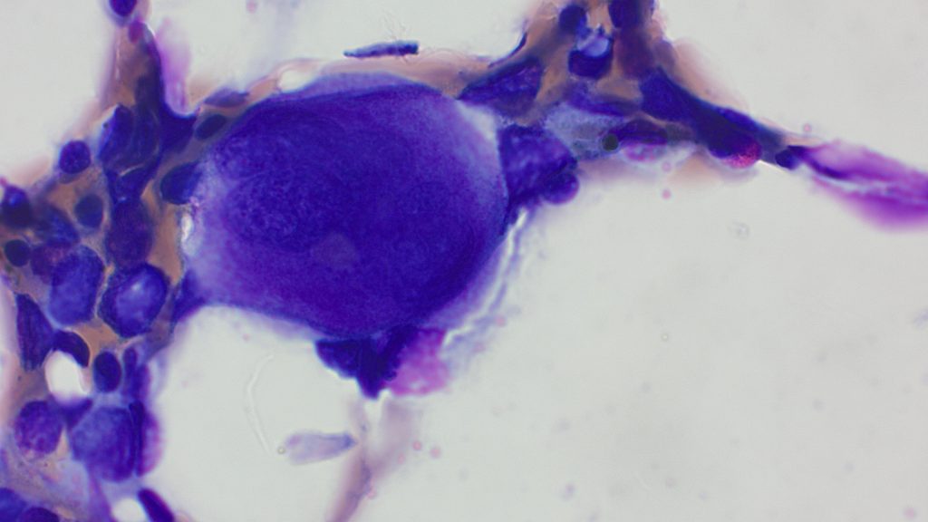
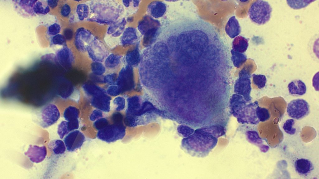
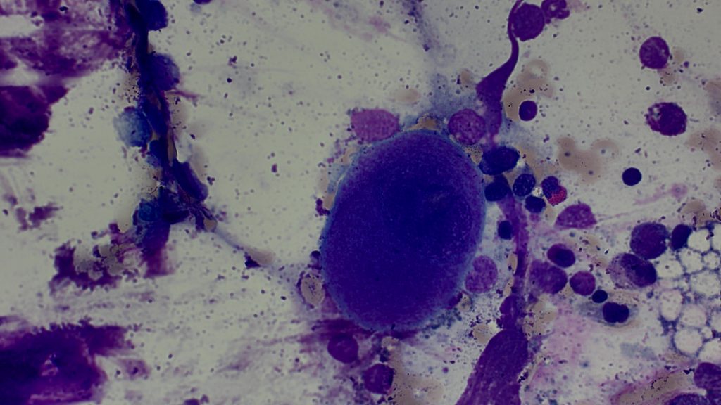
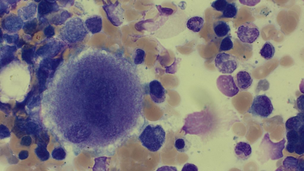
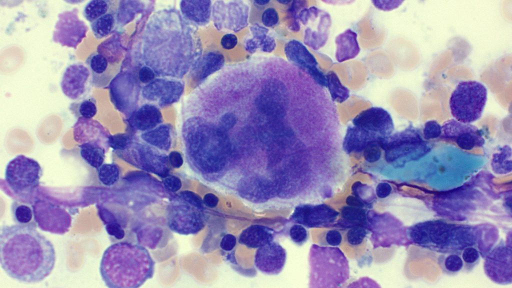
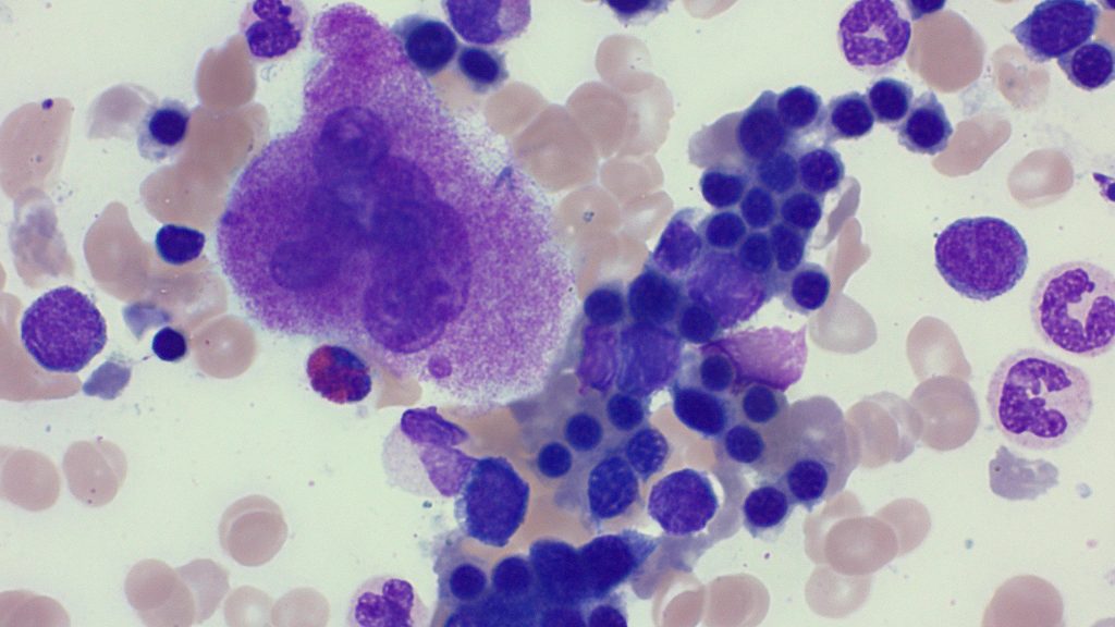
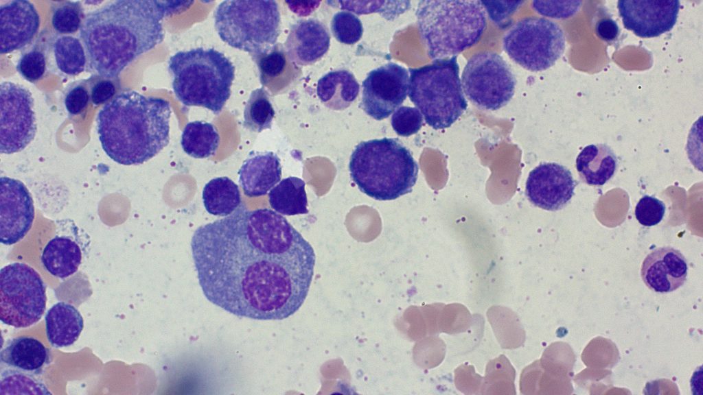
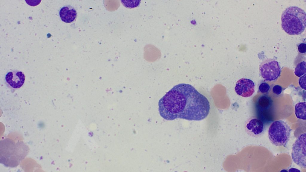
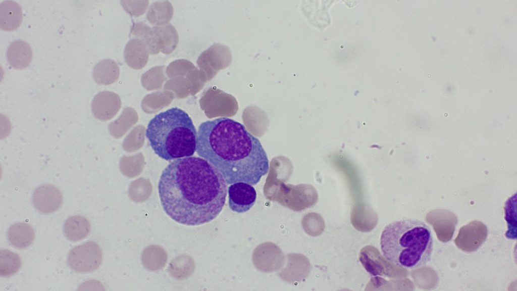
Histiocytes
Click me





























































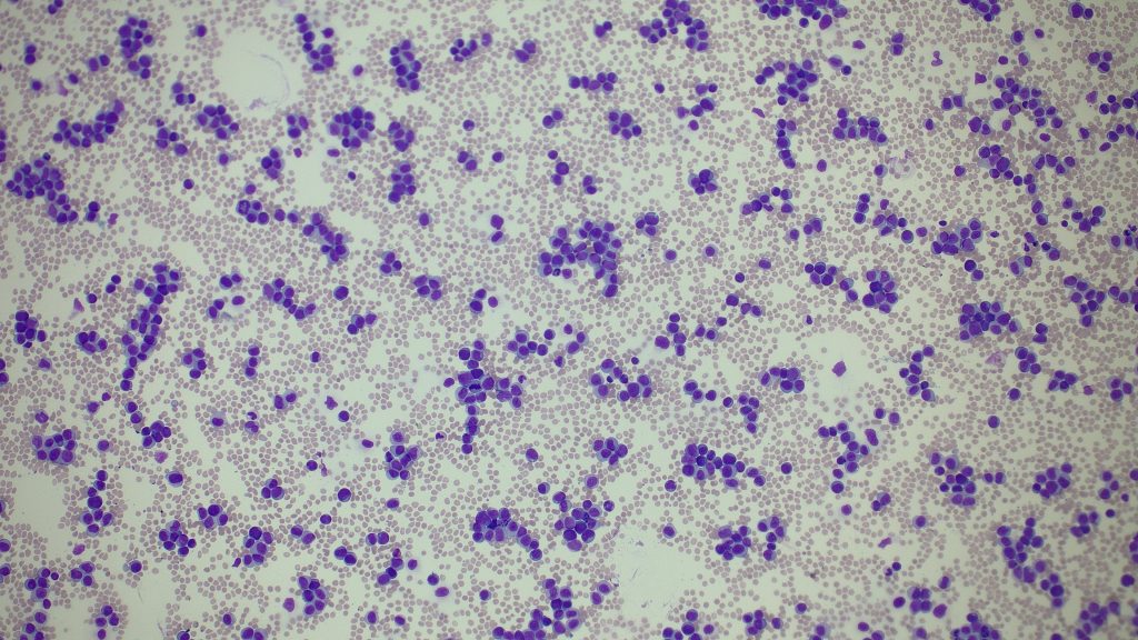
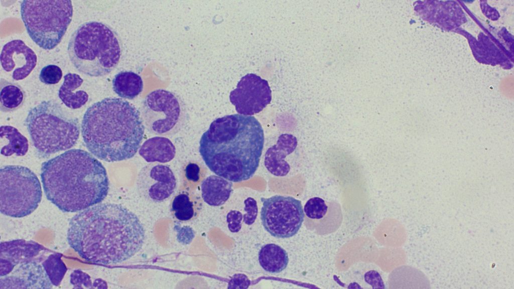
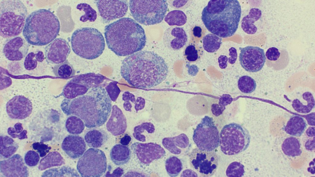
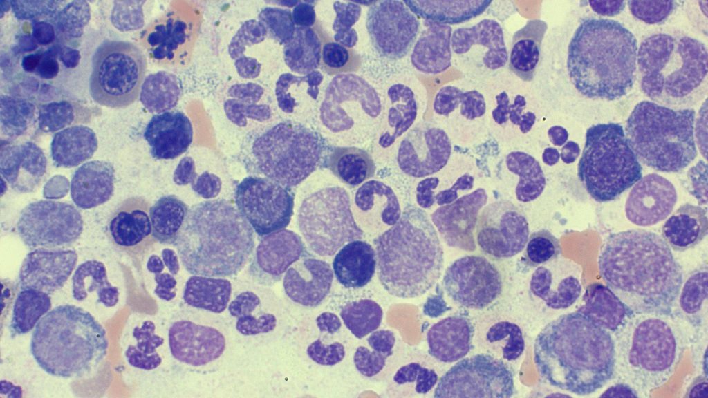
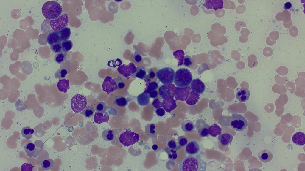
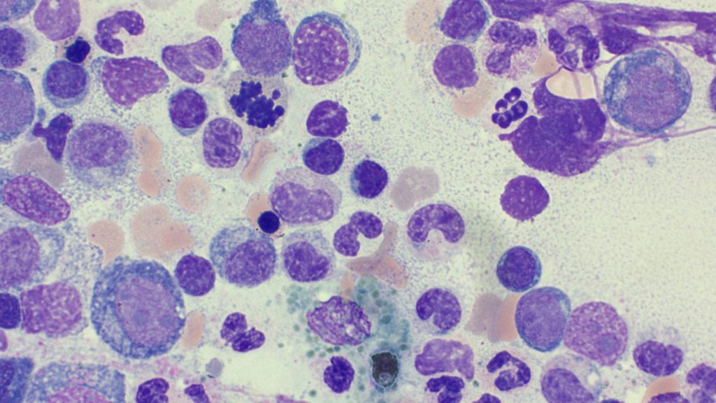
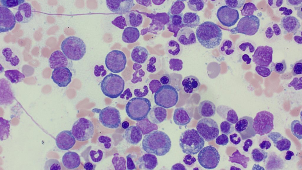
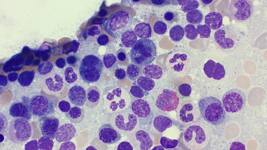
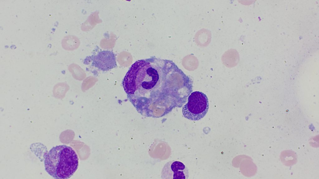
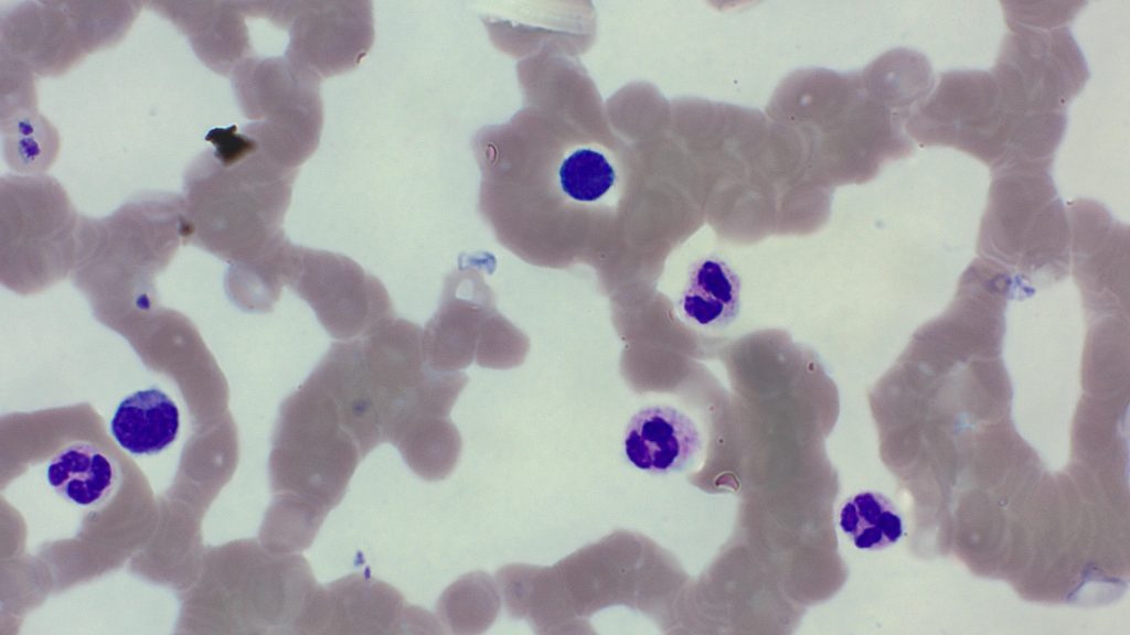
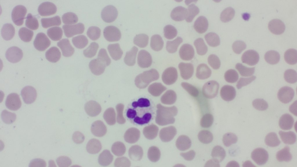
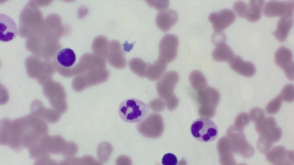
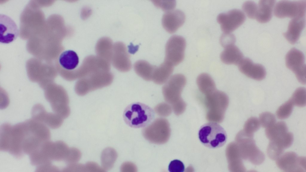
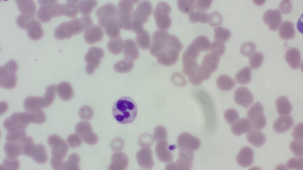
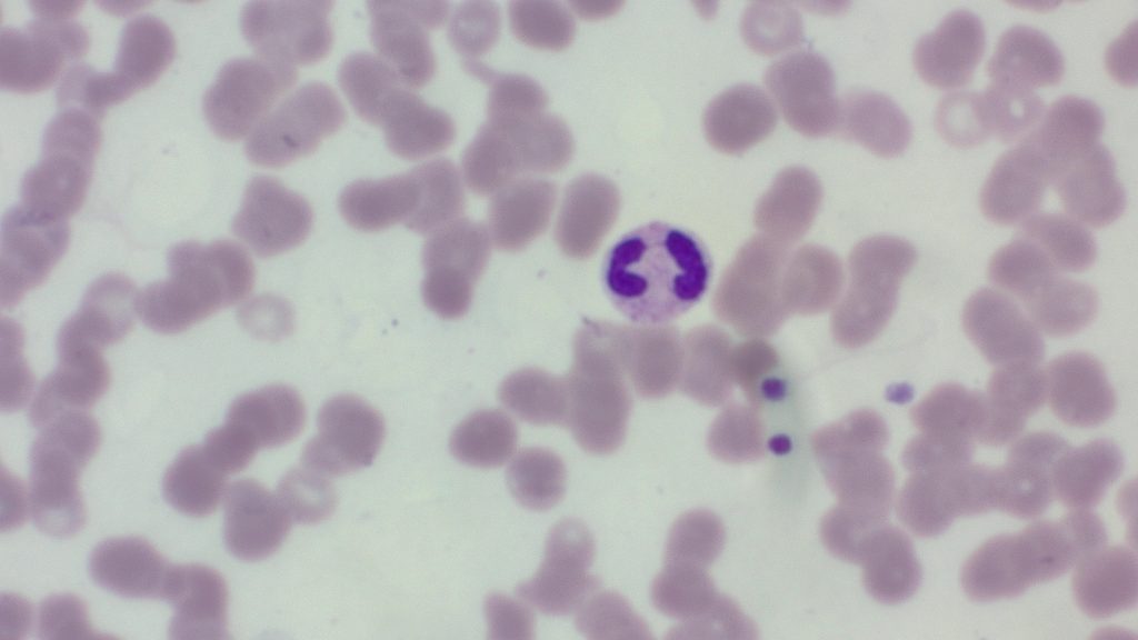
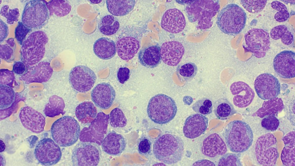
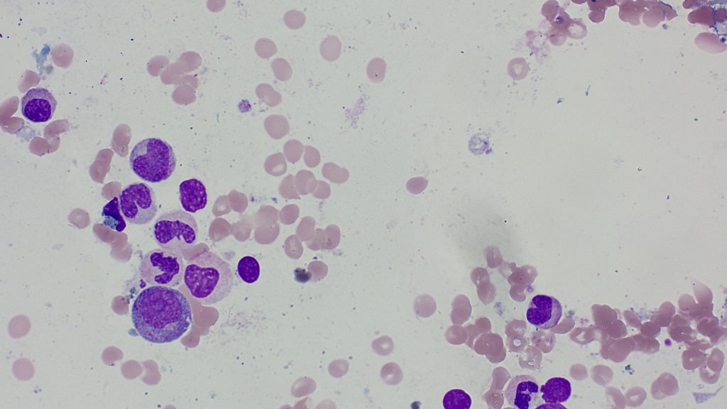
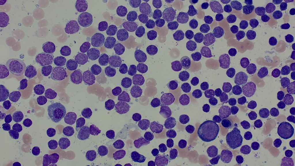
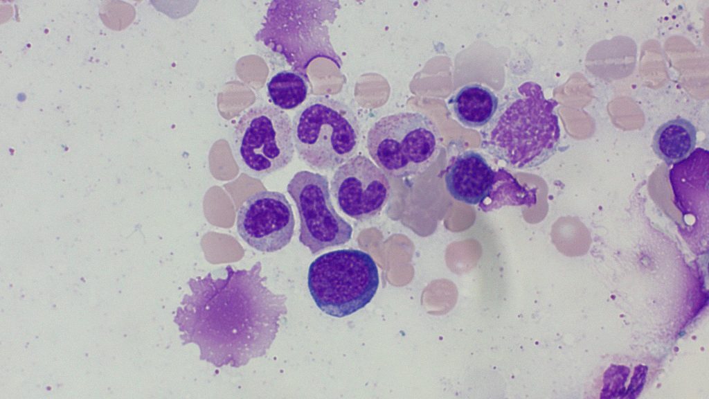
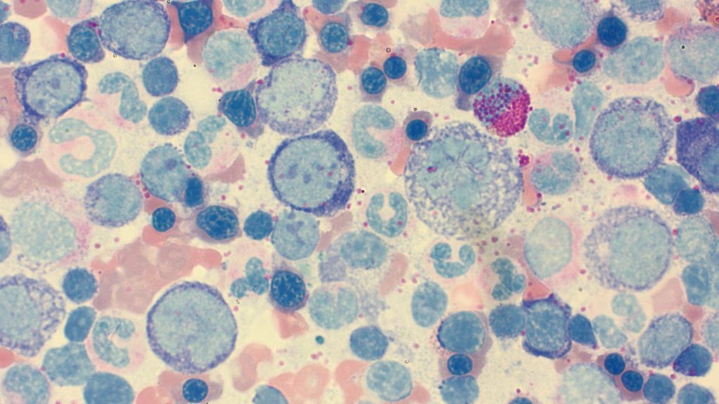
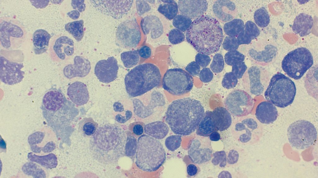
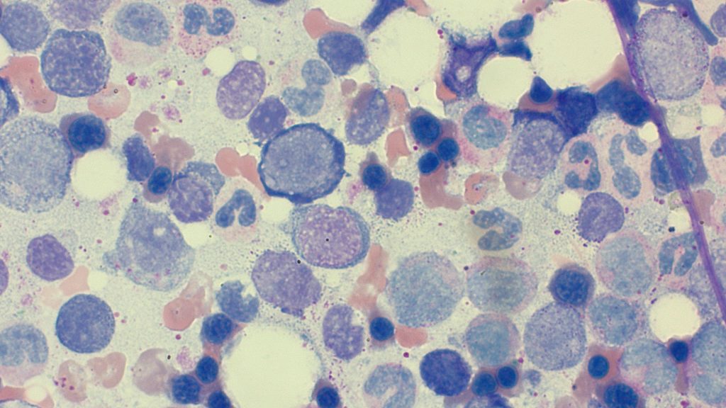
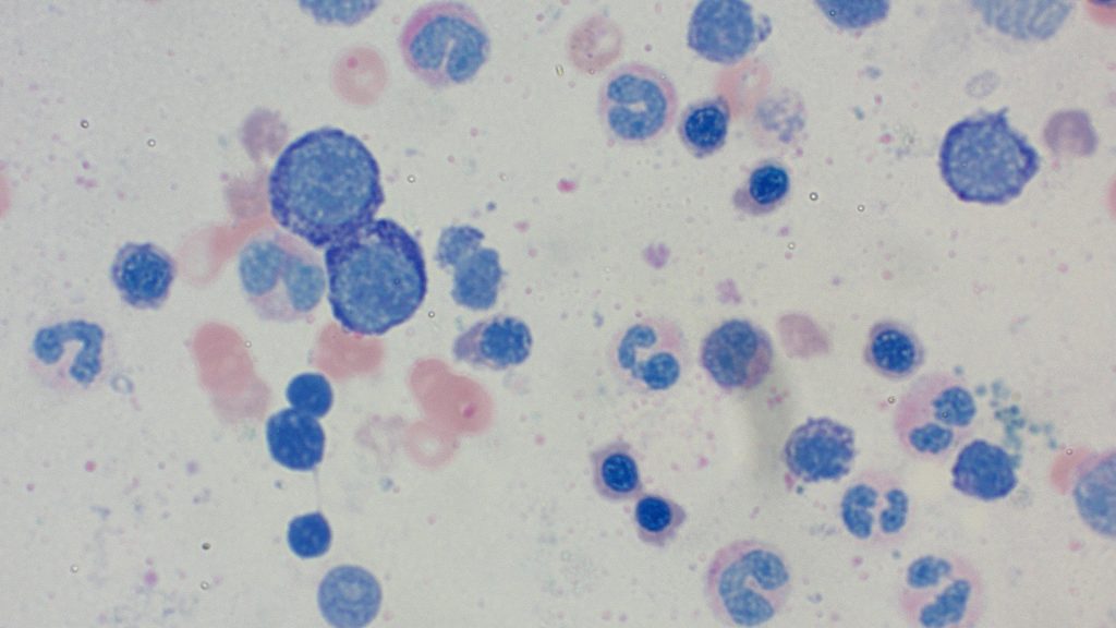
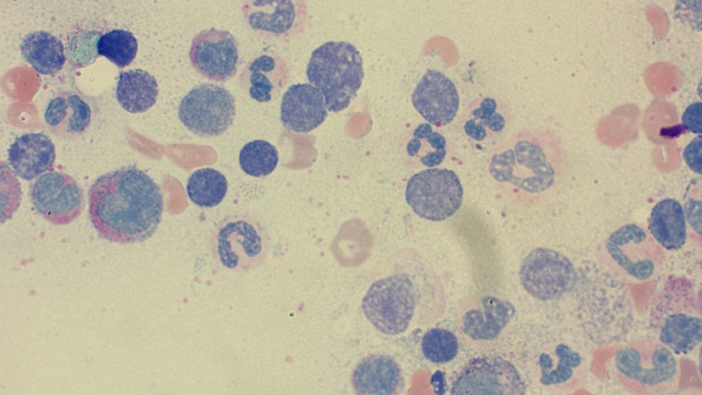
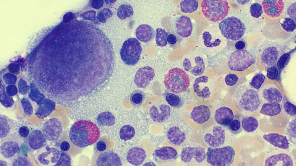
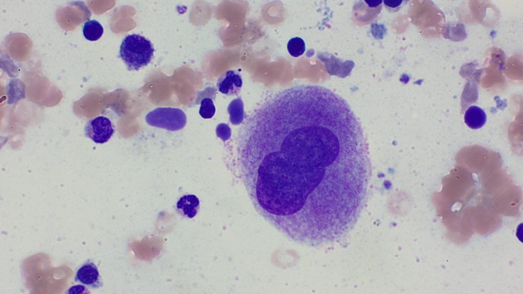
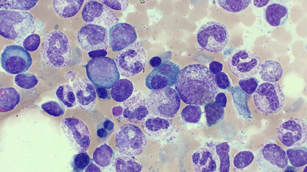
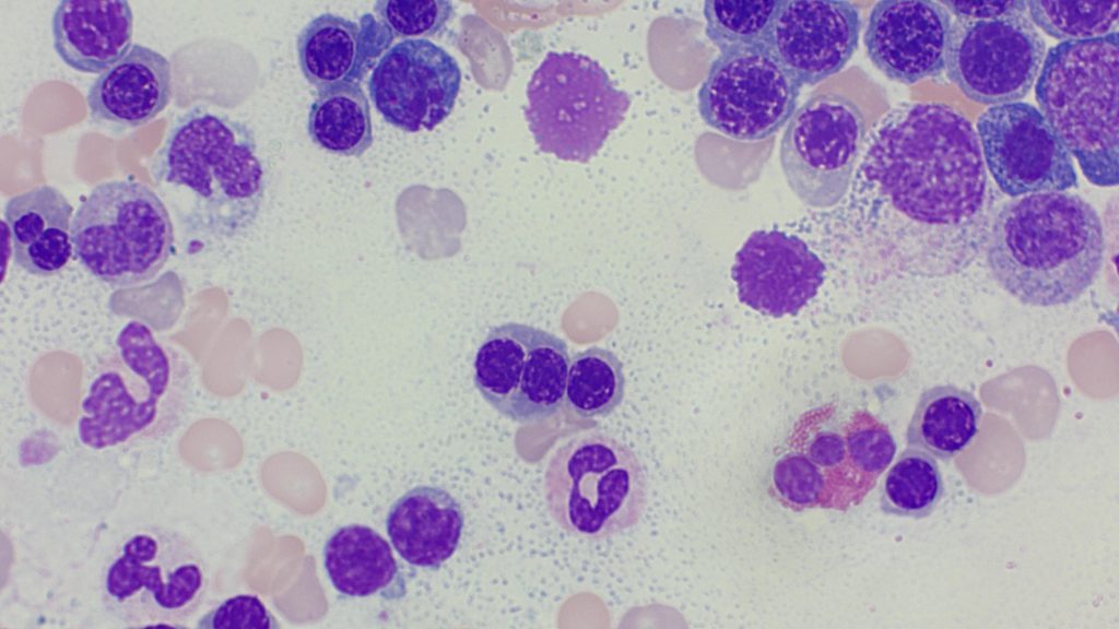
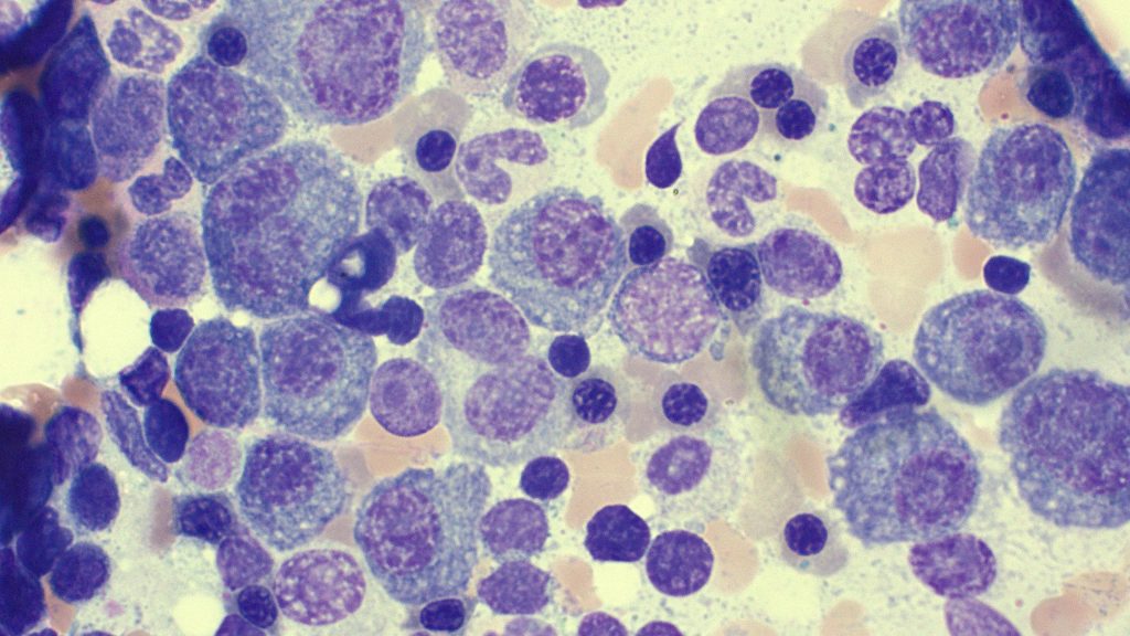
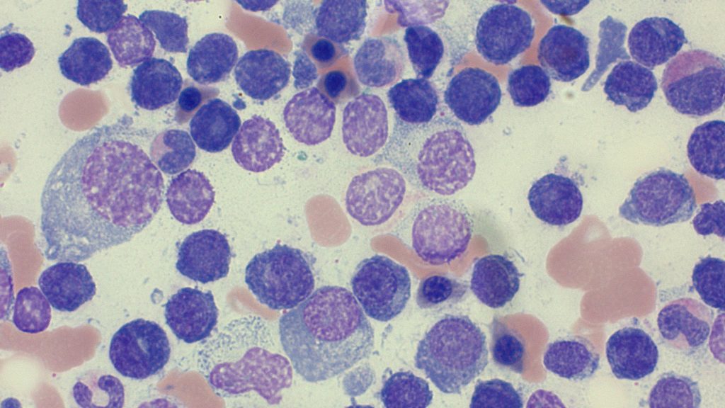
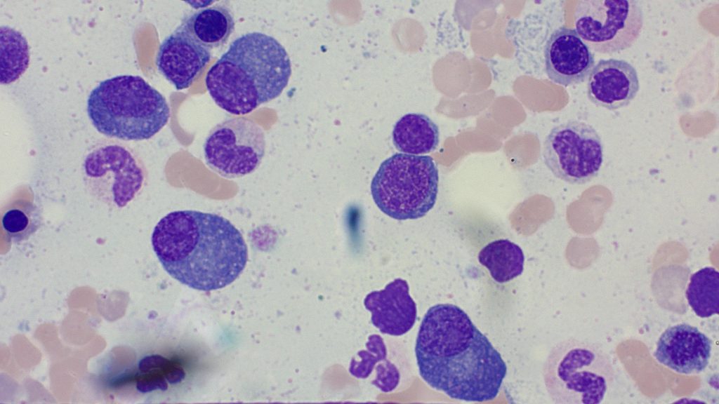
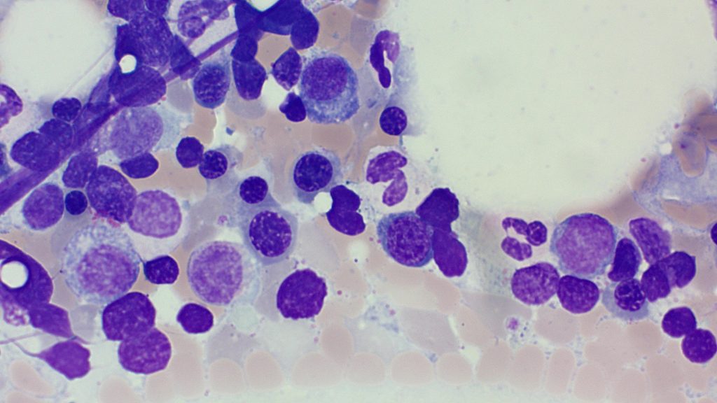
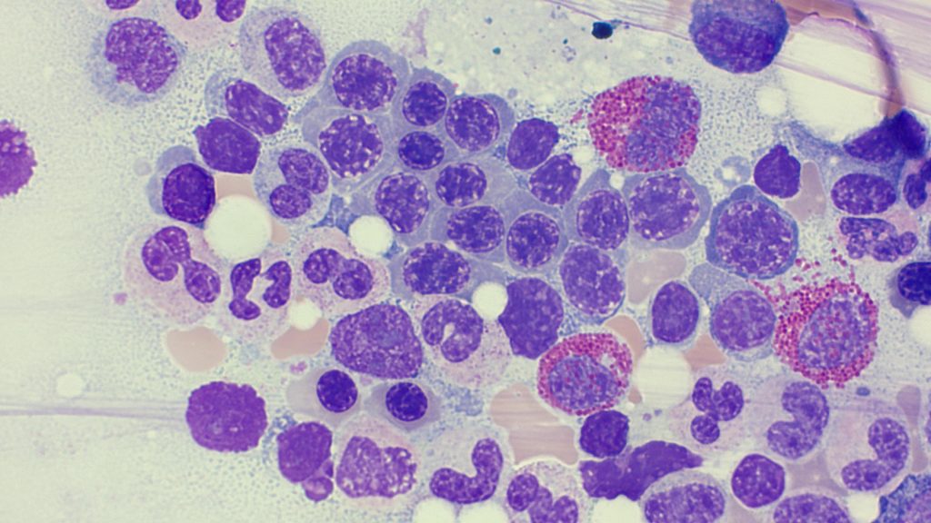
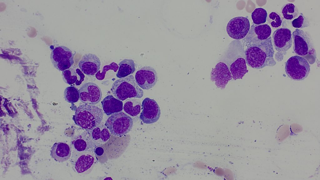
Leukocytes
Band

Metamyelocyte





Myeloblast














































Neutrophils


Promyelocyte












































Band
Click me





























Metamyelocyte
Click me

































































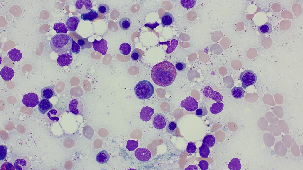
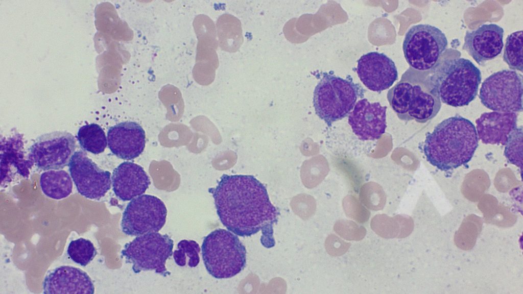
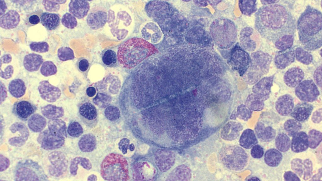
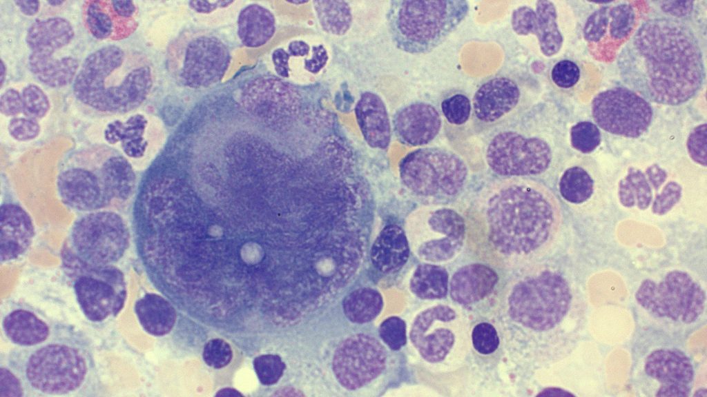
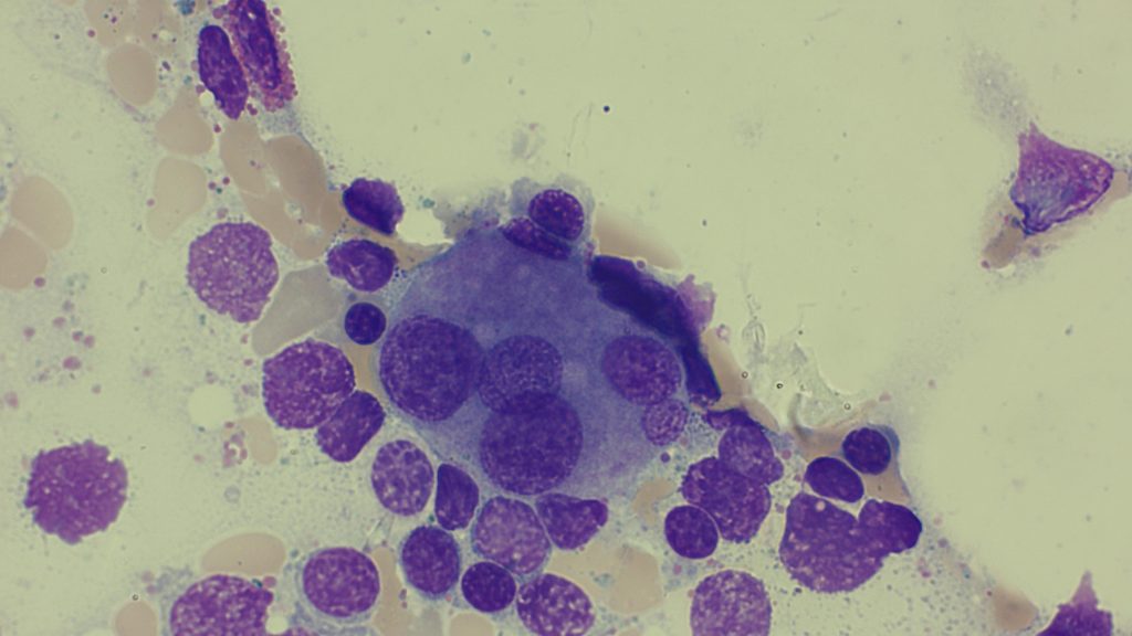
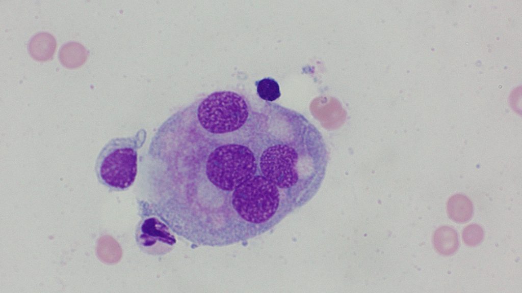
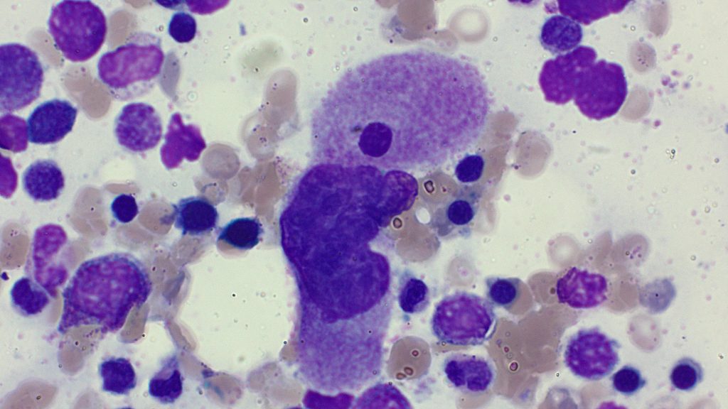
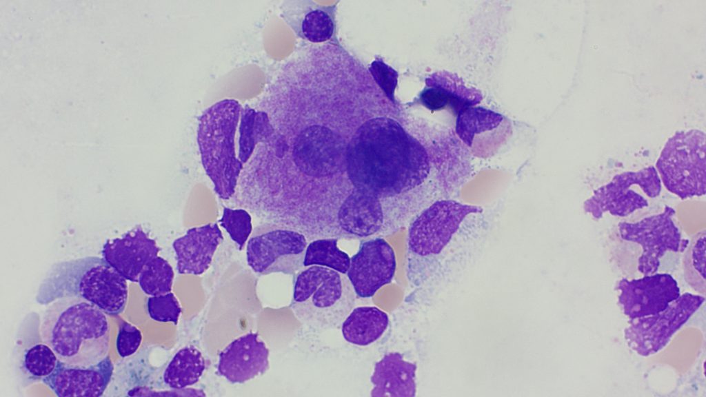
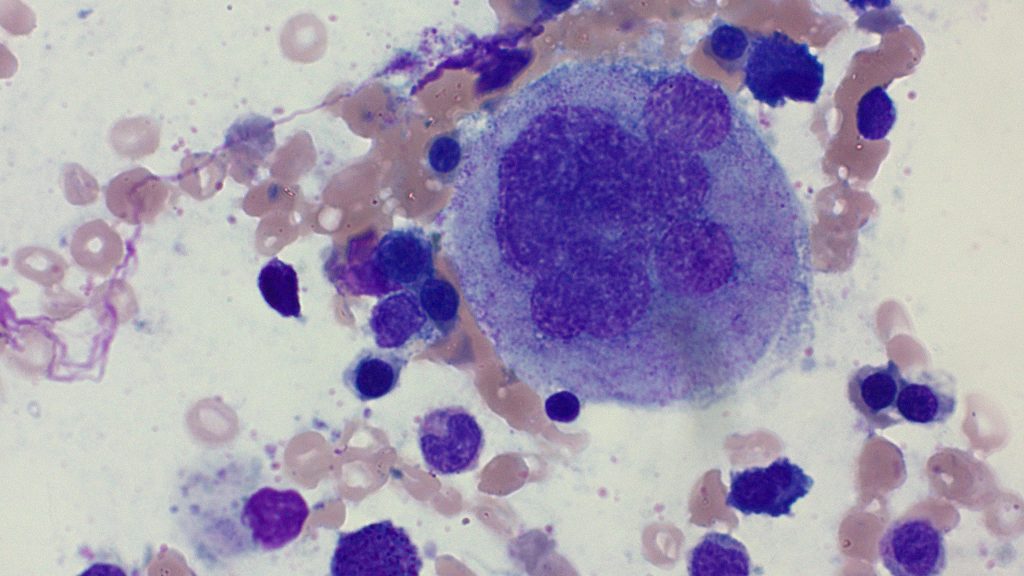
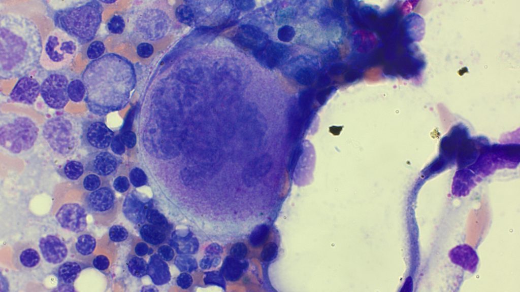
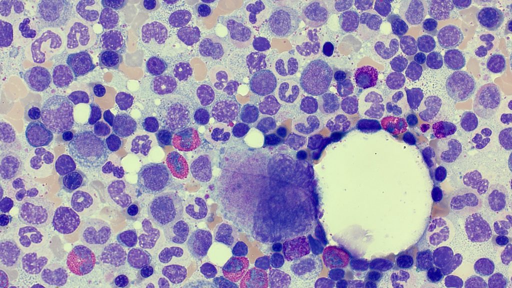
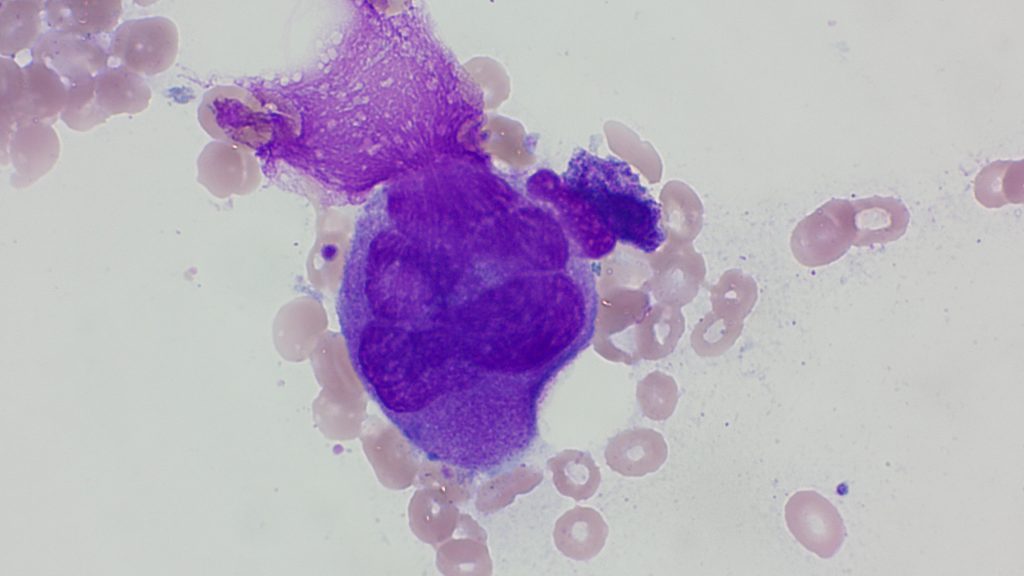
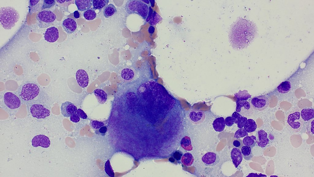
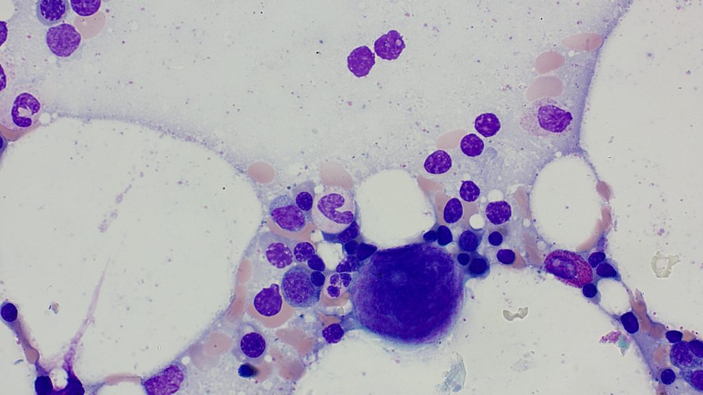
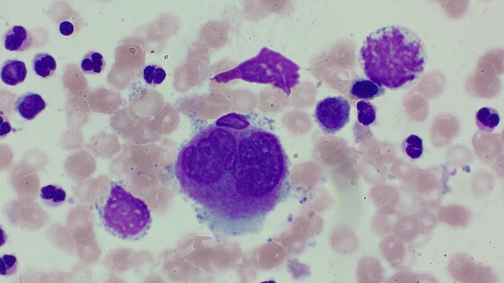
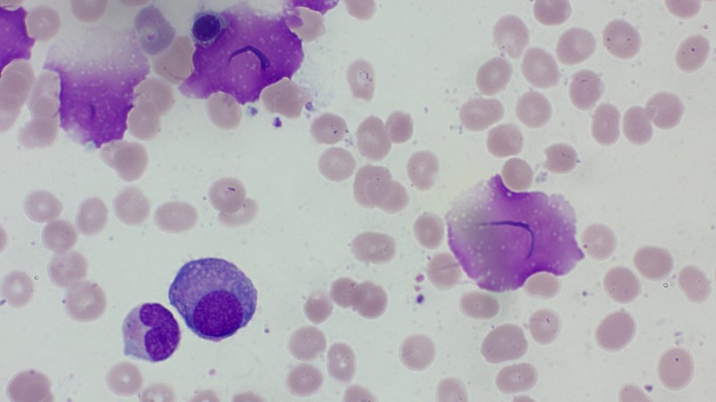
Megakaryocytes
Abnormal cytoplasm















Micromegakaryocytes

























Separated nuclei









Hypolobated nuclei























More…















































































































































































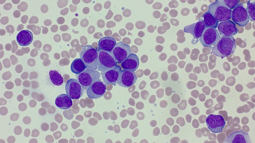
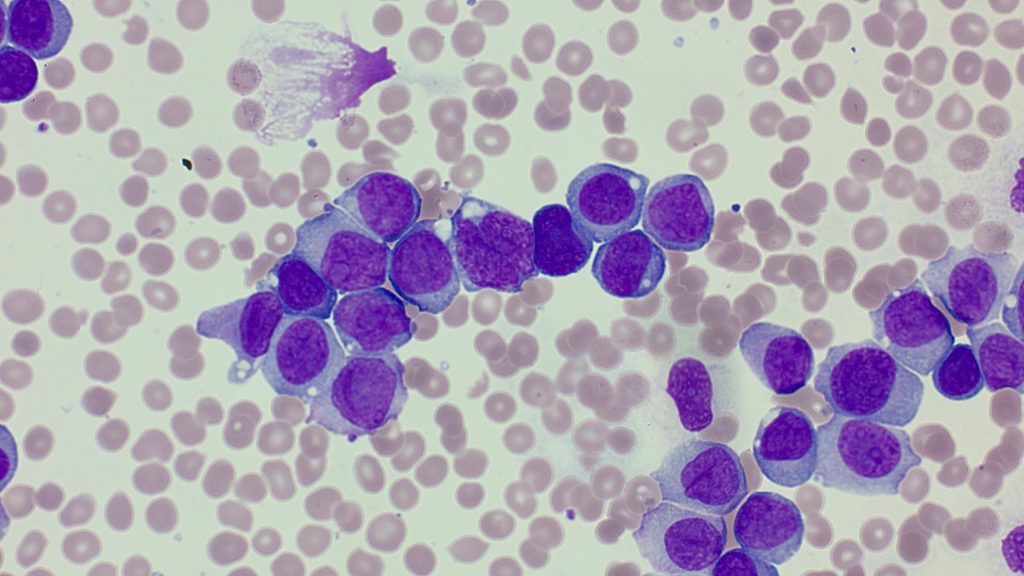
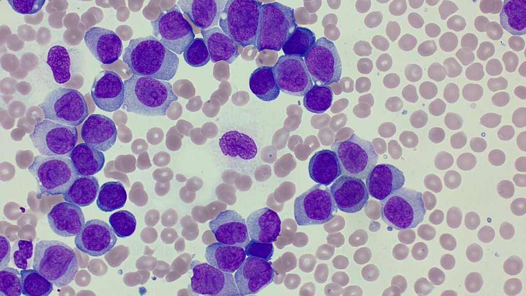
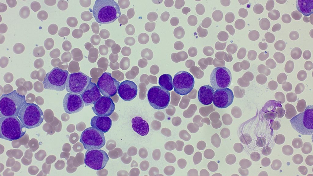
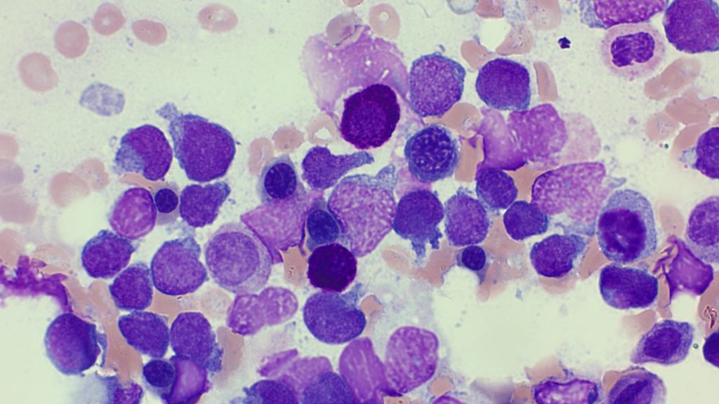
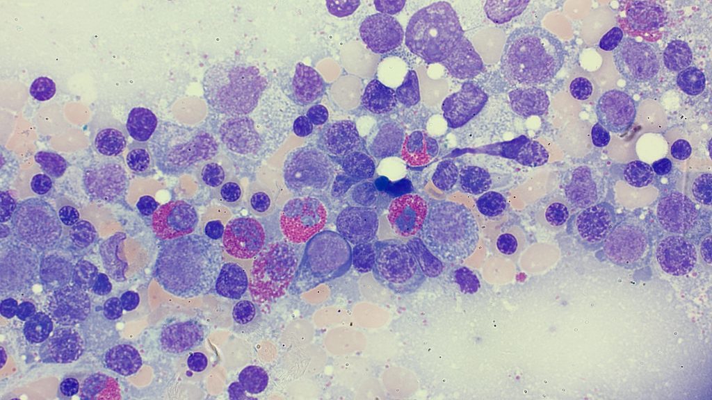
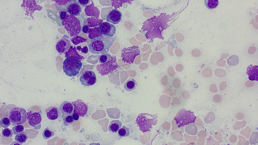
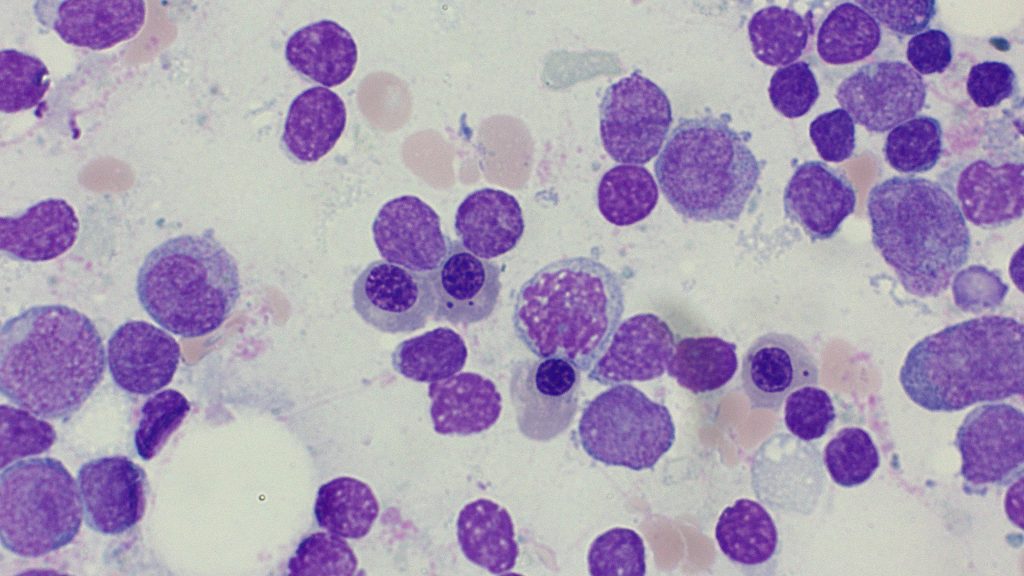
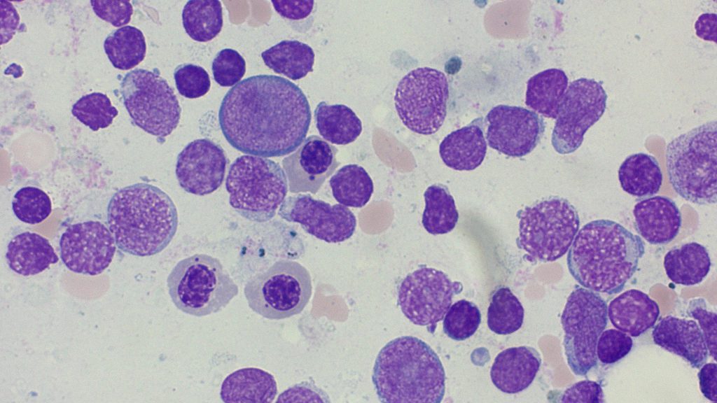
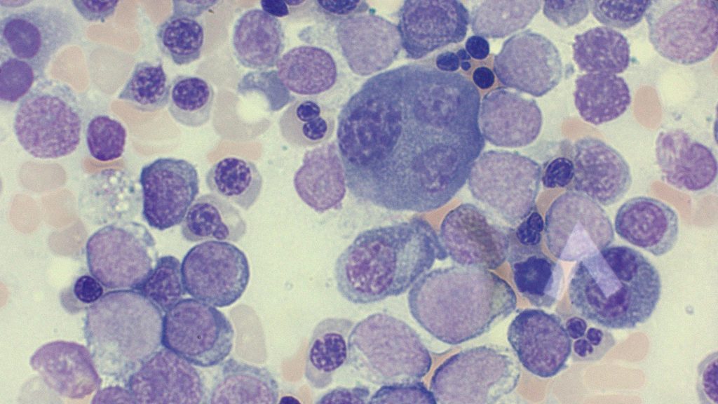
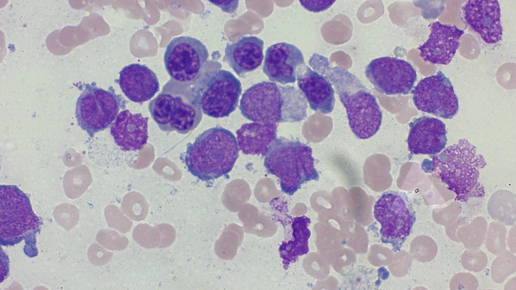
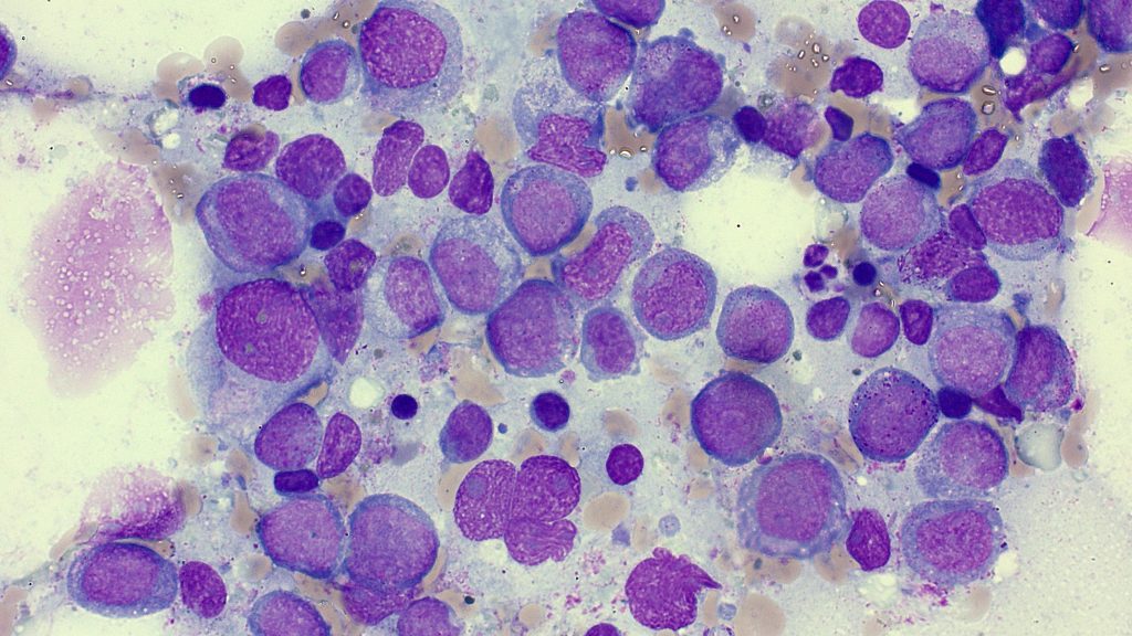
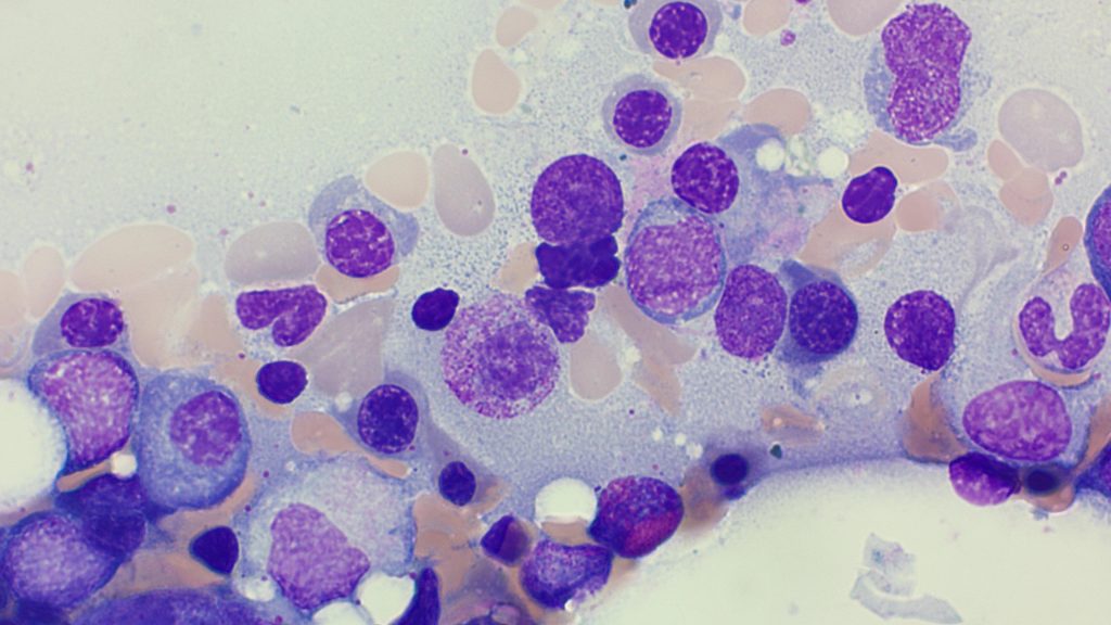
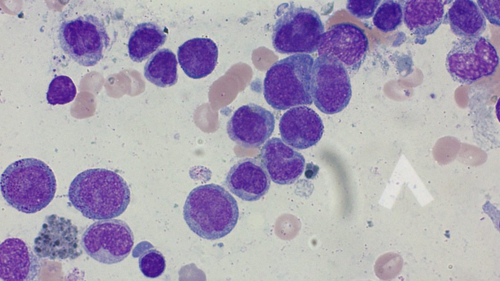
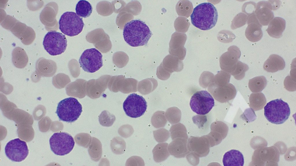
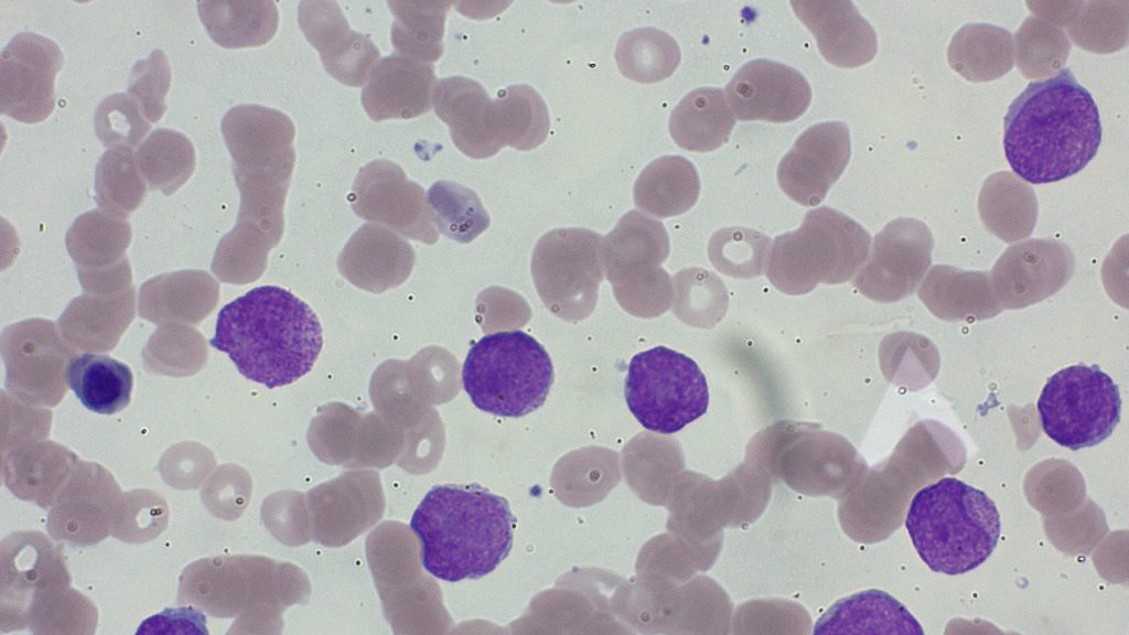
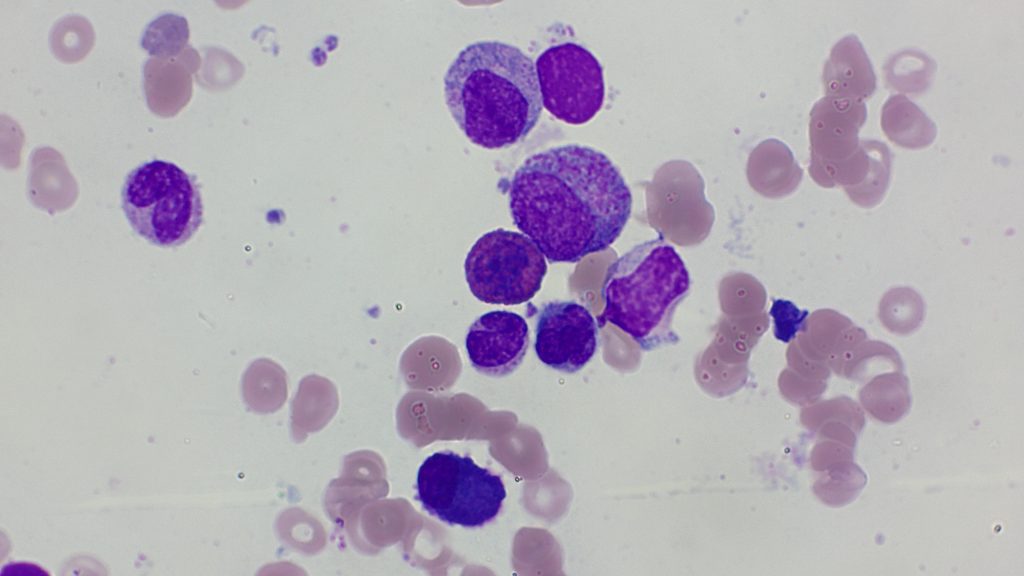
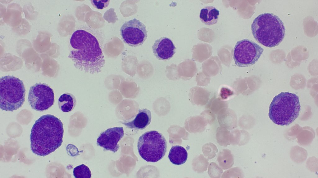
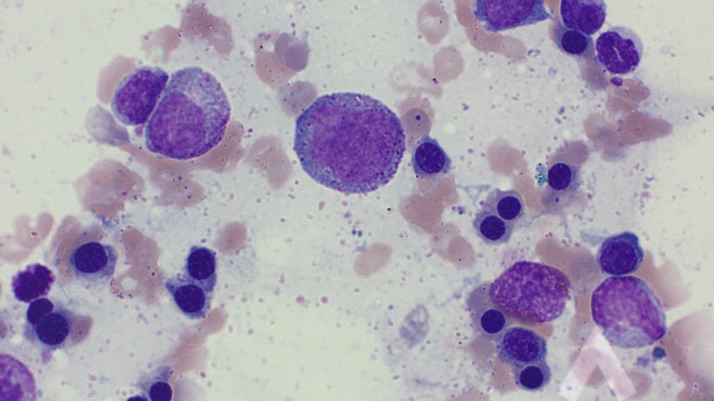
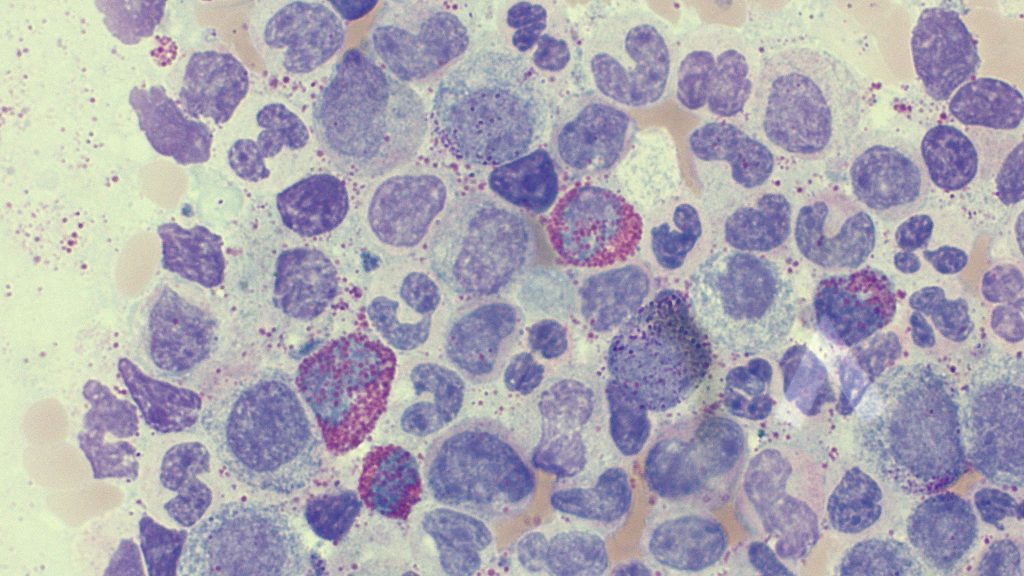
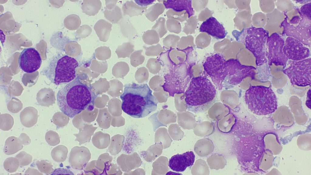
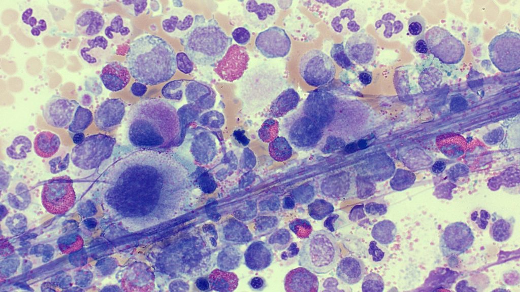
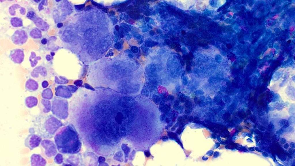
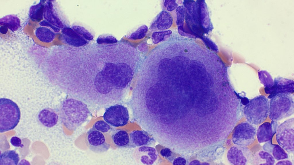
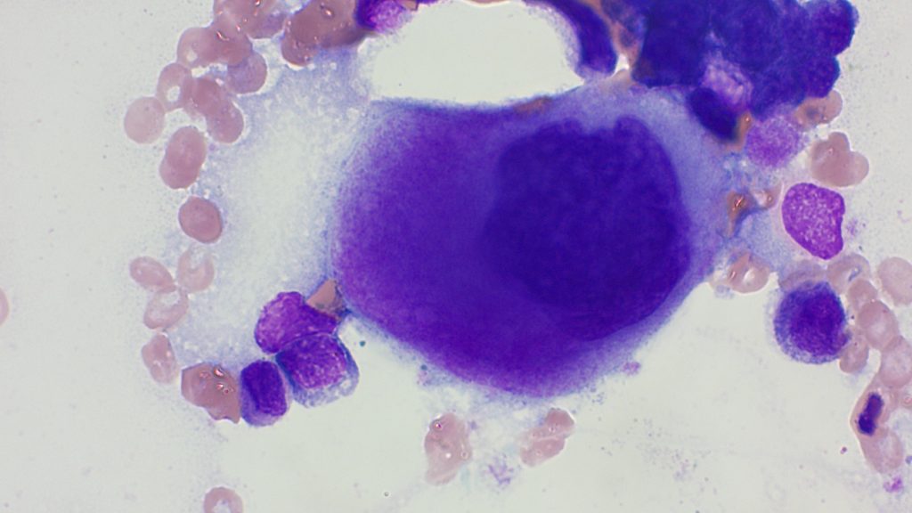
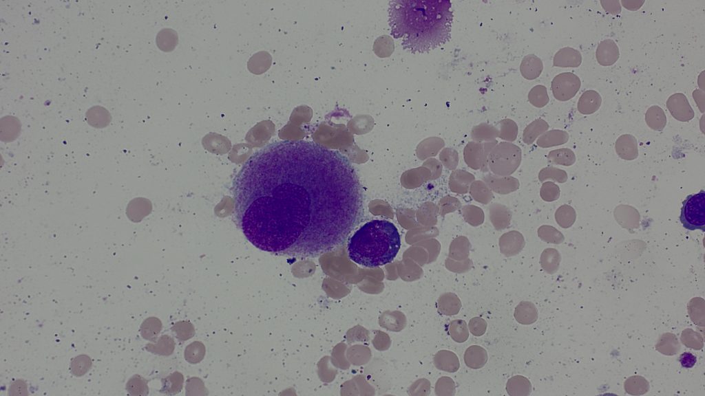
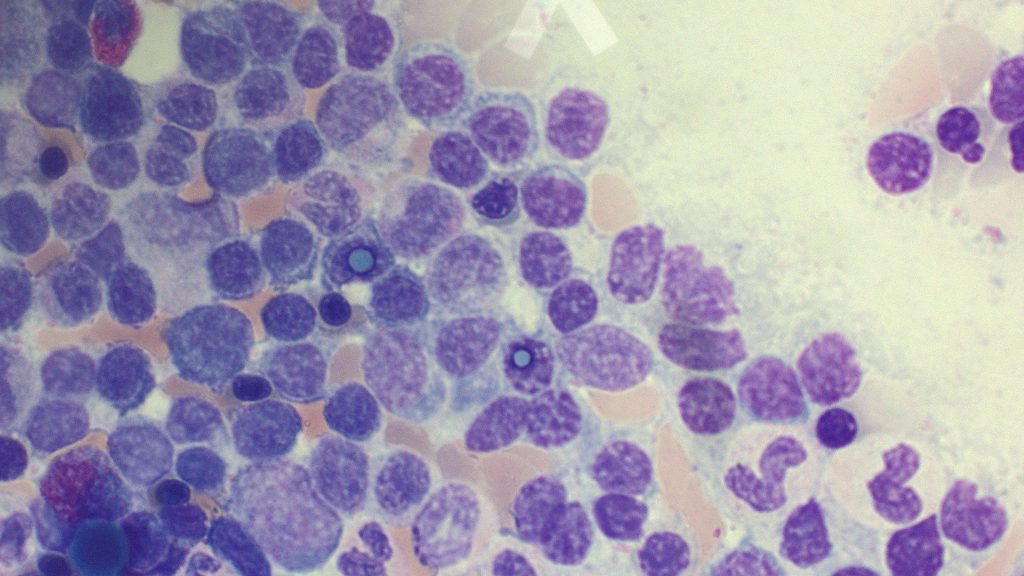
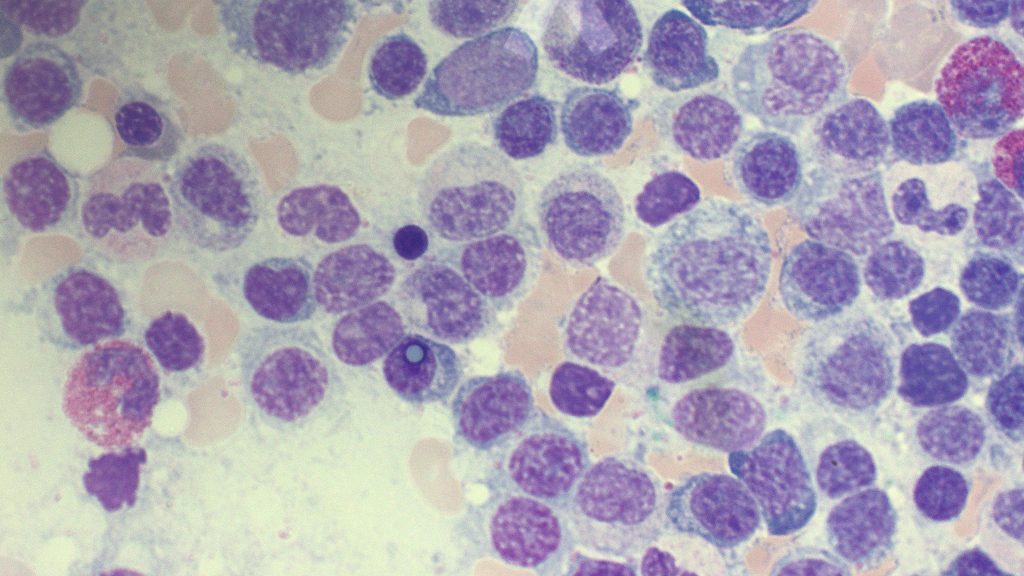
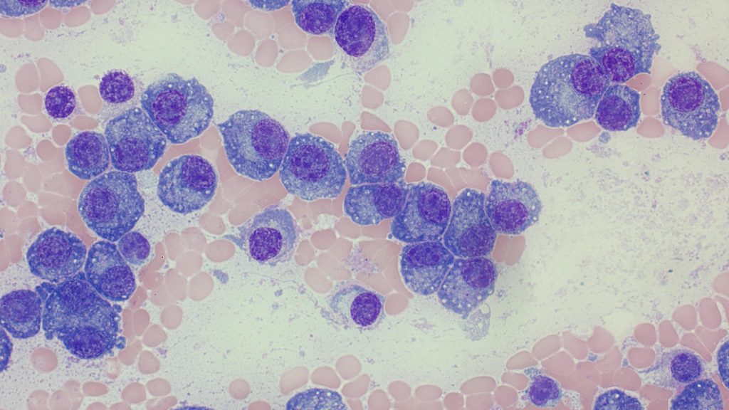
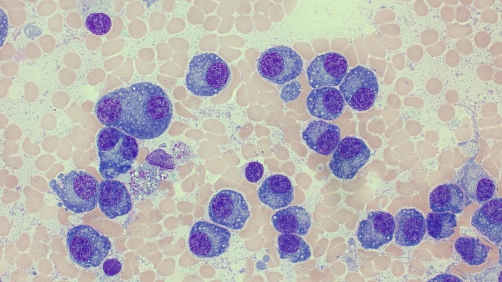
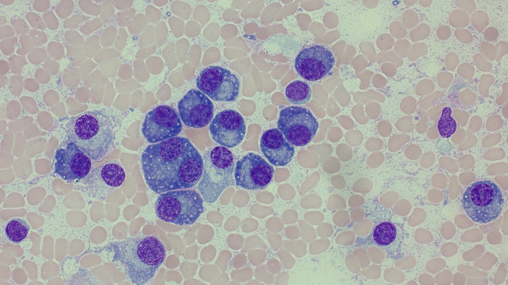
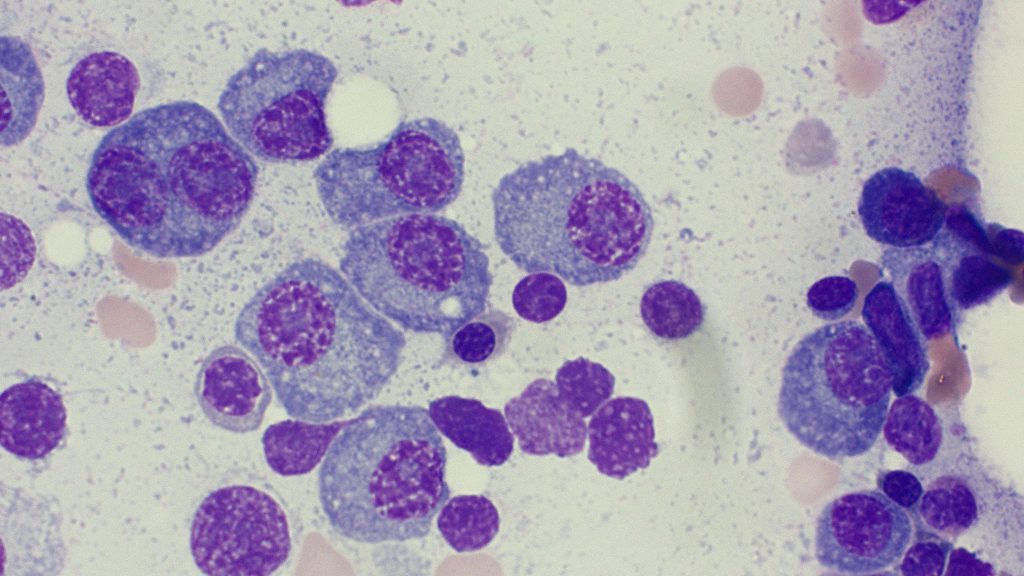
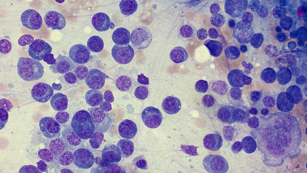
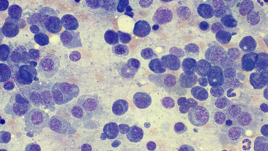
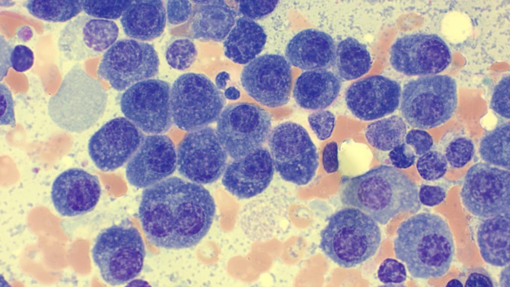
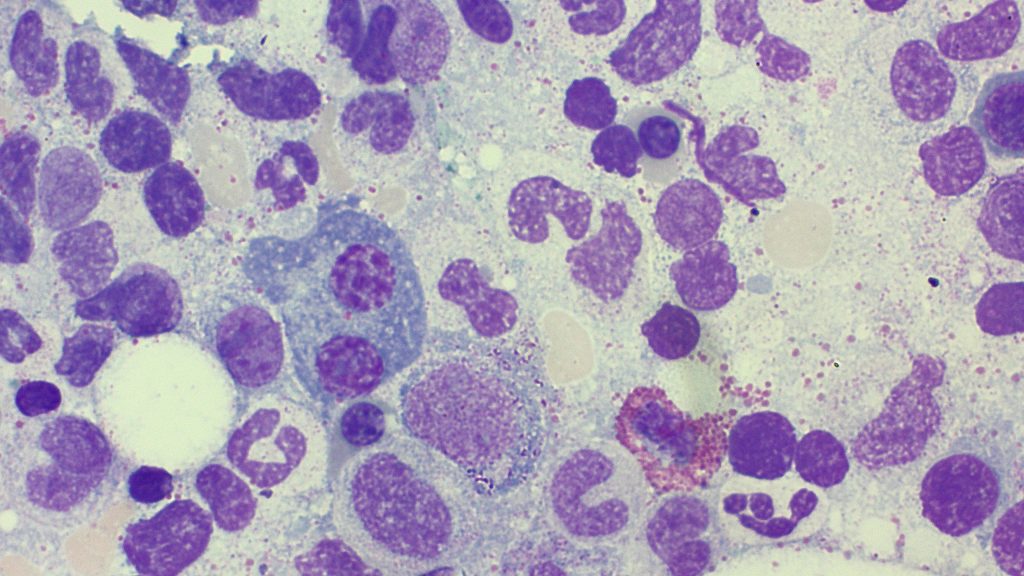
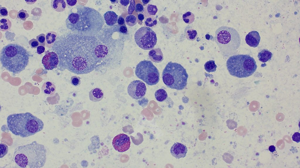
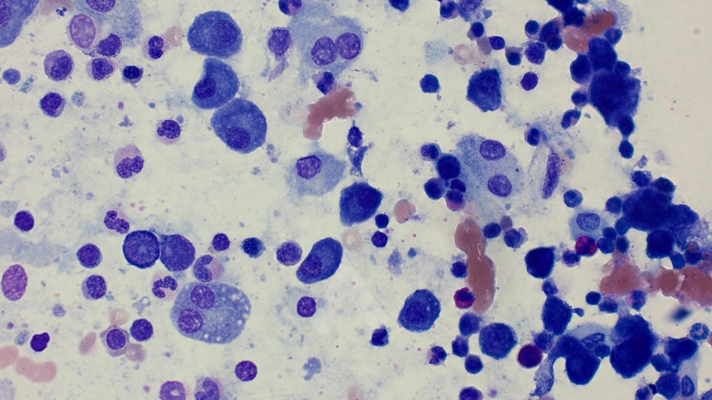
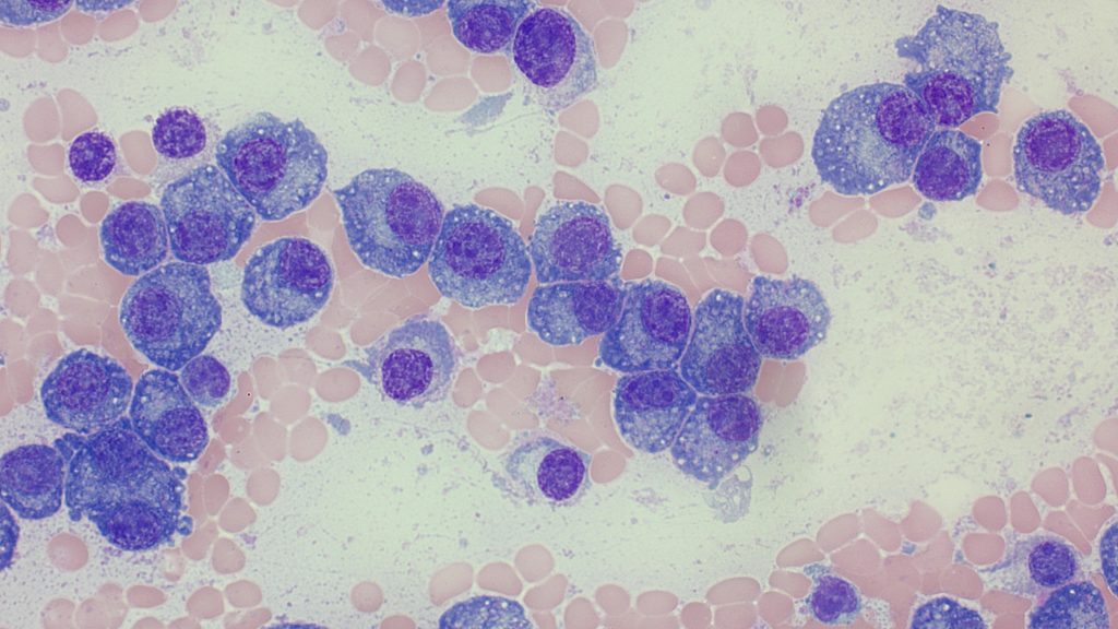
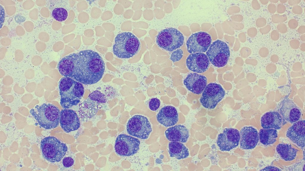
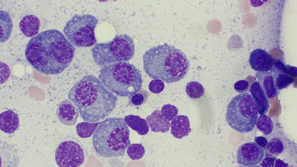
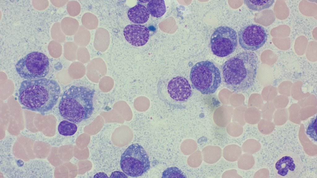
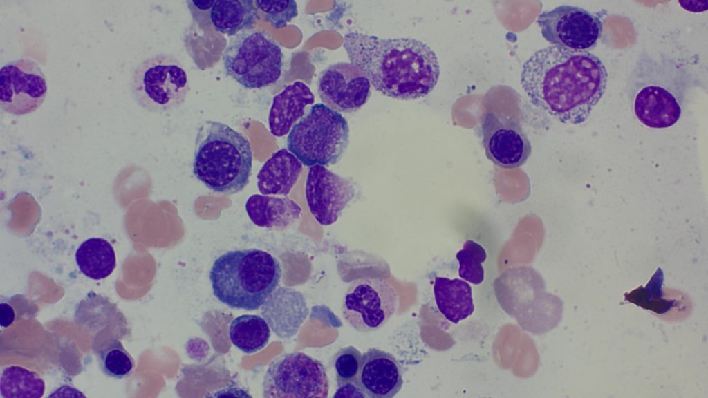
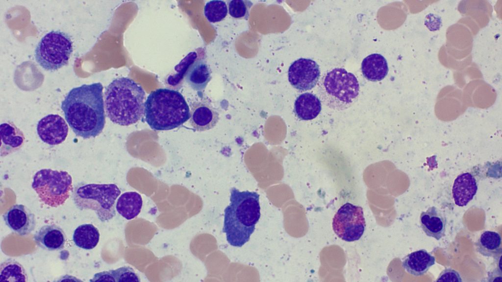
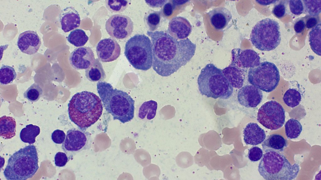
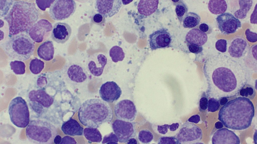
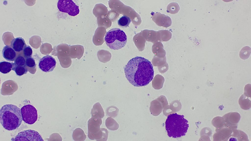
Multiple Myeloma
Dohle bodies














Intranucleolar inclusions




Multiple nuclei


























































Myeloma Cells








































































































More…


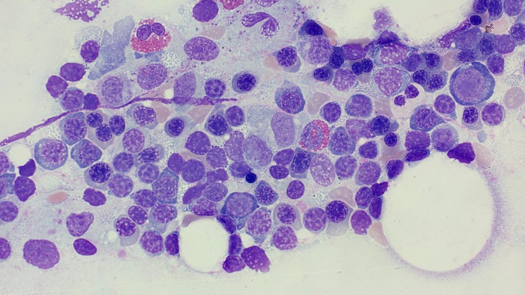
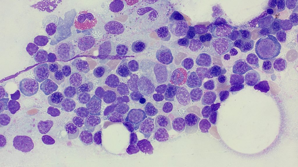
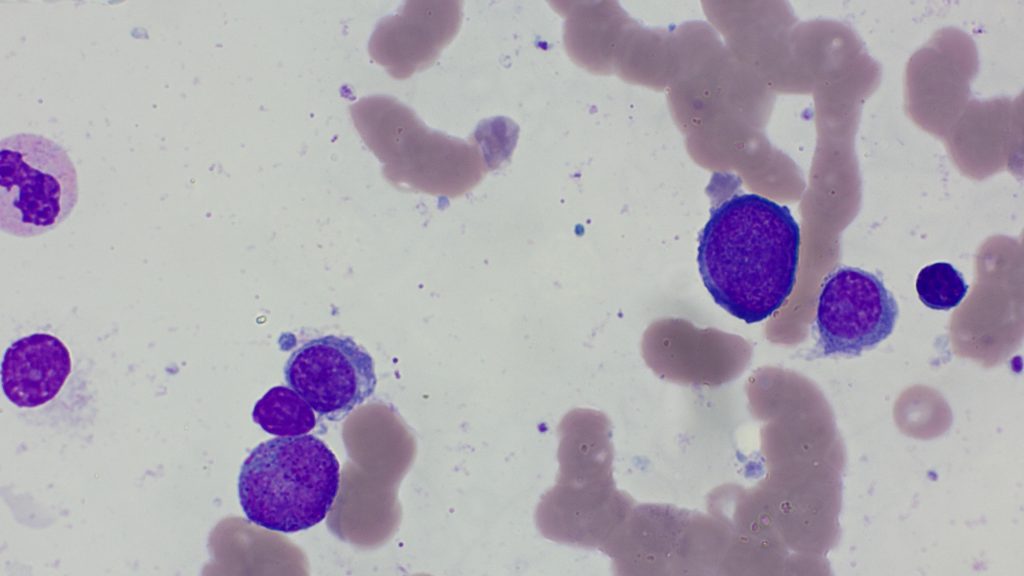
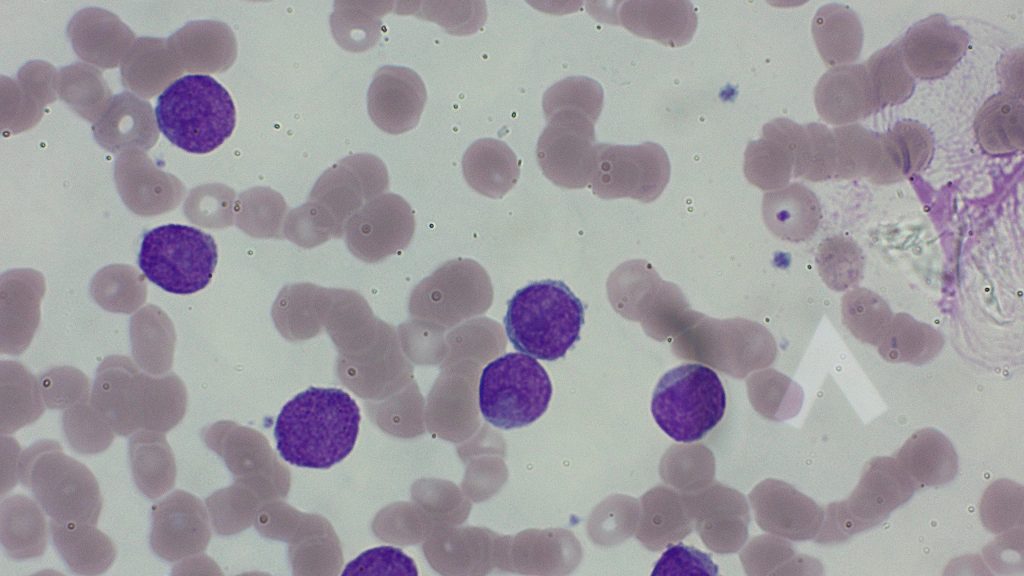
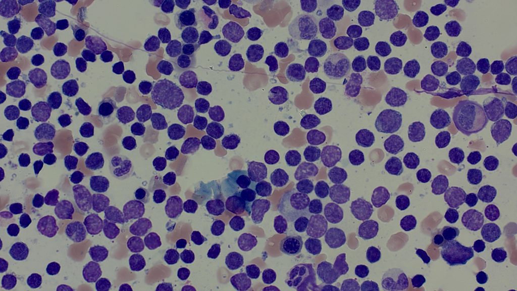
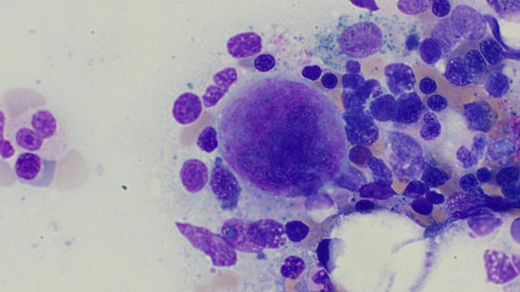
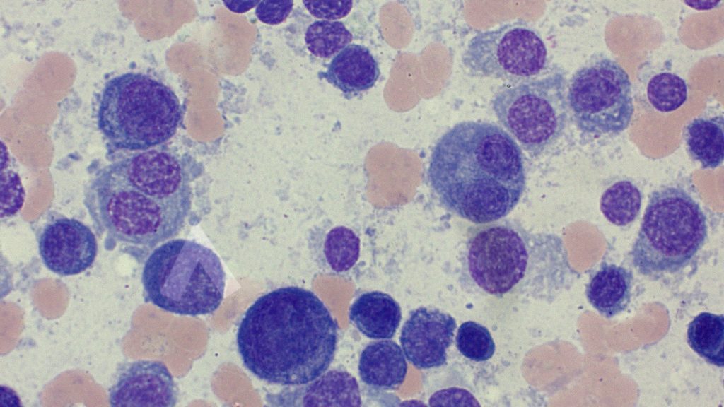
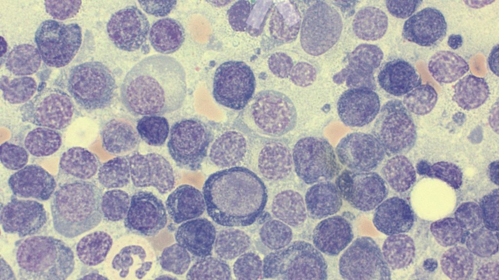
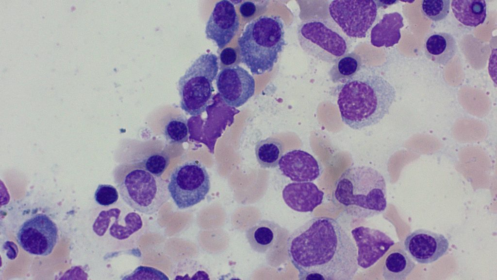
Myelocyte
Click me






































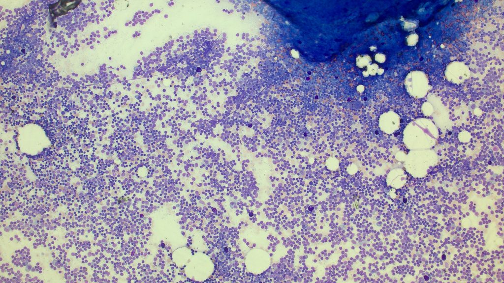
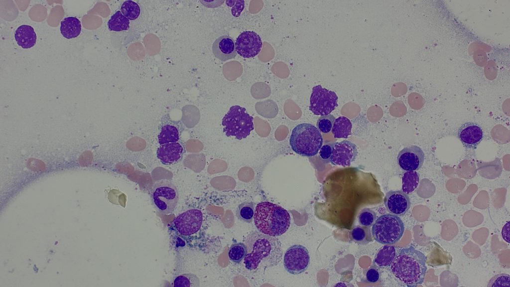
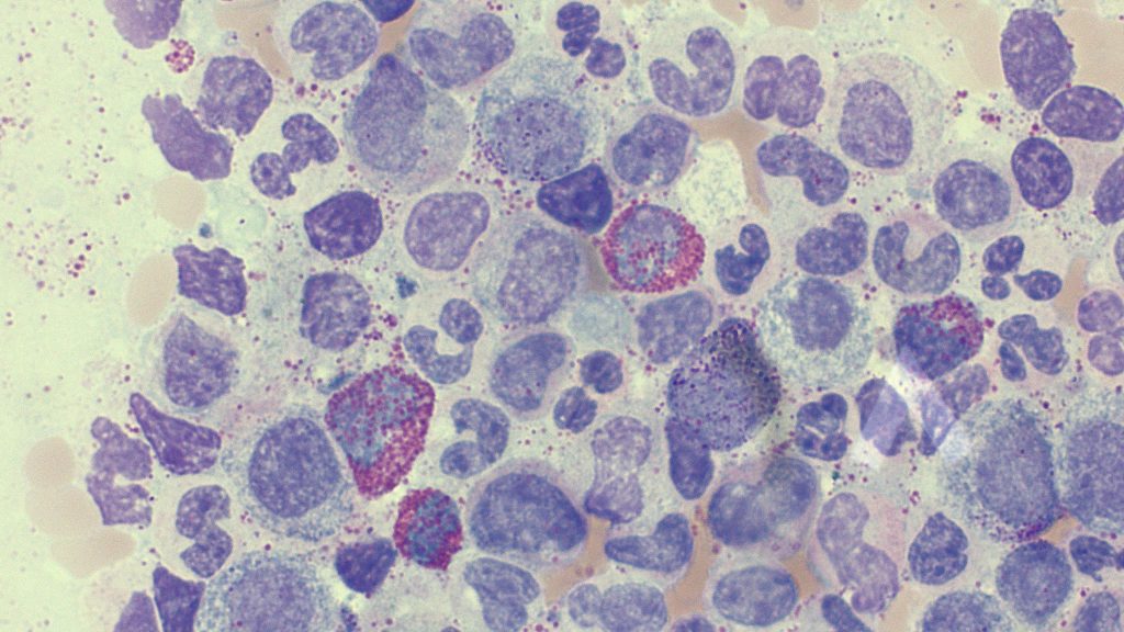
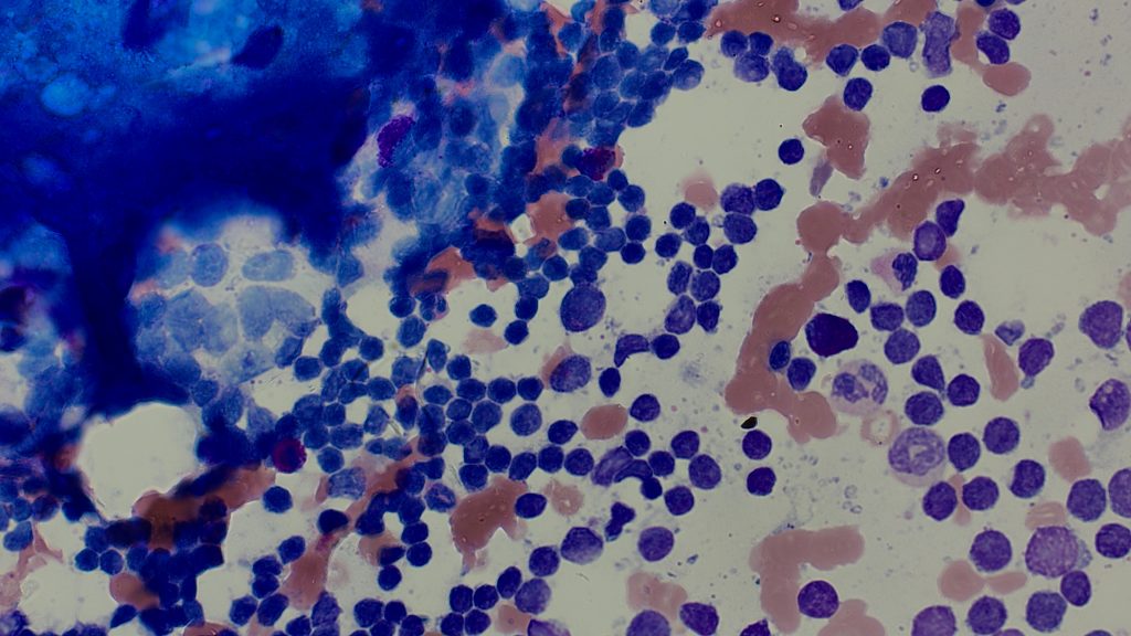
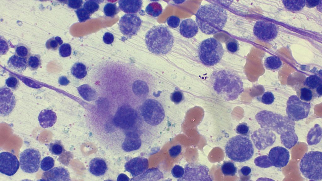
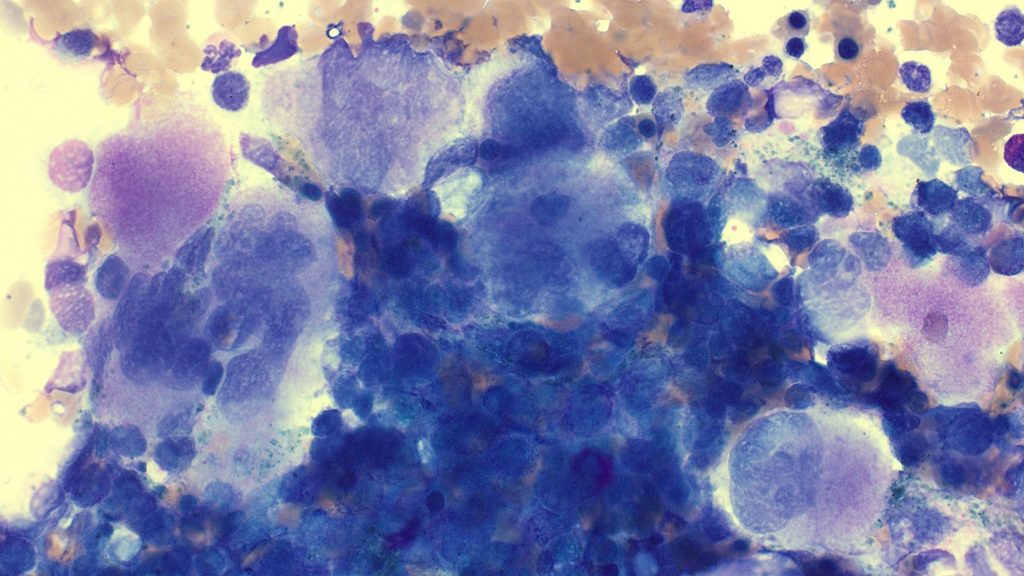
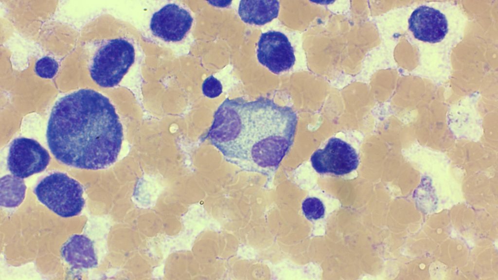
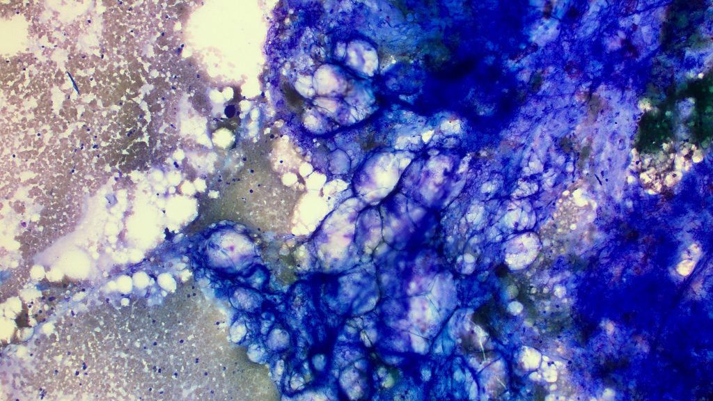
Myelofibrosis
Click me














